Shopping Cart
Remove All
Your shopping cart is currently empty
Anti-Phospho-GATA1 (Ser142) Polyclonal Antibody is a Rabbit antibody targeting Phospho-GATA1 (Ser142). Anti-Phospho-GATA1 (Ser142) Polyclonal Antibody can be used in IF,IHC,WB.
| Pack Size | Price | USA Warehouse | Global Warehouse | Quantity |
|---|---|---|---|---|
| 50 μL | $217 | 7-10 days | 7-10 days | |
| 100 μL | $317 | 7-10 days | 7-10 days |
| Description | Anti-Phospho-GATA1 (Ser142) Polyclonal Antibody is a Rabbit antibody targeting Phospho-GATA1 (Ser142). Anti-Phospho-GATA1 (Ser142) Polyclonal Antibody can be used in IF,IHC,WB. |
| Synonyms | p-GATA1 (Ser142), p-GATA1 (S142), GATA1 (p-Ser142), GATA1 (p-S142) |
| Ig Type | IgG |
| Reactivity | Human,Mouse,Rat |
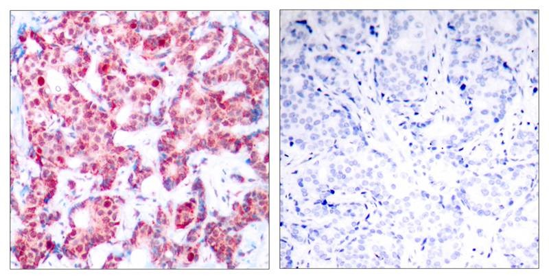
| Verified Activity | 1. Western blot analysis of extracts from HL60 cells untreated or treated with PMA using GATA1 (Phospho-Ser142) Antibody TMAC-01627. 2. Immunohistochemical analysis of paraffin-embedded human breast carcinoma tissue using GATA1 (Phospho-Ser142) Antibody TMAC-01627 (left) or the same antibody preincubated with blocking peptide (right). 3. Immunofluorescence staining of methanol-fixed K562 cells using GATA1 (Phospho-Ser142) Antibody TMAC-01627. ![]() ![]() ![]() |
| Application | |
| Antibody Type | Polyclonal |
| Host Species | Rabbit |
| Construction | Polyclonal Antibody |
| Purification | Antibodies were produced by immunizing rabbits with synthetic phosphopeptide and KLH conjugates. Antibodies were purified by affinity-chromatography using epitope-specific phosphopeptide. Non-phospho specific antibodies were removed by chromatogramphy using non-phosphopeptide. |
| Appearance | Liquid |
| Formulation | Supplied at 1.0mg/mL in phosphate buffered saline (without Mg2+ and Ca2+), pH 7.4, 150mM NaCl, 0.02% sodium azide and 50% glycerol. |
| Research Background | GATA1 encodes a protein which belongs to the GATA family of transcription factors. The protein plays an important role in erythroid development by regulating the switch of fetal hemoglobin to adult hemoglobin. Mutations in this gene have been associated with X-linked dyserythropoietic anemia and thrombocytopenia. |
| Conjucates | Unconjugated |
| Others Formats | Phospho |
| Immunogen | Peptide sequence around phosphorylation site of serine 142 (R-L-S(p)-P-D) derived from Human GATA1 |
| Antigen Species | human |
| Uniprot ID |
| Stability & Storage | Store at 2°C-8°C for 1 month. Store at -20°C or -80°C for 12 months. Avoid repeated freeze-thaw cycles. |
| Transport | Shipping with blue ice. |
| Size | Quantity | Unit Price | Amount | Operation |
|---|

Copyright © 2015-2026 TargetMol Chemicals Inc. All Rights Reserved.