Shopping Cart
Remove All
Your shopping cart is currently empty
Anti-Phospho-ITK (Tyr512) Polyclonal Antibody is a Rabbit antibody targeting Phospho-ITK (Tyr512). Anti-Phospho-ITK (Tyr512) Polyclonal Antibody can be used in IF,IHC,WB.
| Pack Size | Price | USA Warehouse | Global Warehouse | Quantity |
|---|---|---|---|---|
| 100 μL | $496 | 7-10 days | 7-10 days |
| Description | Anti-Phospho-ITK (Tyr512) Polyclonal Antibody is a Rabbit antibody targeting Phospho-ITK (Tyr512). Anti-Phospho-ITK (Tyr512) Polyclonal Antibody can be used in IF,IHC,WB. |
| Synonyms | p-ITK (Y512), p-ITK (Tyr512), ITK (p-Y512), ITK (p-Tyr512) |
| Ig Type | IgG |
| Reactivity | Human,Mouse |
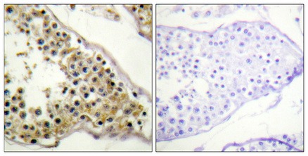
| Verified Activity | 1. Western blot analysis of 293 using p-Emt (Y512) antibody. 2. Immunohistochemical analysis of paraffin-embedded Human testis. ![]() ![]() |
| Application | |
| Recommended Dose | WB: 1:500-2000; IHC: 1:100-300; IF: 1:50-200 |
| Antibody Type | Polyclonal |
| Host Species | Rabbit |
| Construction | Polyclonal Antibody |
| Purification | The antibody was affinity-purified from rabbit antiserum by affinity-chromatography using epitope-specific immunogen. |
| Appearance | Liquid |
| Formulation | Liquid in PBS containing 50% glycerol, 0.5% BSA and 0.02% sodium azide. |
| Conjucates | Unconjugated |
| Others Formats | Phospho |
| Immunogen | A synthesized phosphopeptide: human ITK around the phosphorylation site of Tyr512 |
| Antigen Species | human |
| Uniprot ID |
| Molecular Weight | Theoretical: 72 kDa. |
| Stability & Storage | Store at -20°C or -80°C for 12 months. Avoid repeated freeze-thaw cycles. |
| Transport | Shipping with blue ice. |
| Size | Quantity | Unit Price | Amount | Operation |
|---|

Copyright © 2015-2026 TargetMol Chemicals Inc. All Rights Reserved.