Shopping Cart
Remove All
Your shopping cart is currently empty
Anti-Phospho-IGF1R/CD221 (Tyr1346) Polyclonal Antibody is a Rabbit antibody targeting Phospho-IGF1R/CD221 (Tyr1346). Anti-Phospho-IGF1R/CD221 (Tyr1346) Polyclonal Antibody can be used in IHC.
| Pack Size | Price | USA Warehouse | Global Warehouse | Quantity |
|---|---|---|---|---|
| 50 μL | $216 | 7-10 days | 7-10 days | |
| 100 μL | $316 | 7-10 days | 7-10 days |
| Description | Anti-Phospho-IGF1R/CD221 (Tyr1346) Polyclonal Antibody is a Rabbit antibody targeting Phospho-IGF1R/CD221 (Tyr1346). Anti-Phospho-IGF1R/CD221 (Tyr1346) Polyclonal Antibody can be used in IHC. |
| Synonyms | p-IGF1R/CD221 (Y1346), p-IGF1R/CD221 (Tyr1346), IGF1R/CD221 (p-Y1346), IGF1R/CD221 (p-Tyr1346) |
| Ig Type | IgG |
| Reactivity | Human |
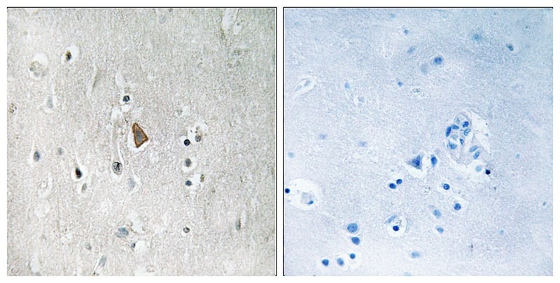
| Verified Activity | 1. Immunohistochemical analysis of paraffin-embedded human brain tissue using IGF1R (Phospho-Tyr1346) antibody TMAC-02092 (left) or the same antibody preincubated with blocking peptide (right). ![]() |
| Application | |
| Recommended Dose | IHC: 1:50-100 |
| Antibody Type | Polyclonal |
| Host Species | Rabbit |
| Construction | Polyclonal Antibody |
| Purification | Antibodies were produced by immunizing rabbits with synthetic phosphopeptide and KLH conjugates. Antibodies were purified by affinity-chromatography using epitope-specific phosphopeptide. Non-phospho specific antibodies were removed by chromatogramphy using non-phosphopeptide. |
| Appearance | Liquid |
| Formulation | Rabbit IgG in phosphate buffered saline (without Mg2+ and Ca2+), pH 7.4, 150mM NaCl, 0.02% sodium azide and 50% glycerol. |
| Research Background | This receptor binds insulin-like growth factor with a high affinity. It has tyrosine kinase activity. The insulin-like growth factor I receptor plays a critical role in transformation events. Cleavage of the precursor generates alpha and beta subunits. It is highly overexpressed in most malignant tissues where it functions as an apoptotic agent by enhancing cell survival. |
| Conjucates | Unconjugated |
| Others Formats | Phospho |
| Immunogen | Peptide sequence around phosphorylation site of tyrosine 1346(Q-P-Y(p)-A-H) derived from Human IGF1R |
| Antigen Species | human |
| Uniprot ID |
| Molecular Weight | Actual: 154 kDa. |
| Stability & Storage | Store at -20°C or -80°C for 12 months. Avoid repeated freeze-thaw cycles. |
| Transport | Shipping with blue ice. |
| Size | Quantity | Unit Price | Amount | Operation |
|---|

Copyright © 2015-2026 TargetMol Chemicals Inc. All Rights Reserved.