Shopping Cart
Remove All
Your shopping cart is currently empty
Anti-Phospho-HDAC2 (Ser394) Polyclonal Antibody is a Rabbit antibody targeting Phospho-HDAC2 (Ser394). Anti-Phospho-HDAC2 (Ser394) Polyclonal Antibody can be used in IF,IHC,WB.
| Pack Size | Price | USA Warehouse | Global Warehouse | Quantity |
|---|---|---|---|---|
| 50 μL | $218 | 7-10 days | 7-10 days | |
| 100 μL | $318 | 7-10 days | 7-10 days |
| Description | Anti-Phospho-HDAC2 (Ser394) Polyclonal Antibody is a Rabbit antibody targeting Phospho-HDAC2 (Ser394). Anti-Phospho-HDAC2 (Ser394) Polyclonal Antibody can be used in IF,IHC,WB. |
| Synonyms | p-HDAC2 (Ser394), p-HDAC2 (S394), HDAC2 (p-Ser394), HDAC2 (p-S394) |
| Ig Type | IgG |
| Reactivity | Human,Mouse,Rat |
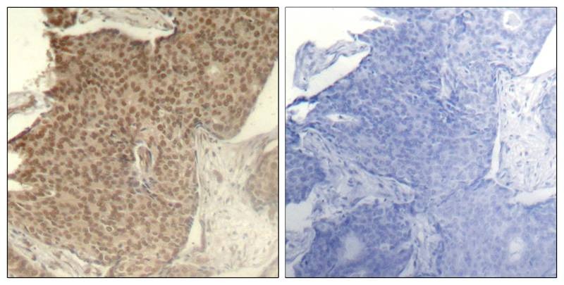
| Verified Activity | 1. Western blot analysis of extracts from 293 cells untreated or treated with EGF using HDAC2 (Phospho-Ser394) Antibody TMAC-01775. 2. Immunohistochemical analysis of paraffin-embedded human breast carcinoma tissue using HDAC2 (Phospho-Ser394) Antibody TMAC-01775 (left) or the same antibody preincubated with blocking peptide (right). 3. Immunofluorescence staining of methanol-fixed Hela cells showing nuclear staining using HDAC2 (Phospho-Ser394) Antibody TMAC-01775. 4. Western blot analysis of extracts from HepG2 cells, treated with calf intestinal phosphatase (CIP), using HDAC2 (Phospho-Ser394) Antibody TMAC-01775. ![]() ![]() ![]() ![]() |
| Application | |
| Antibody Type | Polyclonal |
| Host Species | Rabbit |
| Construction | Polyclonal Antibody |
| Purification | Antibodies were produced by immunizing rabbits with synthetic phosphopeptide and KLH conjugates. Antibodies were purified by affinity-chromatography using epitope-specific phosphopeptide. Non-phospho specific antibodies were removed by chromatogramphy using non-phosphopeptide. |
| Appearance | Liquid |
| Formulation | Supplied at 1.0mg/mL in phosphate buffered saline (without Mg2+ and Ca2+), pH 7.4, 150mM NaCl, 0.02% sodium azide and 50% glycerol. |
| Research Background | Responsible for the deacetylation of lysine residues on the N-terminal part of the core histones (H2A, H2B, H3 and H4). Histone deacetylation gives a tag for epigenetic repression and plays an important role in transcriptional regulation, cell cycle progression and developmental events. Histone deacetylases act via the formation of large multiprotein complexes |
| Conjucates | Unconjugated |
| Others Formats | Phospho |
| Immunogen | Peptide sequence around phosphorylation site of serine 394 (E-D-S(p)-G-D) derived from Human HDAC2 |
| Antigen Species | human |
| Uniprot ID |
| Stability & Storage | Store at 2°C-8°C for 1 month. Store at -20°C or -80°C for 12 months. Avoid repeated freeze-thaw cycles. |
| Transport | Shipping with blue ice. |
| Size | Quantity | Unit Price | Amount | Operation |
|---|

Copyright © 2015-2026 TargetMol Chemicals Inc. All Rights Reserved.