Shopping Cart
Remove All
Your shopping cart is currently empty
Anti-Phospho-Girdin (Ser1417) Polyclonal Antibody is a Rabbit antibody targeting Phospho-Girdin (Ser1417). Anti-Phospho-Girdin (Ser1417) Polyclonal Antibody can be used in IHC.
| Pack Size | Price | USA Warehouse | Global Warehouse | Quantity |
|---|---|---|---|---|
| 50 μL | $217 | 7-10 days | 7-10 days | |
| 100 μL | $318 | 7-10 days | 7-10 days |
| Description | Anti-Phospho-Girdin (Ser1417) Polyclonal Antibody is a Rabbit antibody targeting Phospho-Girdin (Ser1417). Anti-Phospho-Girdin (Ser1417) Polyclonal Antibody can be used in IHC. |
| Synonyms | p-Girdin (Ser1417), p-Girdin (S1417), Girdin (p-Ser1417), Girdin (p-S1417) |
| Ig Type | IgG |
| Reactivity | Human,Mouse |
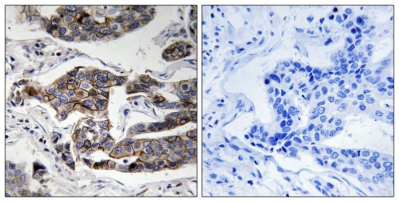
| Verified Activity | 1. Immunohistochemical analysis of paraffin-embedded human breast carcinoma tissue using Girdin (Phospho-Ser1417) antibody TMAC-01661 (left) or the same antibody preincubated with blocking peptide (right). ![]() |
| Application | |
| Recommended Dose | IHC: 1:50-100 |
| Antibody Type | Polyclonal |
| Host Species | Rabbit |
| Construction | Polyclonal Antibody |
| Purification | Antibodies were produced by immunizing rabbits with synthetic phosphopeptide and KLH conjugates. Antibodies were purified by affinity-chromatography using epitope-specific phosphopeptide. Non-phospho specific antibodies were removed by chromatogramphy using non-phosphopeptide. |
| Appearance | Liquid |
| Formulation | Rabbit IgG in phosphate buffered saline (without Mg2+ and Ca2+), pH 7.4, 150mM NaCl, 0.02% sodium azide and 50% glycerol. |
| Research Background | girdin IS a ubiquitously expressed actin binding protein that plays an important role in the formation of stress fibers and lamellipodia. Subsequent to phosphorylation by Akt, Girdin accumulates at the leading edge of migrating cells and appears to be crucial for the integrity of the actin cytoskeleton and for cell migration. |
| Conjucates | Unconjugated |
| Others Formats | Phospho |
| Immunogen | Peptide sequence around phosphorylation site of Serine 417(Q-K-S(p)-L-T) derived from Human Girdin |
| Antigen Species | human |
| Uniprot ID |
| Molecular Weight | Actual: 216 kDa. |
| Stability & Storage | Store at -20°C or -80°C for 12 months. Avoid repeated freeze-thaw cycles. |
| Transport | Shipping with blue ice. |
| Size | Quantity | Unit Price | Amount | Operation |
|---|

Copyright © 2015-2026 TargetMol Chemicals Inc. All Rights Reserved.