Shopping Cart
- Remove All
 Your shopping cart is currently empty Your shopping cart is currently empty
Anti-Phospho-HER2/ERBB2 (Tyr877) Polyclonal Antibody is a Rabbit antibody targeting Phospho-HER2/ERBB2 (Tyr877). Anti-Phospho-HER2/ERBB2 (Tyr877) Polyclonal Antibody can be used in IF,IHC,WB.
| Pack Size | Price | Availability | Quantity | 
|---|---|---|---|
| 50 μL | $218 | 7-10 days | |
| 100 μL | $316 | 7-10 days | 
| Description | Anti-Phospho-HER2/ERBB2 (Tyr877) Polyclonal Antibody is a Rabbit antibody targeting Phospho-HER2/ERBB2 (Tyr877). Anti-Phospho-HER2/ERBB2 (Tyr877) Polyclonal Antibody can be used in IF,IHC,WB. | 
| Synonyms | p-HER2/ERBB2 (Y877), p-HER2/ERBB2 (Tyr877), HER2/ERBB2 (p-Y877), HER2/ERBB2 (p-Tyr877) | 
| Ig Type | IgG | 
| Reactivity | Human,Mouse,Rat | 
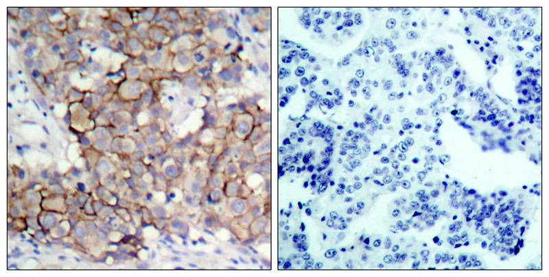
| Verified Activity | 1. Western blot analysis of extracts from A431 cells untreated or treated with EGF using HER2 (Phospho-Tyr877) Antibody TMAC-01808. 2. Immunohistochemical analysis of paraffin-embedded human breast carcinoma tissue, using HER2 (Phospho-Tyr877) Antibody TMAC-01808(left) or the same antibody preincubated with blocking peptide (right). 3. Immunofluorescence staining of methanol-fixed MCF7 cells using HER2 (Phospho-Tyr877) Antibody TMAC-01808.    | 
| Application | |
| Antibody Type | Polyclonal | 
| Host Species | Rabbit | 
| Construction | Polyclonal Antibody | 
| Purification | Antibodies were produced by immunizing rabbits with synthetic phosphopeptide and KLH conjugates. Antibodies were purified by affinity-chromatography using epitope-specific phosphopeptide. Non-phospho specific antibodies were removed by chromatogramphy using non-phosphopeptide. | 
| Appearance | Liquid | 
| Formulation | Supplied at 1.0mg/mL in phosphate buffered saline (without Mg2+ and Ca2+), pH 7.4, 150mM NaCl, 0.02% sodium azide and 50% glycerol. | 
| Research Background | Essential component of a neuregulin-receptor complex, although neuregulins do not interact with it alone. GP30 is a potential ligand for this receptor. Not activated by EGF, TGF-a and amphiregulin. | 
| Conjucates | Unconjugated | 
| Others Formats | Phospho | 
| Immunogen | Peptide sequence around phosphorylation site of tyrosine 877 (T-E-Y(p)-H-A) derived from Human HER2 | 
| Antigen Species | human | 
| Uniprot ID | 
| Stability & Storage | Store at 2°C-8°C for 1 month. Store at -20°C or -80°C for 12 months. Avoid repeated freeze-thaw cycles. | 
| Transport | Shipping with blue ice. | 

Copyright © 2015-2025 TargetMol Chemicals Inc. All Rights Reserved.