Shopping Cart
Remove All
Your shopping cart is currently empty
Anti-Phospho-IKBKA (Thr23) Polyclonal Antibody is a Rabbit antibody targeting Phospho-IKBKA (Thr23). Anti-Phospho-IKBKA (Thr23) Polyclonal Antibody can be used in WB,IHC.
| Pack Size | Price | USA Warehouse | Global Warehouse | Quantity |
|---|---|---|---|---|
| 50 μL | $216 | 7-10 days | 7-10 days | |
| 100 μL | $317 | 7-10 days | 7-10 days |
| Description | Anti-Phospho-IKBKA (Thr23) Polyclonal Antibody is a Rabbit antibody targeting Phospho-IKBKA (Thr23). Anti-Phospho-IKBKA (Thr23) Polyclonal Antibody can be used in WB,IHC. |
| Synonyms | p-IKK- alpha (Thr23), p-IKK- alpha (T23), IKK- alpha (p-Thr23), IKK- alpha (p-T23) |
| Ig Type | IgG |
| Reactivity | Human,Mouse,Rat |
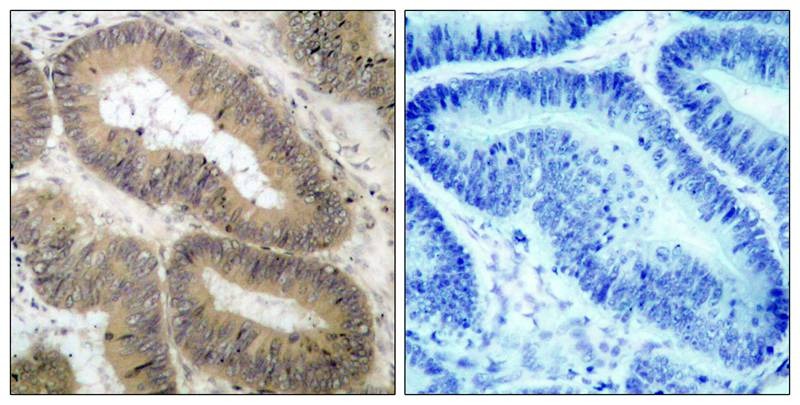
| Verified Activity | 1. Western blot analysis of extracts from 293 cells untreated or treated with TNF using IKK a (Phospho-Thr23) Antibody TMAC-02123. 2. Immunohistochemical analysis of paraffin-embedded human colon carcinoma tissue using IKK a (Phospho-Thr23) Antibody TMAC-02123 (left) or the same antibody preincubated with blocking peptide (right). 3. Western blot analysis of extracts from Hela cells, treated with EGF or calf intestinal phosphatase (CIP), using IKK α (Phospho-Thr23) Antibody TMAC-02123. ![]() ![]() ![]() |
| Application | |
| Antibody Type | Polyclonal |
| Host Species | Rabbit |
| Construction | Polyclonal Antibody |
| Purification | Antibodies were produced by immunizing rabbits with synthetic phosphopeptide and KLH conjugates. Antibodies were purified by affinity-chromatography using epitope-specific phosphopeptide. Non-phospho specific antibodies were removed by chromatogramphy using non-phosphopeptide. |
| Appearance | Liquid |
| Formulation | Supplied at 1.0mg/mL in phosphate buffered saline (without Mg2+ and Ca2+), pH 7.4, 150mM NaCl, 0.02% sodium azide and 50% glycerol. |
| Research Background | Acts as part of the IKK complex in the conventional pathway of NF-kappa-B activation and phosphorylates inhibitors of NF-kappa-B thus leading to the dissociation of the inhibitor/NF-kappa-B complex and ultimately the degradation of the inhibitor. As part of the non-canonical pathway of NF-kappa-B activation, the MAP3K14-activated CHUK/IKKA homodimer phosphorylates NFKB2/p100 associated with RelB, inducing its proteolytic processing to NFKB2/p52 and the formation of NF-kappa-B RelB-p52 complexes. Also phosphorylates NCOA3. Phosphorylates 'Ser-10' of histone H3 at NF-kappa-B-regulated promoters during inflammatory responses triggered by cytokines. |
| Conjucates | Unconjugated |
| Others Formats | Phospho |
| Immunogen | Peptide sequence around phosphorylation site of threonine 23 (L-G-T(p)-G-G) derived from Human IKK a |
| Antigen Species | human |
| Uniprot ID |
| Stability & Storage | Store at 2°C-8°C for 1 month. Store at -20°C or -80°C for 12 months. Avoid repeated freeze-thaw cycles. |
| Transport | Shipping with blue ice. |
| Size | Quantity | Unit Price | Amount | Operation |
|---|

Copyright © 2015-2026 TargetMol Chemicals Inc. All Rights Reserved.