Shopping Cart
Remove All
Your shopping cart is currently empty
Anti-Phospho-JAK1 (Tyr1022) Polyclonal Antibody is a Rabbit antibody targeting Phospho-JAK1 (Tyr1022). Anti-Phospho-JAK1 (Tyr1022) Polyclonal Antibody can be used in IF,IHC,WB.
| Pack Size | Price | USA Warehouse | Global Warehouse | Quantity |
|---|---|---|---|---|
| 50 μL | $217 | 7-10 days | 7-10 days | |
| 100 μL | $317 | 7-10 days | 7-10 days |
| Description | Anti-Phospho-JAK1 (Tyr1022) Polyclonal Antibody is a Rabbit antibody targeting Phospho-JAK1 (Tyr1022). Anti-Phospho-JAK1 (Tyr1022) Polyclonal Antibody can be used in IF,IHC,WB. |
| Synonyms | p-JAK1 (Y1022), p-JAK1 (Tyr1022), JAK1 (p-Y1022), JAK1 (p-Tyr1022) |
| Ig Type | IgG |
| Reactivity | Human,Mouse,Rat |
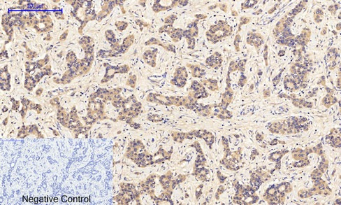
| Verified Activity | 1. Western Blot analysis of various cells using Phospho-JAK1 (Y1034) Polyclonal Antibody diluted at 1:500. 2. Western blot analysis of lysates from A549 cells, using JAK1 (Phospho-Tyr1034) Antibody. The lane on the right is blocked with the phospho peptide. 3. Immunohistochemical analysis of paraffin-embedded Human-liver-cancer tissue. 1,JAK1 (phospho Tyr1034) Polyclonal Antibody was diluted at 1:200 (4°C, overnight). 2,Sodium citrate pH 6.0 was used for antibody retrieval(>98°C, 20min). 3,Secondary antibody was diluted at 1:200 (room temperature, 30min). Negative control was used by secondary antibody only. 4. Immunofluorescence analysis of mouse-liver tissue. 1,JAK1 (phospho Tyr1034) Polyclonal Antibody (red) was diluted at 1:200 (4°C, overnight). 2,Cy3 labled Secondary antibody was diluted at 1:300 (room temperature, 50min). 3, Picture B: DAPI (blue) 10min. Picture A: Target. Picture B: DAPI. Picture C: merge of A+B. ![]() ![]() ![]() ![]() |
| Application | |
| Recommended Dose | WB: 1:200-1000; IHC: 1:100-300; IF: 1:50-200 |
| Antibody Type | Polyclonal |
| Host Species | Rabbit |
| Construction | Polyclonal Antibody |
| Purification | Antibodies were produced by immunizing rabbits with synthetic phosphopeptide and KLH conjugates. Antibodies were purified by affinity-chromatography using epitope-specific phosphopeptide. Non-phospho specific antibodies were removed by chromatogramphy using non-phosphopeptide. |
| Appearance | Liquid |
| Formulation | Liquid in PBS containing 50% glycerol, 0.5% BSA and 0.02% sodium azide. |
| Research Background | Tyrosine kinase of the non-receptor type, involved in the IFN-a/beta/gamma signal pathway. Kinase partner for the interleukin (IL)-2 receptor. |
| Conjucates | Unconjugated |
| Others Formats | Phospho |
| Immunogen | Peptide sequence around phosphorylation site of tyrosine 1034 (K-E-Y(p)-Y-T) derived from Human JAK1 |
| Antigen Species | human |
| Uniprot ID |
| Stability & Storage | Store at 2°C-8°C for 1 month. Store at -20°C or -80°C for 12 months. Avoid repeated freeze-thaw cycles. |
| Transport | Shipping with blue ice. |
| Size | Quantity | Unit Price | Amount | Operation |
|---|

Copyright © 2015-2026 TargetMol Chemicals Inc. All Rights Reserved.