Shopping Cart
Remove All
Your shopping cart is currently empty
Anti-Phospho-H2AFX (Ser139) Antibody (2B111) is a Rabbit antibody targeting Phospho-H2AFX (Ser139). Anti-Phospho-H2AFX (Ser139) Antibody (2B111) can be used in ICC/IF,IHC,IP,WB.
| Pack Size | Price | USA Warehouse | Global Warehouse | Quantity |
|---|---|---|---|---|
| 50 μL | $298 | 7-10 days | 7-10 days | |
| 100 μL | $497 | 7-10 days | 7-10 days |
| Description | Anti-Phospho-H2AFX (Ser139) Antibody (2B111) is a Rabbit antibody targeting Phospho-H2AFX (Ser139). Anti-Phospho-H2AFX (Ser139) Antibody (2B111) can be used in ICC/IF,IHC,IP,WB. |
| Synonyms | p-H2AFX (Ser139), p-H2AFX (S139), H2AFX (p-Ser139), H2AFX (p-S139) |
| Ig Type | IgG |
| Clone | 2B111 |
| Reactivity | Human,Mouse,Rat |
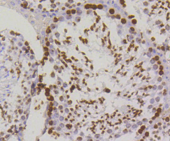
| Verified Activity | 1. Western blot analysis of Phospho-Histone H2A.X (S139) on HepG2 cell lysates using anti-Phospho-Histone H2A.X (S139) antibody at 1/1,000 dilution. Positive control: Lane 1: HepG2 cell lysate treated with etoposide, Lane 2: HepG2 cell lysate untreated. 2. Immunohistochemical analysis of paraffin-embedded mouse testis tissue using anti- Phospho-Histone H2A.X (S139) antibody. Counter stained with hematoxylin. ![]() ![]() |
| Application | |
| Recommended Dose | WB: 1:1000-5000; IHC: 1:100-200; ICC/IF: 1:50-200; IP: 1:20-50 |
| Antibody Type | Monoclonal |
| Host Species | Rabbit |
| Construction | Recombinant Antibody |
| Purification | ProA affinity purified |
| Appearance | Liquid |
| Formulation | 1*TBS (pH7.4), 1%BSA, 40%Glycerol. Preservative: 0.05% Sodium Azide. |
| Research Background | Histone H2A.X is a member of the Histone H2A family, which is involved in nucleosomal organization of chromatin. The H2AFX gene is located in close proximity to the Porphobilinogen deaminase (PBG-D) gene in both mouse and human, and maps to chromosome 9 and 11q23, respectively. H2A.X differs from the other members of the H2A family by the presence of a highly conserved C-terminal motif. It is rapidly phosphorylated in response to ionizing radiation and plays an important role in the recognition and repair of DNA double stranded breaks. The phosphorylated form of H2A.X, designated ?-H2A.X, forms nuclear foci at the heavy chain constant region of cells involved in class switch recombination (CSR), a region-specific DNA reaction that replaces one immunoglobulin heavy chain constant region gene with another. The phosphorylated ?-H2A.X is also thought to initiate subsequent repair factors, including Rad50, Rad51 and BRCA1. |
| Conjucates | Unconjugated |
| Others Formats | Phospho |
| Immunogen | A synthesized phosphopeptide: human Histone H2A.X around the phosphorylation site of Ser139 |
| Antigen Species | human |
| Uniprot ID |
| Molecular Weight | Theoretical: 15 kDa. |
| Stability & Storage | Store at -20°C or -80°C for 12 months. Avoid repeated freeze-thaw cycles. |
| Transport | Shipping with blue ice. |
| Size | Quantity | Unit Price | Amount | Operation |
|---|

Copyright © 2015-2026 TargetMol Chemicals Inc. All Rights Reserved.