Shopping Cart
Remove All
Your shopping cart is currently empty
Anti-Phospho-Integrin b3 (Tyr773) Polyclonal Antibody is a Rabbit antibody targeting Phospho-Integrin b3 (Tyr773). Anti-Phospho-Integrin b3 (Tyr773) Polyclonal Antibody can be used in IHC,WB.
| Pack Size | Price | USA Warehouse | Global Warehouse | Quantity |
|---|---|---|---|---|
| 50 μL | $218 | 7-10 days | 7-10 days | |
| 100 μL | $317 | 7-10 days | 7-10 days |
| Description | Anti-Phospho-Integrin b3 (Tyr773) Polyclonal Antibody is a Rabbit antibody targeting Phospho-Integrin b3 (Tyr773). Anti-Phospho-Integrin b3 (Tyr773) Polyclonal Antibody can be used in IHC,WB. |
| Synonyms | p-Integrin b3 (Y773), p-Integrin b3 (Tyr773), Integrin b3 (p-Y773), Integrin b3 (p-Tyr773) |
| Ig Type | IgG |
| Reactivity | Human,Mouse,Rat |
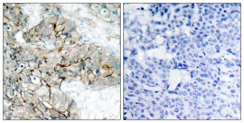
| Verified Activity | 1. Western blot analysis of extracts from 293 cells using Integrin b3 (Phospho-Tyr773) Antibody TMAC-02178 and the same antibody preincubated with blocking peptide. 2. Immunohistochemical analysis of paraffin-embedded human breast carcinoma tissue using Integrin b3 (Phospho-Tyr773) Antibody TMAC-02178 (left) or the same antibody preincubated with blocking peptide (right). ![]() ![]() |
| Application | |
| Antibody Type | Polyclonal |
| Host Species | Rabbit |
| Construction | Polyclonal Antibody |
| Purification | Antibodies were produced by immunizing rabbits with synthetic phosphopeptide and KLH conjugates. Antibodies were purified by affinity-chromatography using epitope-specific phosphopeptide. Non-phospho specific antibodies were removed by chromatogramphy using non-phosphopeptide. |
| Appearance | Liquid |
| Formulation | Supplied at 1.0mg/mL in phosphate buffered saline (without Mg2+ and Ca2+), pH 7.4, 150mM NaCl, 0.02% sodium azide and 50% glycerol. |
| Research Background | Integrin a-V/beta-3 is a receptor for cytotactin, fibronectin, laminin, matrix metalloproteinase-2, osteopontin, osteomodulin, prothrombin, thrombospondin, vitronectin and von Willebrand factor. Integrin a-IIb/beta-3 is a receptor for fibronectin, fibrinogen, plasminogen, prothrombin, thrombospondin and vitronectin. Integrins a-IIb/beta-3 and a-V/beta-3 recognize the sequence R-G-D in a wide array of ligands. Integrin a-IIb/beta-3 recognizes the sequence H-H-L-G-G-G-A-K-Q-A-G-D-V in fibrinogen gamma chain. Following activation integrin a-IIb/beta-3 brings about platelet/platelet interaction through binding of soluble fibrinogen. This step leads to rapid platelet aggregation which physically plugs ruptured endothelial surface. In case of HIV-1 infection, the interaction with extracellular viral Tat protein seems to enhance angiogenesis in Kaposi's sarcoma lesions. |
| Conjucates | Unconjugated |
| Others Formats | Phospho |
| Immunogen | Peptide sequence around phosphorylation site of tyrosine 773 (P-L-Y(p)-K-E) derived from Human Integrin b3 |
| Antigen Species | human |
| Uniprot ID |
| Stability & Storage | Store at 2°C-8°C for 1 month. Store at -20°C or -80°C for 12 months. Avoid repeated freeze-thaw cycles. |
| Transport | Shipping with blue ice. |
| Size | Quantity | Unit Price | Amount | Operation |
|---|

Copyright © 2015-2026 TargetMol Chemicals Inc. All Rights Reserved.