Shopping Cart
Remove All
Your shopping cart is currently empty
Anti-Phospho-HDAC5 (Ser498) Polyclonal Antibody is a Rabbit antibody targeting Phospho-HDAC5 (Ser498). Anti-Phospho-HDAC5 (Ser498) Polyclonal Antibody can be used in IF,IHC,WB.
| Pack Size | Price | USA Warehouse | Global Warehouse | Quantity |
|---|---|---|---|---|
| 50 μL | $218 | 7-10 days | 7-10 days | |
| 100 μL | $318 | 7-10 days | 7-10 days |
| Description | Anti-Phospho-HDAC5 (Ser498) Polyclonal Antibody is a Rabbit antibody targeting Phospho-HDAC5 (Ser498). Anti-Phospho-HDAC5 (Ser498) Polyclonal Antibody can be used in IF,IHC,WB. |
| Synonyms | p-HDAC5 (Ser498), p-HDAC5 (S498), HDAC5 (p-Ser498), HDAC5 (p-S498) |
| Ig Type | IgG |
| Reactivity | Human,Mouse |
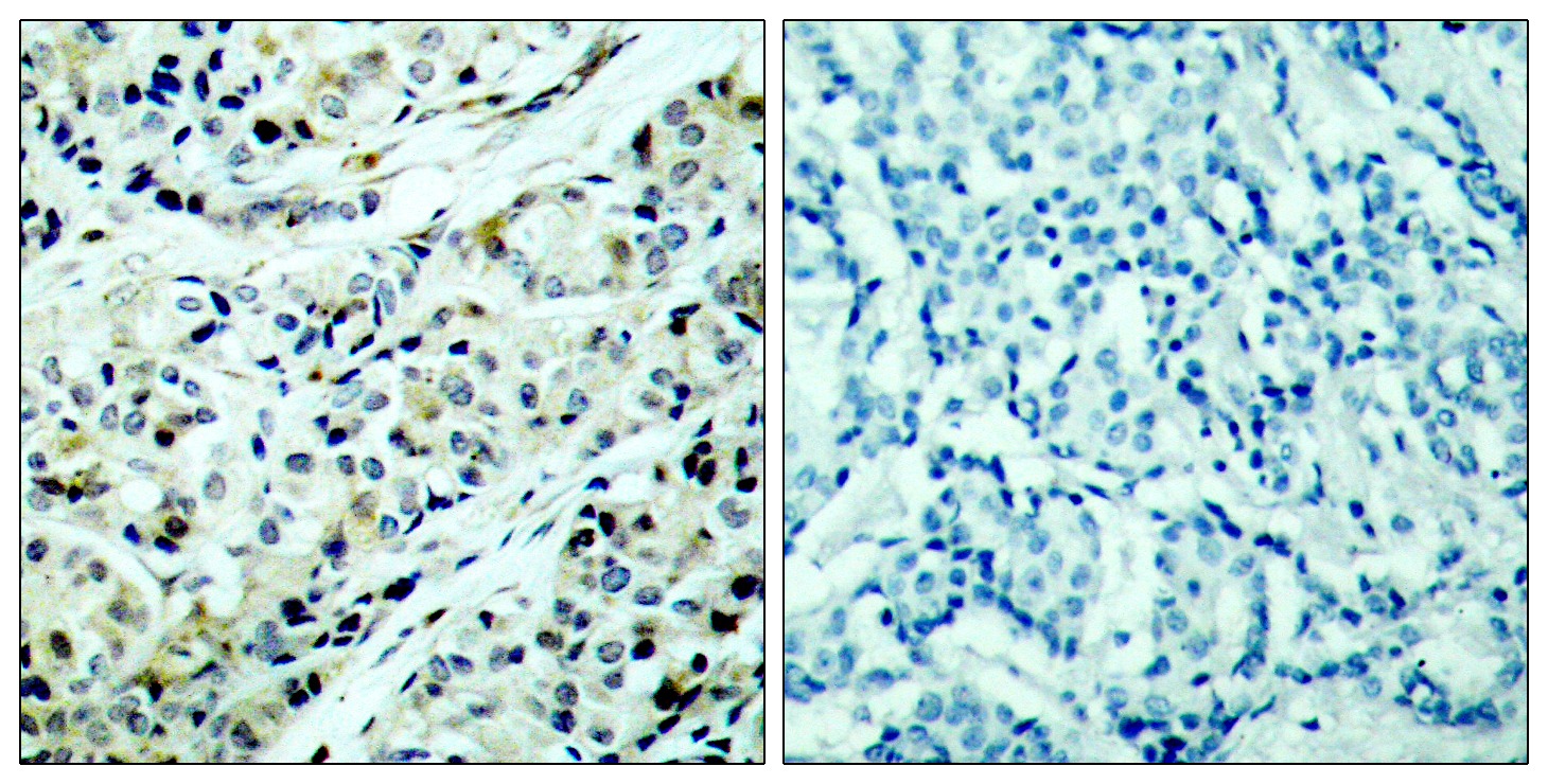
| Verified Activity | 1. Western Blot analysis of VEC cells using Phospho-HDAC5 (S498) Polyclonal Antibody diluted at 1:500. 2. Western blot analysis of lysates from Jurkat cells, using HDAC5 (Phospho-Ser498) Antibody. The lane on the right is blocked with the phospho peptide. 3. Immunohistochemistry analysis of paraffin-embedded human breast carcinoma, using HDAC5 (Phospho-Ser498) Antibody. The picture on the right is blocked with the phospho peptide. ![]() ![]() ![]() |
| Application | |
| Recommended Dose | WB: 1:500-2000; IHC: 1:100-300; IF: 1:200-1000 |
| Antibody Type | Polyclonal |
| Host Species | Rabbit |
| Construction | Polyclonal Antibody |
| Purification | The antibody was affinity-purified from rabbit antiserum by affinity-chromatography using epitope-specific immunogen. |
| Appearance | Liquid |
| Formulation | Liquid in PBS containing 50% glycerol, 0.5% BSA and 0.02% sodium azide. |
| Research Background | Histones play a critical role in transcriptional regulation, cell cycle progression, and developmental events. Histone acetylation/deacetylation alters chromosome structure and affects transcription factor access to DNA. The protein encoded by this gene belongs to the class II histone deacetylase/acuc/apha family. It possesses histone deacetylase activity and represses transcription when tethered to a promoter. It coimmunoprecipitates only with HDAC3 family member and might form multicomplex proteins. It also interacts with myocyte enhancer factor-2 (MEF2) proteins, resulting in repression of MEF2-dependent genes. This gene is thought to be associated with colon cancer. Two transcript variants encoding different isoforms have been found for this gene. [provided by RefSeq, Jul 2008], |
| Conjucates | Unconjugated |
| Others Formats | Phospho |
| Immunogen | A synthesized phosphopeptide: human HDAC5 around the phosphorylation site of Ser498 |
| Antigen Species | human |
| Uniprot ID |
| Stability & Storage | Store at 2°C-8°C for 1 month. Store at -20°C or -80°C for 12 months. Avoid repeated freeze-thaw cycles. |
| Transport | Shipping with blue ice. |
| Size | Quantity | Unit Price | Amount | Operation |
|---|

Copyright © 2015-2026 TargetMol Chemicals Inc. All Rights Reserved.