Shopping Cart
Remove All
Your shopping cart is currently empty
Anti-Phospho-ITCH (Tyr420) Polyclonal Antibody is a Rabbit antibody targeting Phospho-ITCH (Tyr420). Anti-Phospho-ITCH (Tyr420) Polyclonal Antibody can be used in IHC.
| Pack Size | Price | USA Warehouse | Global Warehouse | Quantity |
|---|---|---|---|---|
| 50 μL | $217 | 7-10 days | 7-10 days | |
| 100 μL | $316 | 7-10 days | 7-10 days |
| Description | Anti-Phospho-ITCH (Tyr420) Polyclonal Antibody is a Rabbit antibody targeting Phospho-ITCH (Tyr420). Anti-Phospho-ITCH (Tyr420) Polyclonal Antibody can be used in IHC. |
| Synonyms | p-ITCH (Y420), p-ITCH (Tyr420), ITCH (p-Y420), ITCH (p-Tyr420) |
| Ig Type | IgG |
| Reactivity | Human,Mouse |
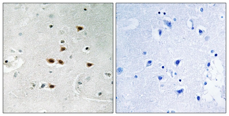
| Verified Activity | 1. Immunohistochemical analysis of paraffin-embedded human brain tissue using ITCH (Phospho-Tyr420) antibody TMAC-02247 (left) or the same antibody preincubated with blocking peptide (right). ![]() |
| Application | |
| Recommended Dose | IHC: 1:50-100 |
| Antibody Type | Polyclonal |
| Host Species | Rabbit |
| Construction | Polyclonal Antibody |
| Purification | Antibodies were produced by immunizing rabbits with synthetic phosphopeptide and KLH conjugates. Antibodies were purified by affinity-chromatography using epitope-specific phosphopeptide. Non-phospho specific antibodies were removed by chromatogramphy using non-phosphopeptide. |
| Appearance | Liquid |
| Formulation | Rabbit IgG in phosphate buffered saline (without Mg2+ and Ca2+), pH 7.4, 150mM NaCl, 0.02% sodium azide and 50% glycerol. |
| Research Background | Atrophin-1 contains a polyglutamine repeat, expansion of which is responsible for dentatorubral and pallidoluysian atrophy. The protein encoded by this gene interacts with atrophin-1. This encoded protein is a closely related member of the NEDD4-like protein family. This family of proteins are E3 ubiquitin-ligase molecules and regulate key trafficking decisions, including targeting of proteins to proteosomes or lysosomes. This encoded protein contains four tandem WW domains and a HECT (homologous to the E6-associated protein carboxyl terminus) domain. |
| Conjucates | Unconjugated |
| Others Formats | Phospho |
| Immunogen | Peptide sequence around phosphorylation site of tyrosine 420(F-I-Y(p)-G-N) derived from Human ITCH |
| Antigen Species | human |
| Uniprot ID |
| Molecular Weight | Actual: 102 kDa. |
| Stability & Storage | Store at -20°C or -80°C for 12 months. Avoid repeated freeze-thaw cycles. |
| Transport | Shipping with blue ice. |
| Size | Quantity | Unit Price | Amount | Operation |
|---|

Copyright © 2015-2026 TargetMol Chemicals Inc. All Rights Reserved.