Shopping Cart
Remove All
Your shopping cart is currently empty
Anti-Phospho-GSK3A/B (Tyr216/279) Antibody (3N852) is a Rabbit antibody targeting Phospho-GSK3A/B (Tyr216/279). Anti-Phospho-GSK3A/B (Tyr216/279) Antibody (3N852) can be used in ICC,IHC,IP,WB.
| Pack Size | Price | USA Warehouse | Global Warehouse | Quantity |
|---|---|---|---|---|
| 50 μL | $296 | 7-10 days | 7-10 days | |
| 100 μL | $498 | 7-10 days | 7-10 days |
| Description | Anti-Phospho-GSK3A/B (Tyr216/279) Antibody (3N852) is a Rabbit antibody targeting Phospho-GSK3A/B (Tyr216/279). Anti-Phospho-GSK3A/B (Tyr216/279) Antibody (3N852) can be used in ICC,IHC,IP,WB. |
| Synonyms | Serine/threonine protein kinase GSK3A, Phospho-GSK3A/GSK3B (Y216, 279), p-GSK3A/GSK3B (Y216, 279), p-GSK3A/GSK3B (Tyr216, 279), GSK3alpha, GSK3A/GSK3B (p-Y216, 279), GSK3A/GSK3B (p-Tyr216, 279), Gsk3a, GSK-3 alpha, GSK 3A, GSK 3 alpha, Glycogen synthase kinase-3 alpha, Glycogen synthase kinase 3 alpha, DKFZp686D0638 |
| Ig Type | IgG |
| Clone | 3N852 |
| Reactivity | Human,Mouse,Rat |
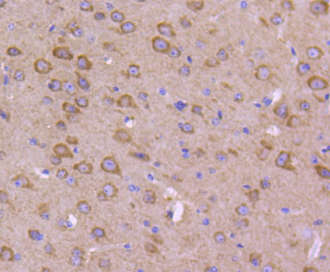
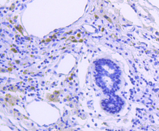
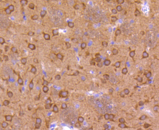
| Verified Activity | 1. Immunohistochemical analysis of paraffin-embedded rat brain tissue using anti-Phospho-GSK3 (alpha+beta) (Y216+Y279) antibody. Counter stained with hematoxylin. 2. Immunohistochemical analysis of paraffin-embedded human breast carcinoma tissue using anti-Phospho-GSK3 (alpha+beta) (Y216+Y279) antibody. Counter stained with hematoxylin. 3. Immunohistochemical analysis of paraffin-embedded mouse brain tissue using anti-Phospho-GSK3 (alpha+beta) (Y216+Y279) antibody. Counter stained with hematoxylin. 4. ICC staining Phospho-GSK3 (alpha+beta) (Y216+Y279) in A431 cells (green). The nuclear counter stain is DAPI (blue). Cells were fixed in paraformaldehyde, permeabilised with 0.25% Triton X100/PBS. 5. ICC staining Phospho-GSK3 (alpha+beta) (Y216+Y279) in Hela cells (green). The nuclear counter stain is DAPI (blue). Cells were fixed in paraformaldehyde, permeabilised with 0.25% Triton X100/PBS. 6. ICC staining Phospho-GSK3 (alpha+beta) (Y216+Y279) in MCF-7 cells (green). The nuclear counter stain is DAPI (blue). Cells were fixed in paraformaldehyde, permeabilised with 0.25% Triton X100/PBS. ![]() ![]() ![]() ![]() ![]() ![]() |
| Application | |
| Recommended Dose | WB: 1:1000; IHC: 1:50-200; ICC: 1:100-500 |
| Antibody Type | Monoclonal |
| Host Species | Rabbit |
| Construction | Recombinant Antibody |
| Purification | ProA affinity purified |
| Appearance | Liquid |
| Formulation | 1*TBS (pH7.4), 1%BSA, 40%Glycerol. Preservative: 0.05% Sodium Azide. |
| Research Background | Glycogen synthase kinase-3α (GSK-3α) and GSK-3β are highly similar isoforms of serine/ threonine kinases that regulate metabolic enzymes and transcription factors, which are responsible for coordinating processes such as glycogen synthesis and cell adhesion. GSK-3β activity is also required for nuclear activity of Rel dimers, which mediate an apoptotic response to TNFα in mice. GSK-3 catalytic kinase activity is controlled through differential phosphorylation of serine/threonine residues, which have an inhibitory effect, and tyrosine residues, which have an activating effect. Growth factor stimulation of mammalian cells expressing GSK-3α and GSK-3β induces phosphorylation of Ser 21 and Ser 9, respectively, through a phosphatidylinositol 3-kinase (PI 3-K)-protein kinase B (PKB)-dependent pathway, thereby enhancing proliferative signals. Additionally, GSK-3 physically associates with cAMP-dependent protein kinase A (PKA), which phosphorylates Ser 21 of GSK-3α or Ser 9 of GSK-3β and inactivates both forms. GSK-3α/β is positively regulated by phosphorylation on Tyr 279 and Tyr 216, respectively. Activated GSK-3α/β participates in energy metabolism, neuronal cell development, and body pattern formation. Tyrosine dephosphorylation of GSK-3 is involved in its extracellular signal-dependent inactivation. |
| Conjucates | Unconjugated |
| Others Formats | Phospho |
| Immunogen | A synthesized phosphopeptide: human GSK3(alpha+beta) around the phosphorylation site of Tyr216 and 279 |
| Antigen Species | human |
| Uniprot ID |
| Molecular Weight | Theoretical: 51 kDa. |
| Stability & Storage | Store at -20°C or -80°C for 12 months. Avoid repeated freeze-thaw cycles. |
| Transport | Shipping with blue ice. |
| Size | Quantity | Unit Price | Amount | Operation |
|---|

Copyright © 2015-2026 TargetMol Chemicals Inc. All Rights Reserved.