Shopping Cart
Remove All
Your shopping cart is currently empty
Anti-Phospho-GAB2 (Ser623) Polyclonal Antibody is a Rabbit antibody targeting Phospho-GAB2 (Ser623). Anti-Phospho-GAB2 (Ser623) Polyclonal Antibody can be used in IHC,WB.
| Pack Size | Price | USA Warehouse | Global Warehouse | Quantity |
|---|---|---|---|---|
| 50 μL | $216 | 7-10 days | 7-10 days | |
| 100 μL | $318 | 7-10 days | 7-10 days |
| Description | Anti-Phospho-GAB2 (Ser623) Polyclonal Antibody is a Rabbit antibody targeting Phospho-GAB2 (Ser623). Anti-Phospho-GAB2 (Ser623) Polyclonal Antibody can be used in IHC,WB. |
| Synonyms | p-GAB2 (Ser623), p-GAB2 (S623), GAB2 (p-Ser623), GAB2 (p-S623) |
| Ig Type | IgG |
| Reactivity | Human,Mouse |
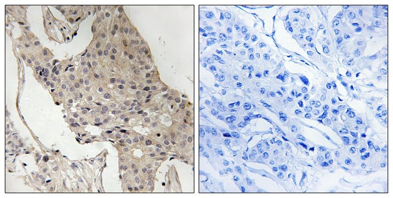
| Verified Activity | 1. Western blot analysis of extracts from 293 cells (Lane 2), HeLa cells (Lane 3) and HepG2 cells (Lane 4), using Gab2 (Phospho-Ser623) Antibody TMAC-01585. The lane on the left is treated with antigen-specific peptide. 2. Immunohistochemical analysis of paraffin-embedded human breast carcinoma tissue using Gab2 (Phospho-Ser623) antibody TMAC-01585 (left) or the same antibody preincubated with blocking peptide (right). ![]() ![]() |
| Application | |
| Recommended Dose | WB: 1:500-1000; IHC: 1:50-100 |
| Antibody Type | Polyclonal |
| Host Species | Rabbit |
| Construction | Polyclonal Antibody |
| Purification | Antibodies were produced by immunizing rabbits with synthetic phosphopeptide and KLH conjugates. Antibodies were purified by affinity-chromatography using epitope-specific phosphopeptide. Non-phospho specific antibodies were removed by chromatogramphy using non-phosphopeptide. |
| Appearance | Liquid |
| Formulation | Rabbit IgG in phosphate buffered saline (without Mg2+ and Ca2+), pH 7.4, 150mM NaCl, 0.02% sodium azide and 50% glycerol. |
| Research Background | This gene is a member of the GRB2-associated binding protein (GAB) gene family and is similar to the GAB1 gene. These proteins contain pleckstrin homology (PH) domain, and bind SHP2 tyrosine phosphatase and GRB2 adapter protein. They act as adapters for transmitting various signals in response to stimuli through cytokine and growth factor receptors, and T- and B-cell antigen receptors. The protein encoded by this gene is the principal activator of phosphatidylinositol-3 kinase in response to activation of the high affinity IgE receptor. Two alternatively spliced transcripts encoding different isoforms have been described for this gene. |
| Conjucates | Unconjugated |
| Others Formats | Phospho |
| Immunogen | Peptide sequence around phosphorylation site of Serine 623(P-S-S(p)-P-S) derived from Human Gab2 |
| Antigen Species | human |
| Uniprot ID |
| Molecular Weight | Actual: 80 kDa. |
| Stability & Storage | Store at -20°C or -80°C for 12 months. Avoid repeated freeze-thaw cycles. |
| Transport | Shipping with blue ice. |
| Size | Quantity | Unit Price | Amount | Operation |
|---|

Copyright © 2015-2026 TargetMol Chemicals Inc. All Rights Reserved.