Shopping Cart
Remove All
Your shopping cart is currently empty
Anti-Phospho-GSK3A/B (Tyr279, 216) Polyclonal Antibody is a Rabbit antibody targeting Phospho-GSK3A/B (Tyr279, 216). Anti-Phospho-GSK3A/B (Tyr279, 216) Polyclonal Antibody can be used in ELISA,IF,IHC,WB.
| Pack Size | Price | USA Warehouse | Global Warehouse | Quantity |
|---|---|---|---|---|
| 50 μL | $216 | 7-10 days | 7-10 days | |
| 100 μL | $317 | 7-10 days | 7-10 days |
| Description | Anti-Phospho-GSK3A/B (Tyr279, 216) Polyclonal Antibody is a Rabbit antibody targeting Phospho-GSK3A/B (Tyr279, 216). Anti-Phospho-GSK3A/B (Tyr279, 216) Polyclonal Antibody can be used in ELISA,IF,IHC,WB. |
| Synonyms | Serine/threonine protein kinase GSK3A, Phospho-GSK3A/GSK3B (Y216, 279), p-GSK3A/GSK3B (Y216, 279), p-GSK3A/GSK3B (Tyr216, 279), GSK3alpha, GSK3A/GSK3B (p-Y216, 279), GSK3A/GSK3B (p-Tyr216, 279), Gsk3a, GSK-3 alpha, GSK 3A, GSK 3 alpha, Glycogen synthase kinase-3 alpha, Glycogen synthase kinase 3 alpha, DKFZp686D0638 |
| Ig Type | IgG |
| Reactivity | Human,Mouse,Rat |
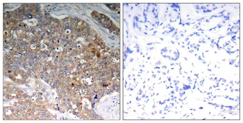
| Verified Activity | 1. Immunohistochemical analysis of paraffin-embedded human breast carcinoma tissue using GSK3α/β (Phospho-Tyr279/216) Antibody TMAC-01731 (left) or the same antibody preincubated with blocking peptide (right). 2. Immunofluorescence staining of methanol-fixed Hela cells using GSK3α/β (Phospho-Tyr279/216) Antibody TMAC-01731. 3. Western blot analysis of extracts from 293 cells untreated or treated with PMA using GSK3α/β (Phospho-Tyr279/216) Antibody TMAC-01731. 4. Immunofluorescence staining of methanol-fixed MEF cells using GSK3α/β (Phospho-Tyr279/216) Antibody TMAC-01731. ![]() ![]() ![]() ![]() |
| Application | |
| Antibody Type | Polyclonal |
| Host Species | Rabbit |
| Construction | Polyclonal Antibody |
| Purification | Antibodies were produced by immunizing rabbits with synthetic phosphopeptide and KLH conjugates. Antibodies were purified by affinity-chromatography using epitope-specific phosphopeptide. Non-phospho specific antibodies were removed by chromatogramphy using non-phosphopeptide. |
| Appearance | Liquid |
| Formulation | Supplied at 1.0mg/mL in phosphate buffered saline (without Mg2+ and Ca2+), pH 7.4, 150mM NaCl, 0.02% sodium azide and 50% glycerol. |
| Research Background | Participates in the Wnt signaling pathway. Implicated in the hormonal control of several regulatory proteins including glycogen synthase, MYB and the transcription factor JUN. Phosphorylates JUN at sites proximal to its DNA-binding domain, thereby reducing its affinity for DNA. Phosphorylates MUC1 in breast cancer cells, and decreases the interaction of MUC1 with CTNNB1/beta-catenin. Phosphorylates CTNNB1/beta-catenin. |
| Conjucates | Unconjugated |
| Others Formats | Phospho |
| Immunogen | Peptide sequence around phosphorylation site of tyrosine 279/216 (V-S-Y(p)-I-C) derived from Human GSK3α/β |
| Antigen Species | human |
| Uniprot ID |
| Stability & Storage | Store at 2°C-8°C for 1 month. Store at -20°C or -80°C for 12 months. Avoid repeated freeze-thaw cycles. |
| Transport | Shipping with blue ice. |
| Size | Quantity | Unit Price | Amount | Operation |
|---|

Copyright © 2015-2026 TargetMol Chemicals Inc. All Rights Reserved.