Shopping Cart
Remove All
Your shopping cart is currently empty
Anti-Phospho-FOXO3 (Ser253) Antibody (7U72) is a Rabbit antibody targeting Phospho-FOXO3 (Ser253). Anti-Phospho-FOXO3 (Ser253) Antibody (7U72) can be used in IHC,WB.
| Pack Size | Price | USA Warehouse | Global Warehouse | Quantity |
|---|---|---|---|---|
| 50 μL | $298 | 7-10 days | 7-10 days | |
| 100 μL | $496 | 7-10 days | 7-10 days |
| Description | Anti-Phospho-FOXO3 (Ser253) Antibody (7U72) is a Rabbit antibody targeting Phospho-FOXO3 (Ser253). Anti-Phospho-FOXO3 (Ser253) Antibody (7U72) can be used in IHC,WB. |
| Synonyms | p-FOXO3 (Ser253), p-FOXO3 (S253), FOXO3 (p-Ser253), FOXO3 (p-S253) |
| Ig Type | IgG |
| Clone | 7U72 |
| Reactivity | Human,Mouse,Rat |
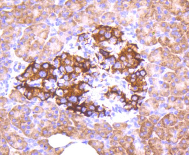
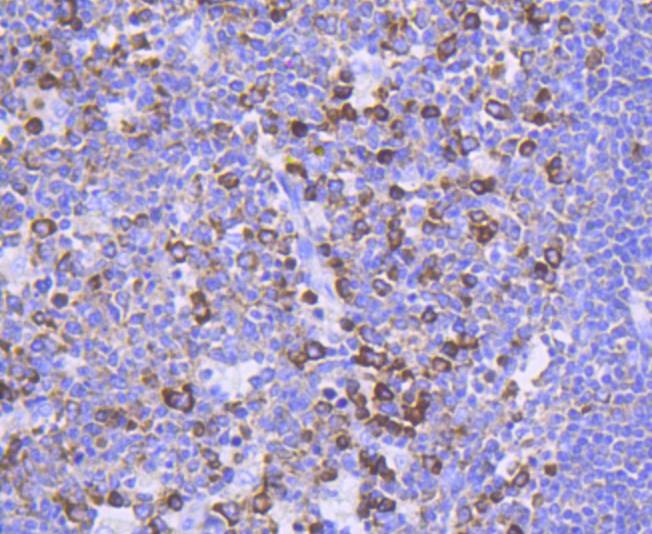
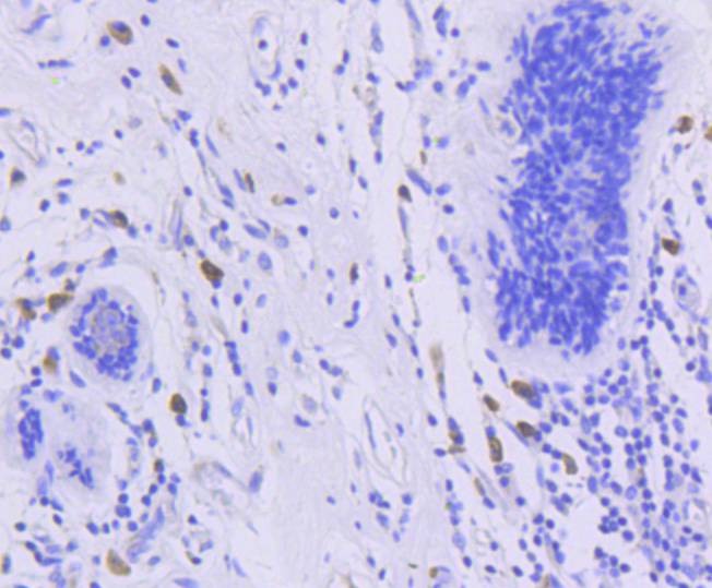
| Verified Activity | 1. Western blot analysis of Phospho-FOXO3a (S253) on different lysates using anti-Phospho-FOXO3a (S253) antibody at 1/1,000 dilution. Positive control: Lane 1: Hela, Lane 2: PC12. 2. Immunohistochemical analysis of paraffin-embedded human tonsil tissue using anti-Phospho-FOXO3a (S253) antibody. Counter stained with hematoxylin. 3. Immunohistochemical analysis of paraffin-embedded human breast carcinoma tissue using anti-Phospho-FOXO3a (S253) antibody. Counter stained with hematoxylin. 4. Immunohistochemical analysis of paraffin-embedded human pancreas tissue using anti-Phospho-FOXO3a (S253) antibody. Counter stained with hematoxylin. 5. Immunohistochemical analysis of paraffin-embedded mouse pancreas tissue using anti-Phospho-FOXO3a (S253) antibody. Counter stained with hematoxylin. ![]() ![]() ![]() ![]() ![]() |
| Application | |
| Recommended Dose | WB: 1:1000-5000; IHC: 1:50-200 |
| Antibody Type | Monoclonal |
| Host Species | Rabbit |
| Construction | Recombinant Antibody |
| Purification | ProA affinity purified |
| Appearance | Liquid |
| Formulation | 1*TBS (pH7.4), 1%BSA, 40%Glycerol. Preservative: 0.05% Sodium Azide. |
| Research Background | FKHRL1 (for forkhead in rhabdomyosarcoma) is a member of the FKHR subfamily of forkhead transcription factors. Transcriptional activation of FKHR proteins is regulated by the serine/threonine kinase Akt1, which phosphorylates FKHRL1 at threonine-32 and serine-253. Phosphorylation by Akt1 negatively regulates FKHRL1 by promoting its export from the nucleus. Phosphorylated FKHRL1 associates with 14-3-3 proteins and this complex is retained in the cytoplasm. Growth factor withdrawal stimulates FKHRL1 dephosphorylation and nuclear translocation, leading to FKHR-induced gene-specific transcriptional activation. Within the nucleus, dephospho-rylated FKHRL1 triggers apoptosis by inducing the expression of genes that are critical for cell death. |
| Conjucates | Unconjugated |
| Others Formats | Phospho |
| Immunogen | A synthesized phosphopeptide: human FOXO3a around the phosphorylation site of Ser253 |
| Antigen Species | human |
| Uniprot ID |
| Molecular Weight | Theoretical: 71 kDa. |
| Stability & Storage | Store at -20°C or -80°C for 12 months. Avoid repeated freeze-thaw cycles. |
| Transport | Shipping with blue ice. |
| Size | Quantity | Unit Price | Amount | Operation |
|---|

Copyright © 2015-2026 TargetMol Chemicals Inc. All Rights Reserved.