Shopping Cart
Remove All
Your shopping cart is currently empty
Anti-Phospho-IRS-1 (Ser307) Polyclonal Antibody is a Rabbit antibody targeting Phospho-IRS-1 (Ser307). Anti-Phospho-IRS-1 (Ser307) Polyclonal Antibody can be used in IHC.
| Pack Size | Price | USA Warehouse | Global Warehouse | Quantity |
|---|---|---|---|---|
| 50 μL | $217 | 7-10 days | 7-10 days | |
| 100 μL | $317 | 7-10 days | 7-10 days |
| Description | Anti-Phospho-IRS-1 (Ser307) Polyclonal Antibody is a Rabbit antibody targeting Phospho-IRS-1 (Ser307). Anti-Phospho-IRS-1 (Ser307) Polyclonal Antibody can be used in IHC. |
| Synonyms | p-IRS1 (Ser307), p-IRS1 (S307), IRS1 (p-Ser307), IRS1 (p-S307), IRS-1, Insulin receptor substrate 1 |
| Ig Type | IgG |
| Reactivity | Human,Mouse,Rat |
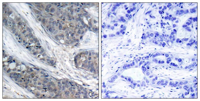
| Verified Activity | 1. Immunohistochemical analysis of paraffin-embedded human breast carcinoma tissue, using IRS-1 (phospho-Ser307) antibody (TMAC-02241). ![]() |
| Application | |
| Antibody Type | Polyclonal |
| Host Species | Rabbit |
| Construction | Polyclonal Antibody |
| Purification | Antibodies were produced by immunizing rabbits with synthetic phosphopeptide and KLH conjugates. Antibodies were purified by affinity-chromatography using epitope-specific phosphopeptide. Non-phospho specific antibodies were removed by chromatogramphy using non-phosphopeptide. |
| Appearance | Liquid |
| Formulation | Supplied at 1.0mg/mL in phosphate buffered saline (without Mg2+ and Ca2+), pH 7.4, 150mM NaCl, 0.02% sodium azide and 50% glycerol. |
| Research Background | May mediate the control of various cellular processes by insulin. When phosphorylated by the insulin receptor binds specifically to various cellular proteins containing SH2 domains such as phosphatidylinositol 3-kinase p85 subunit or GRB2. Activates phosphatidylinositol 3-kinase when bound to the regulatory p85 subunit |
| Conjucates | Unconjugated |
| Others Formats | Phospho |
| Immunogen | Peptide sequence around phosphorylation site of serine 307(T-E-S(p)-I-T) derived from Human IRS-1 |
| Antigen Species | human |
| Uniprot ID |
| Molecular Weight | Actual: 180 kDa. |
| Stability & Storage | Store at -20°C or -80°C for 12 months. Avoid repeated freeze-thaw cycles. |
| Transport | Shipping with blue ice. |
| Size | Quantity | Unit Price | Amount | Operation |
|---|

Copyright © 2015-2026 TargetMol Chemicals Inc. All Rights Reserved.