Shopping Cart
Remove All
Your shopping cart is currently empty
Anti-Phospho-FOXO3a (Ser253) Polyclonal Antibody is a Rabbit antibody targeting Phospho-FOXO3a (Ser253). Anti-Phospho-FOXO3a (Ser253) Polyclonal Antibody can be used in FCM, IF, IHC-Fr, IHC-P.
| Pack Size | Price | USA Warehouse | Global Warehouse | Quantity |
|---|---|---|---|---|
| 50 μL | $222 | 7-10 days | 7-10 days | |
| 100 μL | $374 | 7-10 days | 7-10 days | |
| 200 μL | $528 | 7-10 days | 7-10 days |
| Description | Anti-Phospho-FOXO3a (Ser253) Polyclonal Antibody is a Rabbit antibody targeting Phospho-FOXO3a (Ser253). Anti-Phospho-FOXO3a (Ser253) Polyclonal Antibody can be used in FCM, IF, IHC-Fr, IHC-P. |
| Synonyms | p-FOXO3a (Ser253), p-FOXO3a (S253), MGC31925, MGC12739, FOXO3a (p-Ser253), FOXO3a (p-S253), FOXO3, FOXO2, FOX O3A, Forkhead(Drosophila) homolog(rhabdomyosarcoma) like 1, Forkhead in rhabdomyosarcoma like 1, Forkhead Drosophila homolog of in rhabdomyosarcoma like 1, Forkhead box protein O3A, Forkhead box O3A, FKHRL1P2, FKHRL1, FKHRL 1, FKHR2, DKFZp781A0677, AF6q21 |
| Ig Type | IgG |
| Reactivity | Human,Rat (predicted:Mouse,Chicken,Dog,Pig,Cow,Horse,Sheep) |
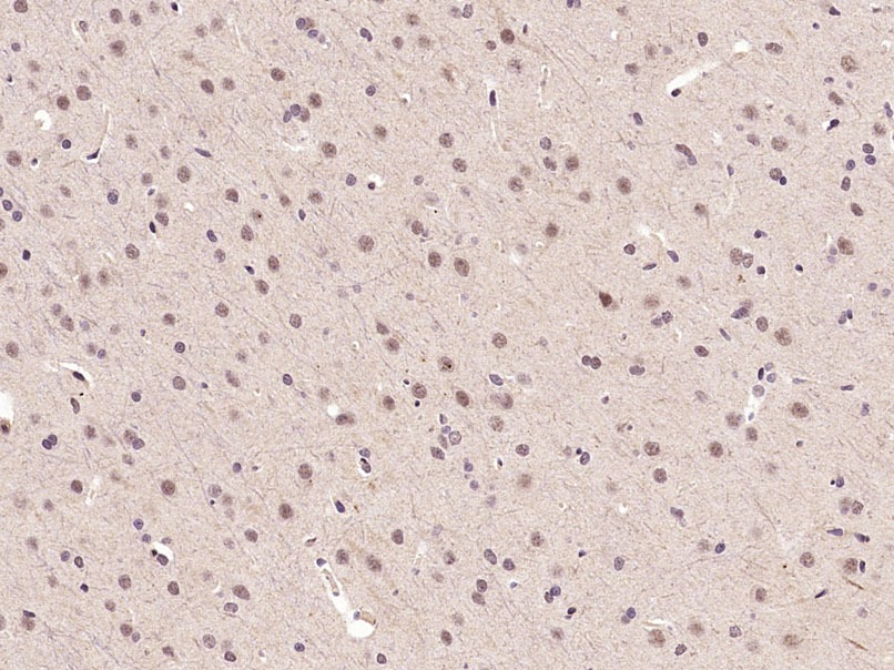
| Verified Activity | 1. Paraformaldehyde-fixed, paraffin embedded (Rat brain); Antigen retrieval by microwave in sodium citrate buffer (pH6.0); Block endogenous peroxidase by 3% hydrogen peroxide for 30 minutes; Blocking buffer (3% BSA) at RT for 30 min; Antibody incubation with (Phospho-FoxO3a (Ser253)) Polyclonal Antibody, Unconjugated (TMAB-01414) at 1:400 overnight at 4°C, followed by conjugation to the secondary antibody (labeled with HRP) and DAB staining. 2. Blank control: THP-1. Primary Antibody (green line): Rabbit Anti-Phospho-FoxO3a (Ser253) antibody (TMAB-01414) Dilution: 1 μg/10^6 cells; Isotype Control Antibody (orange line): Rabbit IgG. Secondary Antibody: Goat anti-rabbit IgG-FITC Dilution: 0.5 μg/test. Protocol The cells were fixed with 4% PFA (10 min at room temperature) and then permeabilized with 90% ice-cold methanol for 20 min at-20°C. The cells were then incubated in 5% BSA to block non-specific protein-protein interactions for 30 min at room temperature. Cells stained with Primary Antibody for 30 min at room temperature. The secondary antibody used for 40 min at room temperature. ![]() ![]() |
| Application | |
| Recommended Dose | IHC-P: 1:100-500; IHC-Fr: 1:100-500; IF: 1:100-500; FCM: 1ug/Test |
| Antibody Type | Polyclonal |
| Host Species | Rabbit |
| Subcellular Localization | Cytoplasm, cytosol. Nucleus. Note=Translocates to the nucleus upon oxidative stress and in the absence of survival factors. Tissue Specificity : Ubiquitous. |
| Tissue Specificity | Ubiquitous. |
| Construction | Polyclonal Antibody |
| Purification | Protein A purified |
| Appearance | Liquid |
| Formulation | 0.01M TBS (pH7.4) with 1% BSA, 0.02% Proclin300 and 50% Glycerol. |
| Concentration | 1 mg/mL |
| Research Background | This gene belongs to the forkhead family of transcription factors which are characterized by a distinct forkhead domain. This gene likely functions as a trigger for apoptosis through expression of genes necessary for cell death. Translocation of this gene with the MLL gene is associated with secondary acute leukemia. Alternatively spliced transcript variants encoding the same protein have been observed. [provided by RefSeq, Jul 2008] |
| Immunogen | KLH conjugated Synthesised phosphopeptide: human FoxO3a around the phosphorylation site of Ser253 |
| Antigen Species | Human |
| Gene Name | FOXO3 |
| Gene ID | |
| Protein Name | Forkhead box protein O3 |
| Uniprot ID | |
| Biology Area | Forkhead Box,FOXO |
| Function | Transcriptional activator which triggers apoptosis in the absence of survival factors, including neuronal cell death upon oxidative stress. Recognizes and binds to the DNA sequence 5'-[AG]TAAA[TC]A-3'. Participates in post-transcriptional regulation of MYC: following phosphorylation by MAPKAPK5, promotes induction of miR-34b and miR-34c expression, 2 post-transcriptional regulators of MYC that bind to the 3'UTR of MYC transcript and prevent its translation. |
| Molecular Weight | Theoretical: 71 kDa. |
| Stability & Storage | Store at -20°C or -80°C for 12 months. Avoid repeated freeze-thaw cycles. |
| Transport | Shipping with blue ice. |
| Size | Quantity | Unit Price | Amount | Operation |
|---|

Copyright © 2015-2026 TargetMol Chemicals Inc. All Rights Reserved.