Shopping Cart
Remove All
Your shopping cart is currently empty
Anti-Phospho-JAK2 (Tyr1007, 1008) Antibody (2X102) is a Rabbit antibody targeting Phospho-JAK2 (Tyr1007, 1008). Anti-Phospho-JAK2 (Tyr1007, 1008) Antibody (2X102) can be used in ICC/IF,IF,IHC-Fr,IHC-P.
| Pack Size | Price | USA Warehouse | Global Warehouse | Quantity |
|---|---|---|---|---|
| 25 μL | $155 | 7-10 days | 7-10 days | |
| 50 μL | $272 | 7-10 days | 7-10 days | |
| 100 μL | $489 | 7-10 days | 7-10 days |
| Description | Anti-Phospho-JAK2 (Tyr1007, 1008) Antibody (2X102) is a Rabbit antibody targeting Phospho-JAK2 (Tyr1007, 1008). Anti-Phospho-JAK2 (Tyr1007, 1008) Antibody (2X102) can be used in ICC/IF,IF,IHC-Fr,IHC-P. |
| Synonyms | p-JAK2 (Y1007, 1008), p-JAK2 (Tyr1007, 1008), Phospho-JAK2 (Y1007, 1008), JAK2 (p-Y1007, 1008), JAK2 (p-Tyr1007, 1008) |
| Ig Type | IgG |
| Clone | 2X102 |
| Reactivity | Human,Mouse,Rat |
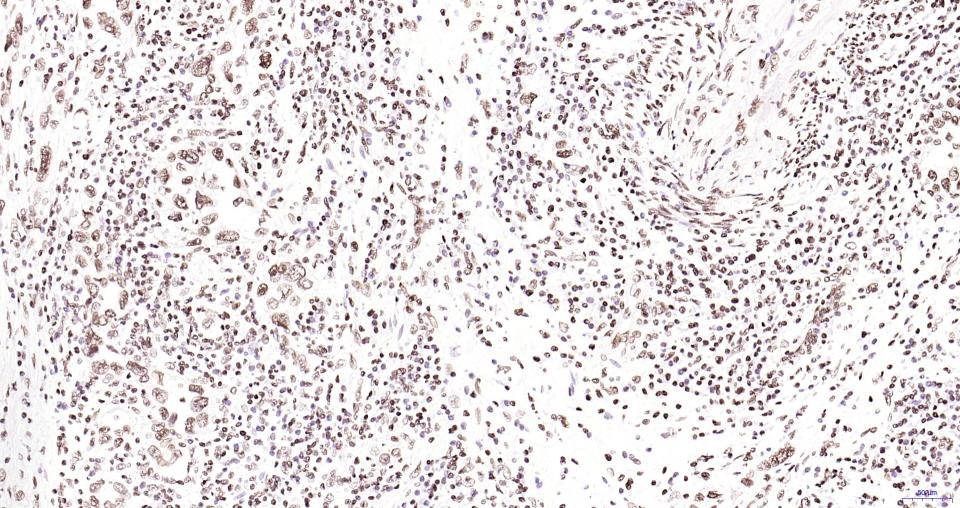
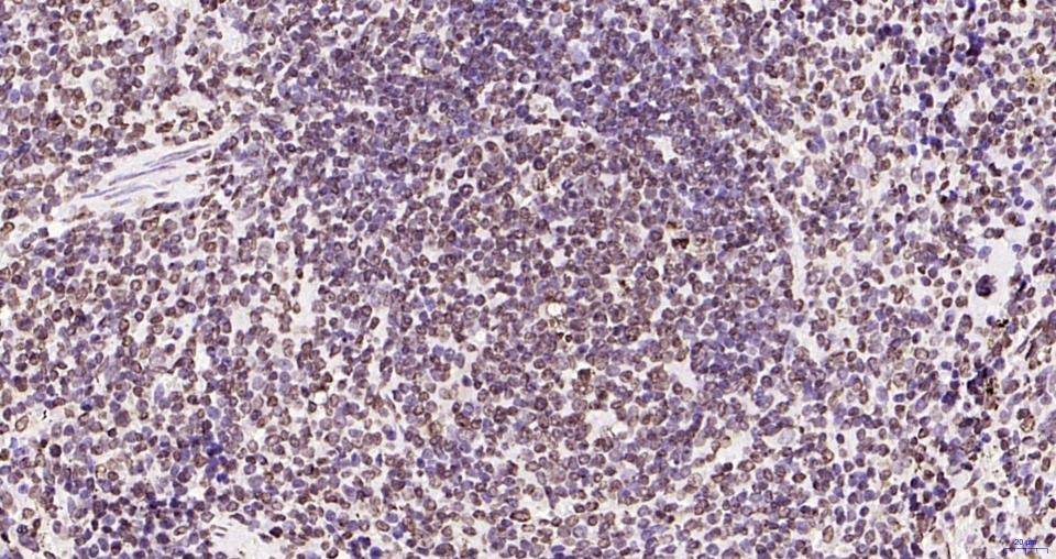
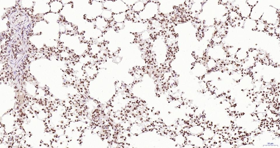
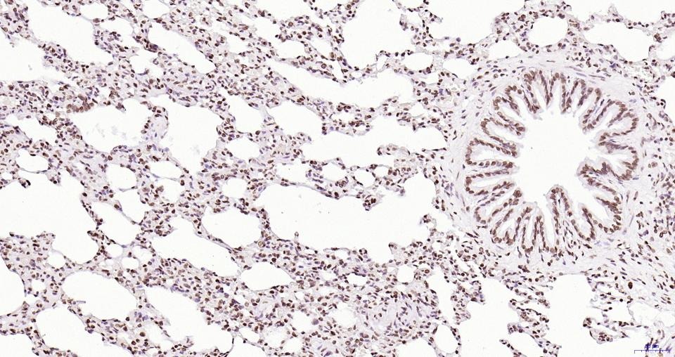
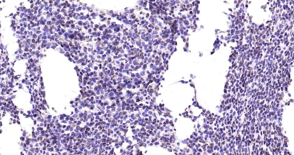
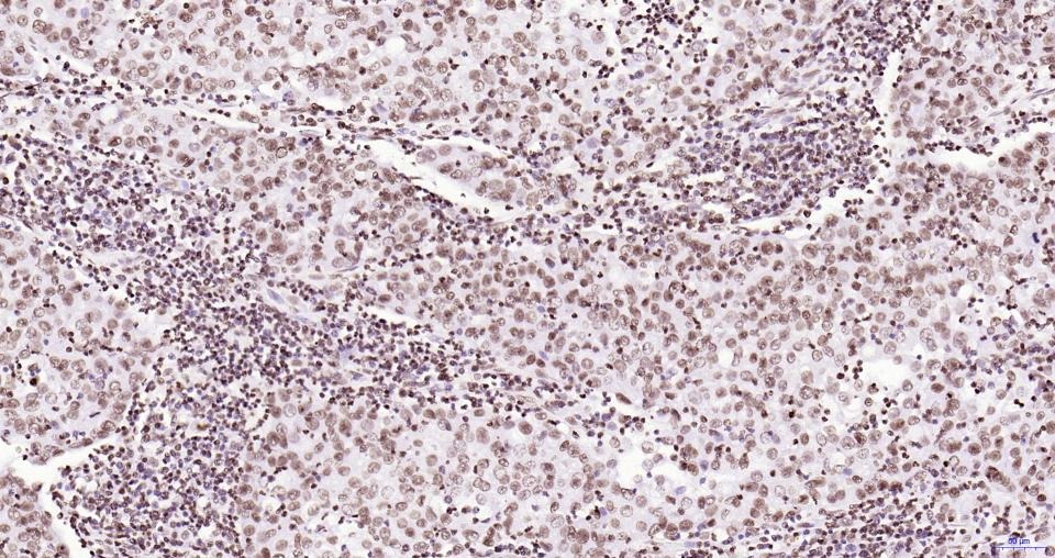
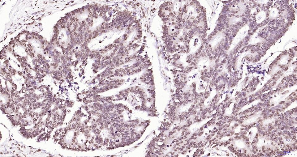
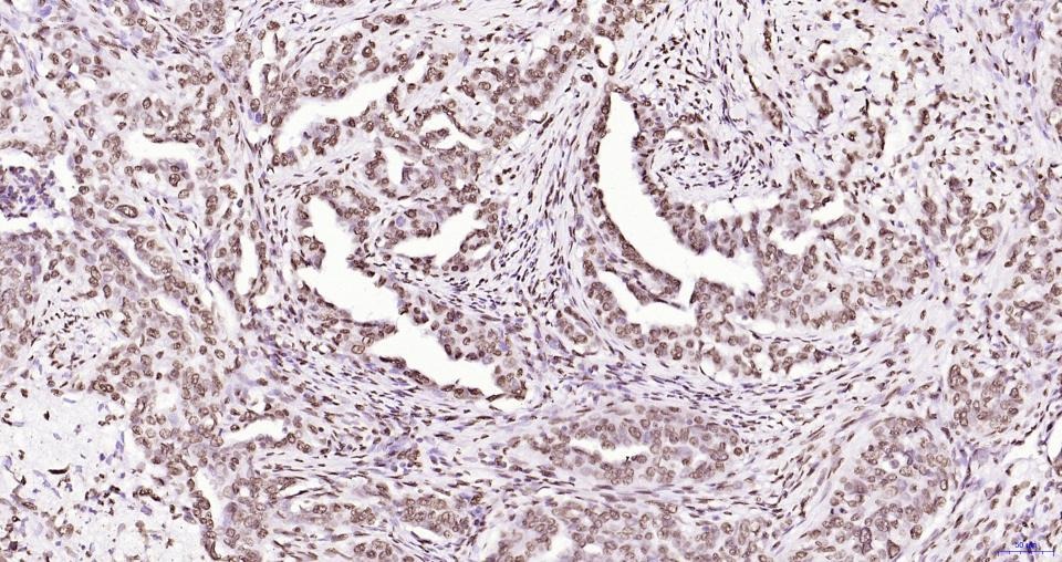
| Verified Activity | 1. Hela cell; 4% Paraformaldehyde-fixed; Triton X-100 at room temperature for 20 min; Blocking buffer (normal goat serum) at 37°C for 20 min; Antibody incubation with (Phospho-JAK2 (Y1007+Y1008)) monoclonal Antibody, Unconjugated (TMAB-01441) 1:50, 90 minutes at 37°C; followed by a conjugated Goat Anti-Rabbit IgG antibody at 37°C for 90 minutes, DAPI (blue) was used to stain the cell nucleus. 2. Paraformaldehyde-fixed, paraffin embedded Human Cervical Cancer; Antigen retrieval by boiling in sodium citrate buffer (pH6.0) for 15 min; Antibody incubation with phospho-JAK2 (Tyr1007+Tyr1008) Monoclonal Antibody, Unconjugated (TMAB-01441) at 1:200 overnight at 4°C, followed by conjugation to the SP Kit (Rabbit) and DAB staining. 3. Paraformaldehyde-fixed, paraffin embedded Rat Lung; Antigen retrieval by boiling in sodium citrate buffer (pH6.0) for 15 min; Antibody incubation with phospho-JAK2 (Tyr1007+Tyr1008) Monoclonal Antibody, Unconjugated (TMAB-01441) at 1:200 overnight at 4°C, followed by conjugation to the SP Kit (Rabbit) and DAB staining. 4. Paraformaldehyde-fixed, paraffin embedded Rat Spleen; Antigen retrieval by boiling in sodium citrate buffer (pH6.0) for 15 min; Antibody incubation with phospho-JAK2 (Tyr1007+Tyr1008) Monoclonal Antibody, Unconjugated (TMAB-01441) at 1:200 overnight at 4°C, followed by conjugation to the SP Kit (Rabbit) and DAB staining. 5. Paraformaldehyde-fixed, paraffin embedded Human Lung Cancer; Antigen retrieval by boiling in sodium citrate buffer (pH6.0) for 15 min; Antibody incubation with phospho-JAK2 (Tyr1007+Tyr1008) Monoclonal Antibody, Unconjugated (TMAB-01441) at 1:200 overnight at 4°C, followed by conjugation to the SP Kit (Rabbit) and DAB staining. 6. Paraformaldehyde-fixed, paraffin embedded Human Colon Cancer; Antigen retrieval by boiling in sodium citrate buffer (pH6.0) for 15 min; Antibody incubation with phospho-JAK2 (Tyr1007+Tyr1008) Monoclonal Antibody, Unconjugated (TMAB-01441) at 1:200 overnight at 4°C, followed by conjugation to the SP Kit (Rabbit) and DAB staining. 7. Paraformaldehyde-fixed, paraffin embedded Human Diffuse large B-cell lymphoma; Antigen retrieval by boiling in sodium citrate buffer (pH6.0) for 15 min; Antibody incubation with phospho-JAK2 (Tyr1007+Tyr1008) Monoclonal Antibody, Unconjugated (TMAB-01441) at 1:200 overnight at 4°C, followed by conjugation to the SP Kit (Rabbit) and DAB staining. 8. Paraformaldehyde-fixed, paraffin embedded Human Gastric Cancer; Antigen retrieval by boiling in sodium citrate buffer (pH6.0) for 15 min; Antibody incubation with phospho-JAK2 (Tyr1007+Tyr1008) Monoclonal Antibody, Unconjugated (TMAB-01441) at 1:200 overnight at 4°C, followed by conjugation to the SP Kit (Rabbit) and DAB staining. 9. Paraformaldehyde-fixed, paraffin embedded Mouse Lung; Antigen retrieval by boiling in sodium citrate buffer (pH6.0) for 15 min; Antibody incubation with phospho-JAK2 (Tyr1007+Tyr1008) Monoclonal Antibody, Unconjugated (TMAB-01441) at 1:200 overnight at 4°C, followed by conjugation to the SP Kit (Rabbit) and DAB staining. 10. Paraformaldehyde-fixed, paraffin embedded Mouse Spleen; Antigen retrieval by boiling in sodium citrate buffer (pH6.0) for 15 min; Antibody incubation with phospho-JAK2 (Tyr1007+Tyr1008) Monoclonal Antibody, Unconjugated (TMAB-01441) at 1:200 overnight at 4°C, followed by conjugation to the SP Kit (Rabbit) and DAB staining. ![]() ![]() ![]() ![]() ![]() ![]() ![]() ![]() ![]() ![]() |
| Application | |
| Recommended Dose | IHC-P: 1:50-200; IHC-Fr: 1:50-200; ICC/IF: 1:50-200; IF: 1:50-200 |
| Antibody Type | Monoclonal |
| Host Species | Rabbit |
| Subcellular Localization | Endomembrane system; Peripheral membrane protein (By similarity). Cytoplasm. Nucleus. |
| Tissue Specificity | Ubiquitously expressed throughout most tissues. |
| Construction | Recombinant Antibody |
| Purification | Protein A purified |
| Appearance | Liquid |
| Formulation | 0.01M TBS (pH7.4) with 1% BSA, 0.02% Proclin300 and 50% Glycerol. |
| Concentration | 1 mg/mL |
| Research Background | This gene product is a protein tyrosine kinase involved in a specific subset of cytokine receptor signaling pathways. It has been found to be constituitively associated with the prolactin receptor and is required for responses to gamma interferon. Mice that do not express an active protein for this gene exhibit embryonic lethality associated with the absence of definitive erythropoiesis. [provided by RefSeq, Jul 2008] |
| Immunogen | A synthesized peptide: human JAK2 around the phosphorylation site of Y1007/Y1008 |
| Antigen Species | Human |
| Gene Name | JAK2 |
| Gene ID | |
| Protein Name | Tyrosine-protein kinase JAK2 |
| Uniprot ID | |
| Biology Area | Cell cycle inhibitors,Kinases/phosphatases,Signal transducers,Cell Cycle Inhibitors,Kinases/Phosphatases,STATs,SARS Coronavirus,Tyrosine Kinases |
| Function | Non-receptor tyrosine kinase involved in various processes such as cell growth, development, differentiation or histone modifications. Mediates essential signaling events in both innate and adaptive immunity. In the cytoplasm, plays a pivotal role in signal transduction via its association with type I receptors such as growth hormone (GHR), prolactin (PRLR), leptin (LEPR), erythropoietin (EPOR), thrombopoietin (THPO); or type II receptors including IFN-alpha, IFN-beta, IFN-gamma and multiple interleukins. Following ligand-binding to cell surface receptors, phosphorylates specific tyrosine residues on the cytoplasmic tails of the receptor, creating docking sites for STATs proteins. Subsequently, phosphorylates the STATs proteins once they are recruited to the receptor. Phosphorylated STATs then form homodimer or heterodimers and translocate to the nucleus to activate gene transcription. For example, cell stimulation with erythropoietin (EPO) during erythropoiesis leads to JAK2 autophosphorylation, activation, and its association with erythropoietin receptor (EPOR) that becomes phosphorylated in its cytoplasmic domain. Then, STAT5 (STAT5A or STAT5B) is recruited, phosphorylated and activated by JAK2. Once activated, dimerized STAT5 translocates into the nucleus and promotes the transcription of several essential genes involved in the modulation of erythropoiesis. In addition, JAK2 mediates angiotensin-2-induced ARHGEF1 phosphorylation. Plays a role in cell cycle by phosphorylating CDKN1B. Cooperates with TEC through reciprocal phosphorylation to mediate cytokine-driven activation of FOS transcription. In the nucleus, plays a key role in chromatin by specifically mediating phosphorylation of 'Tyr-41' of histone H3 (H3Y41ph), a specific tag that promotes exclusion of CBX5 (HP1 alpha) from chromatin. |
| Molecular Weight | Theoretical: 131 kDa. |
| Stability & Storage | Store at -20°C or -80°C for 12 months. Avoid repeated freeze-thaw cycles. |
| Transport | Shipping with blue ice. |
| Size | Quantity | Unit Price | Amount | Operation |
|---|

Copyright © 2015-2026 TargetMol Chemicals Inc. All Rights Reserved.