Shopping Cart
Remove All
Your shopping cart is currently empty
Anti-Phospho-GSK3A (Ser21) Polyclonal Antibody is a Rabbit antibody targeting Phospho-GSK3A (Ser21). Anti-Phospho-GSK3A (Ser21) Polyclonal Antibody can be used in IF,IHC,WB.
| Pack Size | Price | USA Warehouse | Global Warehouse | Quantity |
|---|---|---|---|---|
| 50 μL | $217 | 7-10 days | 7-10 days | |
| 100 μL | $316 | 7-10 days | 7-10 days |
| Description | Anti-Phospho-GSK3A (Ser21) Polyclonal Antibody is a Rabbit antibody targeting Phospho-GSK3A (Ser21). Anti-Phospho-GSK3A (Ser21) Polyclonal Antibody can be used in IF,IHC,WB. |
| Synonyms | Serine/threonine protein kinase GSK3A, Phospho-GSK3A (S21), p-GSK3A (Ser21), p-GSK3A (S21), GSK3alpha, GSK3A (p-Ser21), GSK3A (p-S21), Gsk3a, GSK-3 alpha, GSK 3A, GSK 3 alpha, Glycogen synthase kinase-3 alpha, Glycogen synthase kinase 3 alpha, DKFZp686D0638 |
| Ig Type | IgG |
| Reactivity | Human,Mouse,Rat |
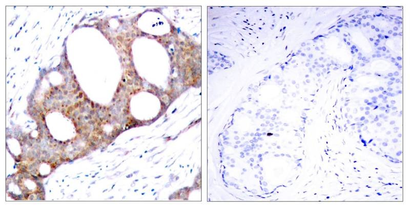
| Verified Activity | 1. Western blot analysis of extracts from 293 cells untreated (lane 1) or treated with serum (lane 2) using GSK3a (Phospho-Ser21) Antibody TMAC-01730. 2. Immunohistochemical analysis of paraffin-embedded human breast carcinoma tissue using GSK3a (Phospho-Ser21) Antibody TMAC-01730 (left) or the same antibody preincubated with blocking peptide (right). 3. Immunofluorescence staining of methanol-fixed Hela cells showing cytoplasmic staining using GSK3a (Phospho-Ser21) Antibody TMAC-01730. 4. Western blot analysis of extracts from 293 cells, treated with insulin or calf intestinal phosphatase (CIP), using GSK3α (Phospho-Ser21) Antibody TMAC-01730. ![]() ![]() ![]() ![]() |
| Application | |
| Antibody Type | Polyclonal |
| Host Species | Rabbit |
| Construction | Polyclonal Antibody |
| Purification | Antibodies were produced by immunizing rabbits with synthetic phosphopeptide and KLH conjugates. Antibodies were purified by affinity-chromatography using epitope-specific phosphopeptide. Non-phospho specific antibodies were removed by chromatogramphy using non-phosphopeptide. |
| Appearance | Liquid |
| Formulation | Supplied at 1.0mg/mL in phosphate buffered saline (without Mg2+ and Ca2+), pH 7.4, 150mM NaCl, 0.02% sodium azide and 50% glycerol. |
| Research Background | Implicated in the hormonal control of several regulatory proteins including glycogen synthase, MYB and the transcription factor JUN. |
| Conjucates | Unconjugated |
| Others Formats | Phospho |
| Immunogen | Peptide sequence around phosphorylation site of serine 21 (T-S-S(p)-F-A) derived from Human GSK3a |
| Antigen Species | human |
| Uniprot ID |
| Stability & Storage | Store at 2°C-8°C for 1 month. Store at -20°C or -80°C for 12 months. Avoid repeated freeze-thaw cycles. |
| Transport | Shipping with blue ice. |
| Size | Quantity | Unit Price | Amount | Operation |
|---|

Copyright © 2015-2026 TargetMol Chemicals Inc. All Rights Reserved.