Shopping Cart
Remove All
Your shopping cart is currently empty
Anti-Phospho-HSF1 (Ser303) Polyclonal Antibody is a Rabbit antibody targeting Phospho-HSF1 (Ser303). Anti-Phospho-HSF1 (Ser303) Polyclonal Antibody can be used in IHC,WB.
| Pack Size | Price | USA Warehouse | Global Warehouse | Quantity |
|---|---|---|---|---|
| 50 μL | $216 | 7-10 days | 7-10 days | |
| 100 μL | $318 | 7-10 days | 7-10 days |
| Description | Anti-Phospho-HSF1 (Ser303) Polyclonal Antibody is a Rabbit antibody targeting Phospho-HSF1 (Ser303). Anti-Phospho-HSF1 (Ser303) Polyclonal Antibody can be used in IHC,WB. |
| Synonyms | p-HSF1 (Ser303), p-HSF1 (S303), Phospho-HSF1 (S303), HSTF1, HSF1 (p-Ser303), HSF1 (p-S303), heat shock transcription factor 1 |
| Ig Type | IgG |
| Reactivity | Human |
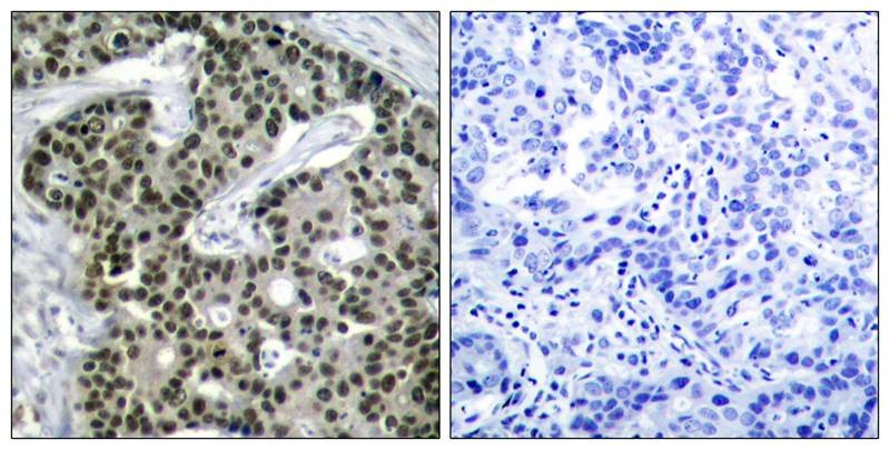
| Verified Activity | 1. Western blot analysis of extracts from MCF7 cells using HSF1 (phospho-Ser303) Antibody TMAC-02024 (Lane 2) and the same antibody preincubated with blocking peptide (Lane1). 2. Immunohistochemical analysis of paraffin-embedded human breast carcinoma tissue using HSF1 (Phospho-Ser303) Antibody TMAC-02024 (left) or the same antibody preincubated with blocking peptide (right). 3. Western blot analysis of extracts from Hela cells, treated with IFNa or calf intestinal phosphatase (CIP), using HSF1 (phospho-Ser303) Antibody TMAC-02024. ![]() ![]() ![]() |
| Application | |
| Antibody Type | Polyclonal |
| Host Species | Rabbit |
| Construction | Polyclonal Antibody |
| Purification | Antibodies were produced by immunizing rabbits with synthetic phosphopeptide and KLH conjugates. Antibodies were purified by affinity-chromatography using epitope-specific phosphopeptide. Non-phospho specific antibodies were removed by chromatogramphy using non-phosphopeptide. |
| Appearance | Liquid |
| Formulation | Supplied at 1.0mg/mL in phosphate buffered saline (without Mg2+ and Ca2+), pH 7.4, 150mM NaCl, 0.02% sodium azide and 50% glycerol. |
| Research Background | DNA-binding protein that specifically binds heat shock promoter elements (HSE) and activates transcription. In higher eukaryotes, HSF is unable to bind to the HSE unless the cells are heat shocked. |
| Conjucates | Unconjugated |
| Others Formats | Phospho |
| Immunogen | Peptide sequence around phosphorylation site of serine 303 (P-P-S(p)-P-P) derived from Human HSF1 |
| Antigen Species | human |
| Uniprot ID |
| Stability & Storage | Store at 2°C-8°C for 1 month. Store at -20°C or -80°C for 12 months. Avoid repeated freeze-thaw cycles. |
| Transport | Shipping with blue ice. |
| Size | Quantity | Unit Price | Amount | Operation |
|---|

Copyright © 2015-2026 TargetMol Chemicals Inc. All Rights Reserved.