Shopping Cart
Remove All
Your shopping cart is currently empty
Anti-Phospho-G3BP1 (Ser232) Polyclonal Antibody is a Rabbit antibody targeting Phospho-G3BP1 (Ser232). Anti-Phospho-G3BP1 (Ser232) Polyclonal Antibody can be used in IF,IHC,WB.
| Pack Size | Price | USA Warehouse | Global Warehouse | Quantity |
|---|---|---|---|---|
| 50 μL | $217 | 7-10 days | 7-10 days | |
| 100 μL | $317 | 7-10 days | 7-10 days |
| Description | Anti-Phospho-G3BP1 (Ser232) Polyclonal Antibody is a Rabbit antibody targeting Phospho-G3BP1 (Ser232). Anti-Phospho-G3BP1 (Ser232) Polyclonal Antibody can be used in IF,IHC,WB. |
| Synonyms | p-G3BP1 (Ser232), p-G3BP1 (S232), G3BP1 (p-Ser232), G3BP1 (p-S232) |
| Ig Type | IgG |
| Reactivity | Human |
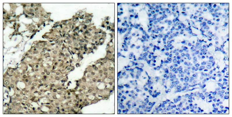
| Verified Activity | 1. Western blot analysis of extracts from 293 cells untreated or treated with starvation using G3BP-1 (Phospho-Ser232) Antibody TMAC-01579. 2. Immunohistochemical analysis of paraffin-embedded human breast carcinoma tissue using G3BP-1 (Phospho-Ser232) Antibody TMAC-01579(left) or the same antibody preincubated with blocking peptide (right). 3. Immunofluorescence staining of methanol-fixed Hela cells using G3BP-1 (Phospho-Ser232) Antibody TMAC-01579. ![]() ![]() ![]() |
| Application | |
| Antibody Type | Polyclonal |
| Host Species | Rabbit |
| Construction | Polyclonal Antibody |
| Purification | Antibodies were produced by immunizing rabbits with synthetic phosphopeptide and KLH conjugates. Antibodies were purified by affinity-chromatography using epitope-specific phosphopeptide. Non-phospho specific antibodies were removed by chromatogramphy using non-phosphopeptide. |
| Appearance | Liquid |
| Formulation | Supplied at 1.0mg/mL in phosphate buffered saline (without Mg2+ and Ca2+), pH 7.4, 150mM NaCl, 0.02% sodium azide and 50% glycerol. |
| Research Background | May be a regulated effector of stress granule assembly. Phosphorylation-dependent sequence-specific endoribonuclease in vitro. Cleaves exclusively between cytosine and adenine and cleaves MYC mRNA preferentially at the 3'-UTR. ATP- and magnesium-dependent helicase. Unwinds preferentially partial DNA and RNA duplexes having a 17 bp annealed portion and either a hanging 3' tail or hanging tails at both 5'- and 3'-ends. Unwinds DNA/DNA, RNA/DNA, and RNA/RNA substrates with comparable efficiency. Acts unidirectionally by moving in the 5' to 3' direction along the bound single-stranded DNA. |
| Conjucates | Unconjugated |
| Others Formats | Phospho |
| Immunogen | Peptide sequence around phosphorylation site of serine 232 (S-S-S(p)-P-A) derived from Human G3BP-1 |
| Antigen Species | human |
| Uniprot ID |
| Stability & Storage | Store at 2°C-8°C for 1 month. Store at -20°C or -80°C for 12 months. Avoid repeated freeze-thaw cycles. |
| Transport | Shipping with blue ice. |
| Size | Quantity | Unit Price | Amount | Operation |
|---|

Copyright © 2015-2026 TargetMol Chemicals Inc. All Rights Reserved.