Shopping Cart
Remove All
Your shopping cart is currently empty
Anti-Phospho-JAK2 (Tyr1007, 1008) Antibody (1D853) is a Rabbit antibody targeting Phospho-JAK2 (Tyr1007, 1008). Anti-Phospho-JAK2 (Tyr1007, 1008) Antibody (1D853) can be used in ICC,IHC,IP,WB.
| Pack Size | Price | USA Warehouse | Global Warehouse | Quantity |
|---|---|---|---|---|
| 50 μL | $296 | 7-10 days | 7-10 days | |
| 100 μL | $498 | 7-10 days | 7-10 days |
| Description | Anti-Phospho-JAK2 (Tyr1007, 1008) Antibody (1D853) is a Rabbit antibody targeting Phospho-JAK2 (Tyr1007, 1008). Anti-Phospho-JAK2 (Tyr1007, 1008) Antibody (1D853) can be used in ICC,IHC,IP,WB. |
| Synonyms | p-JAK2 (Y1007, 1008), p-JAK2 (Tyr1007, 1008), JAK2 (p-Y1007, 1008), JAK2 (p-Tyr1007, 1008) |
| Ig Type | IgG |
| Clone | 1D853 |
| Reactivity | Human,Mouse,Rat |
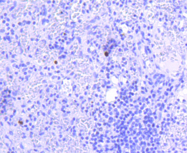
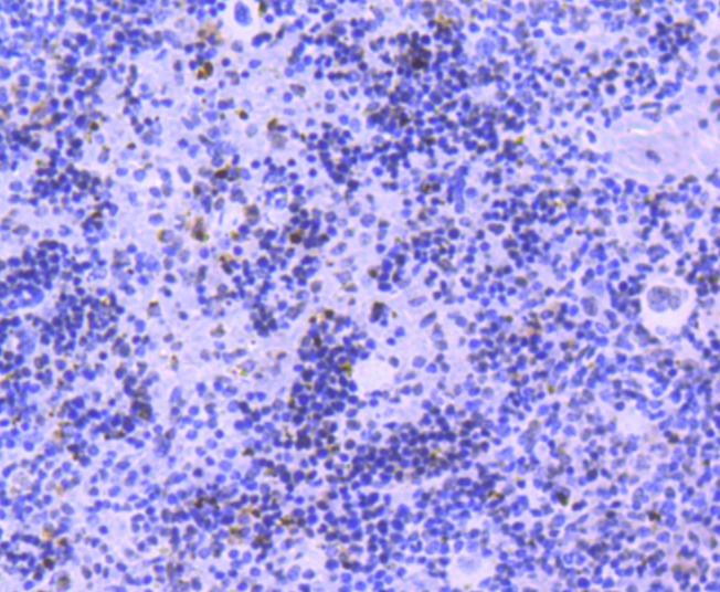
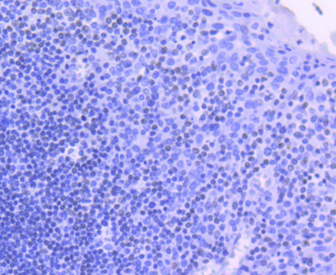
| Verified Activity | 1. Immunohistochemical analysis of paraffin-embedded human spleen tissue using anti-Phospho-JAK2 (Y1007+Y1008) antibody. Counter stained with hematoxylin. 2. Immunohistochemical analysis of paraffin-embedded mouse spleen tissue using anti-Phospho-JAK2 (Y1007+Y1008) antibody. Counter stained with hematoxylin. 3. Immunohistochemical analysis of paraffin-embedded human tonsil tissue using anti-Phospho-JAK2 (Y1007+Y1008) antibody. Counter stained with hematoxylin. 4. ICC staining Phospho-JAK2 (Y1007+Y1008) in Hela cells (green). The nuclear counter stain is DAPI (blue). Cells were fixed in paraformaldehyde, permeabilised with 0.25% Triton X100/PBS. 5. Western blot analysis of JAK2 phosphorylation expression in Jurkat cell lysates treated with Pervanadate. ![]() ![]() ![]() ![]() ![]() |
| Application | |
| Recommended Dose | WB: 1:500-1000; IHC: 1:50-200; ICC: 1:50-200 |
| Antibody Type | Monoclonal |
| Host Species | Rabbit |
| Construction | Recombinant Antibody |
| Purification | ProA affinity purified |
| Appearance | Liquid |
| Formulation | 1*TBS (pH7.4), 1%BSA, 40%Glycerol. Preservative: 0.05% Sodium Azide. |
| Research Background | JAK2 (Janus Kinase 2) belongs to the emerging family of non-receptor Janus tyrosine kinases, which regulate a spectrum of cellular functions downstream of activated cytokine receptors in the lympho-hematopoietic system. Immuno-logical stimuli, such as interferons and cytokines, induce recruitment of Stat transcription factors to cytokine receptor-associated JAK2. JAK2 then phosphorylates proximal Stat factors, which subsequently dimerize, translocate to the nucleus and bind to cis elements upstream of target gene promoters to regulate transcription. The canonical JAK-Stat pathway is integral to maintaining a normal immune system by stimulating proliferation, differentiation, survival, and host resistance to pathogens. Altering JAK-Stat signaling to reduce cytokine induced pro-inflammatory responses represents an attractive target for inflammatory therapies. Within the JAK2 kinase domain, there is a region that has considerable sequence homology to the regulatory region of the insulin receptor. Among a variety of sites, Tyrosines 1007 and 1008 are sites of trans- or autophosphorylation in vivo and in in vitro kinase reactions. |
| Conjucates | Unconjugated |
| Others Formats | Phospho |
| Immunogen | A synthesized phosphopeptide: human JAK2 around the phosphorylation site of Tyr1007 and 1008 |
| Antigen Species | human |
| Uniprot ID |
| Molecular Weight | Theoretical: 130 kDa. |
| Color | Transparent |
| Appearance | Liquid |
| Stability & Storage | Store at -20°C or -80°C for 12 months. Avoid repeated freeze-thaw cycles. |
| Transport | Shipping with blue ice. |
| Size | Quantity | Unit Price | Amount | Operation |
|---|

Copyright © 2015-2026 TargetMol Chemicals Inc. All Rights Reserved.