Shopping Cart
Remove All
Your shopping cart is currently empty
Anti-Phospho-FOXO1 (Ser256) Polyclonal Antibody is a Rabbit antibody targeting Phospho-FOXO1 (Ser256). Anti-Phospho-FOXO1 (Ser256) Polyclonal Antibody can be used in ELISA,FCM,IF,IHC-Fr,IHC-P.
| Pack Size | Price | USA Warehouse | Global Warehouse | Quantity |
|---|---|---|---|---|
| 50 μL | $221 | 7-10 days | 7-10 days | |
| 100 μL | $373 | 7-10 days | 7-10 days | |
| 200 μL | $528 | 7-10 days | 7-10 days |
| Description | Anti-Phospho-FOXO1 (Ser256) Polyclonal Antibody is a Rabbit antibody targeting Phospho-FOXO1 (Ser256). Anti-Phospho-FOXO1 (Ser256) Polyclonal Antibody can be used in ELISA,FCM,IF,IHC-Fr,IHC-P. |
| Synonyms | p-FOXO1 (Ser256), p-FOXO1 (S256), FOXO1A, Foxo1a, FOXO1 (p-Ser256), FOXO1 (p-S256), Forkhead, Drosophila, homolog of, in rhabdomyosarcoma, Forkhead(Drosophila) homolog 1(rhabdomyosarcoma), Forkhead in rhabdomyosarcoma, Forkhead box protein O1A, Forkhead box protein O1, Forkhead box O1, Forkhead, Fkhr1, FKHR, FKH1, FKH 1, AI876417, Afxh |
| Ig Type | IgG |
| Reactivity | Human,Mouse,Rat,Rabbit (predicted:Chicken,Dog,Pig,Cow,Horse) |
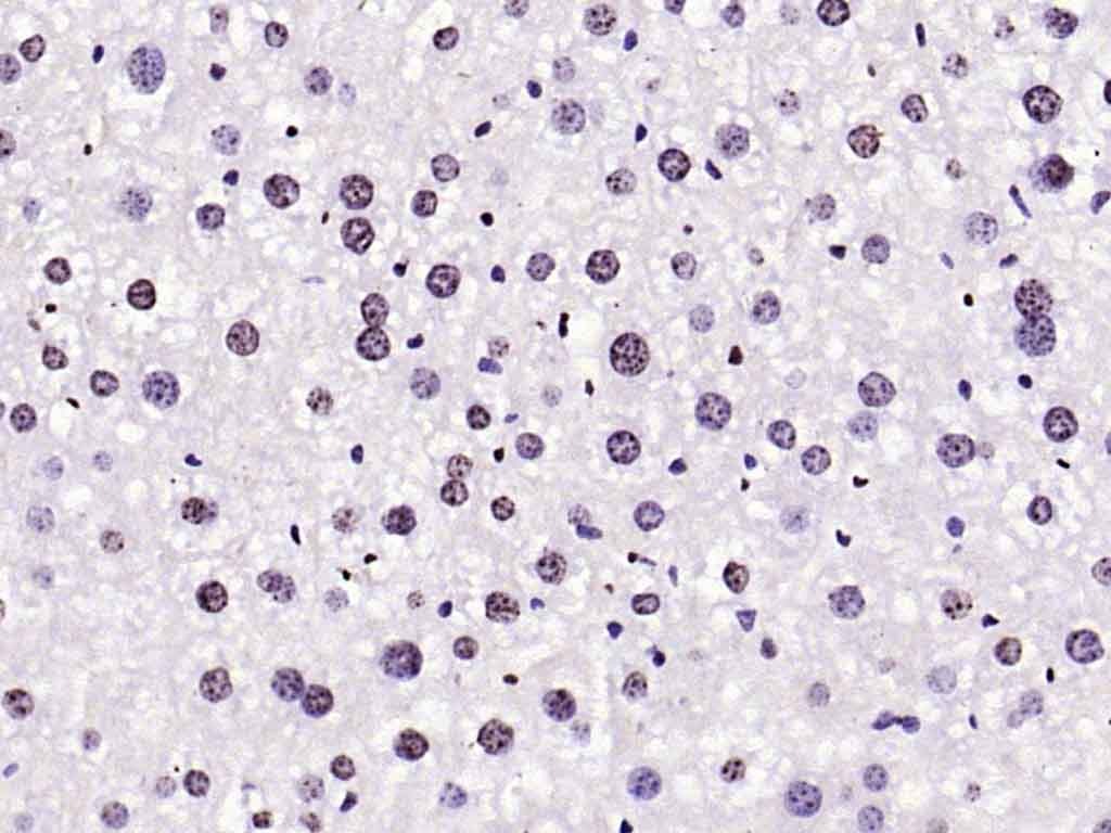
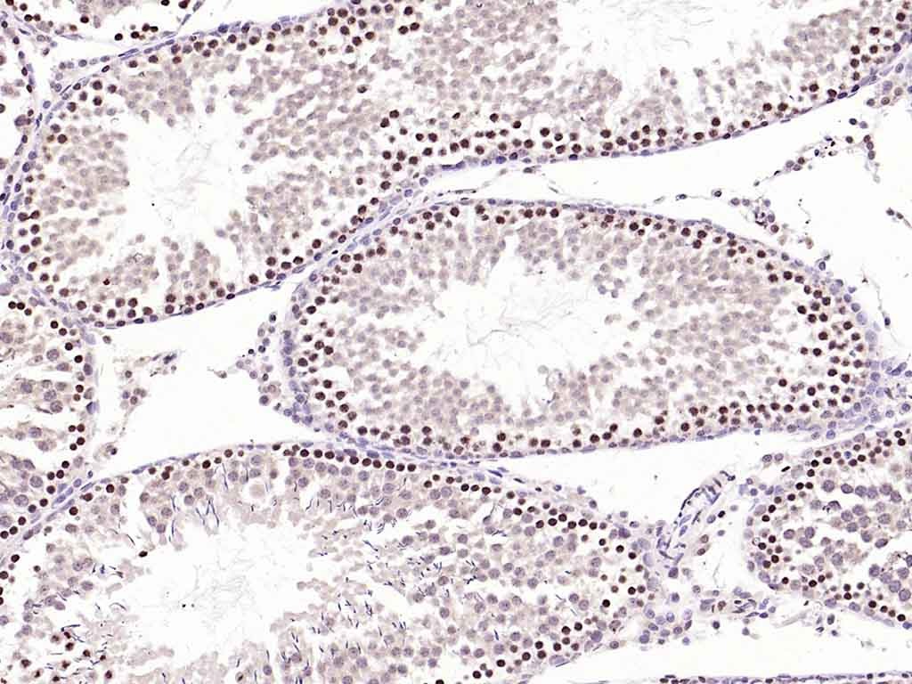
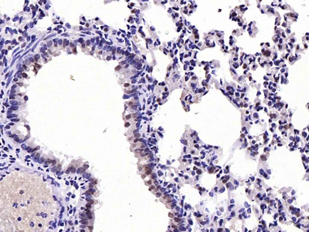
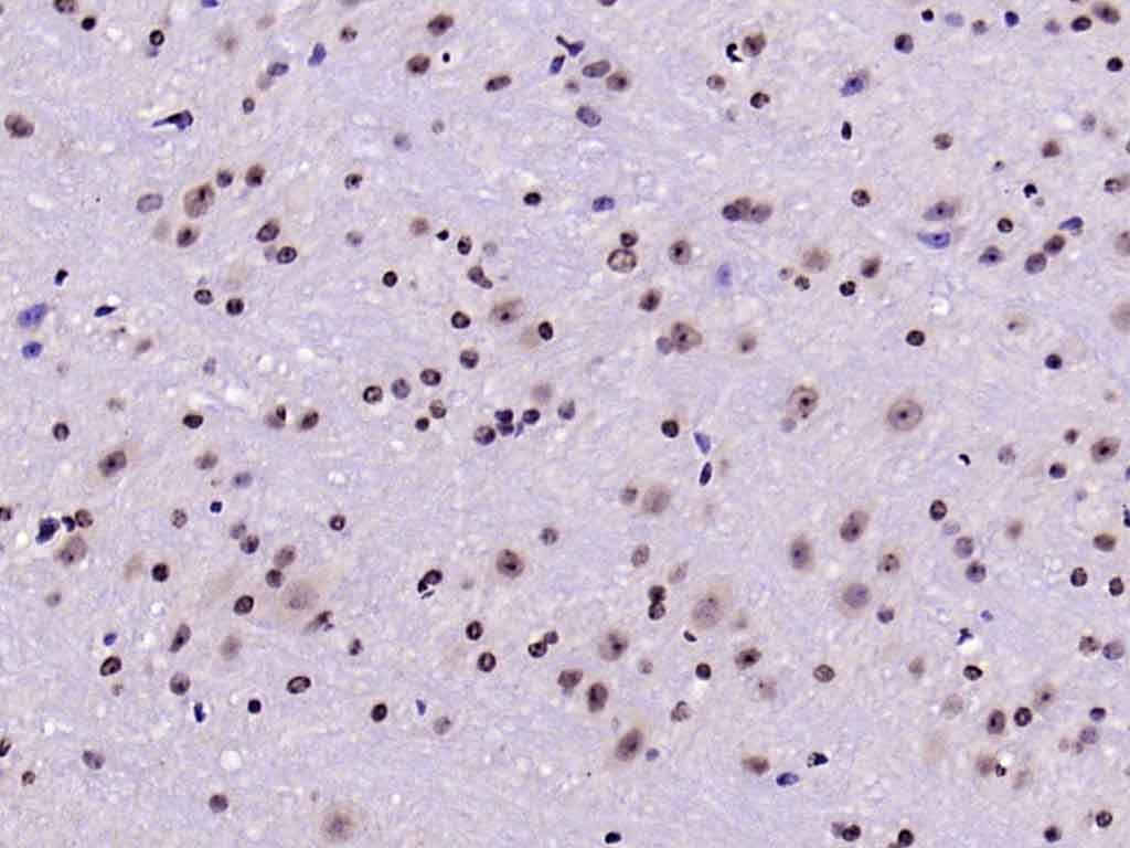
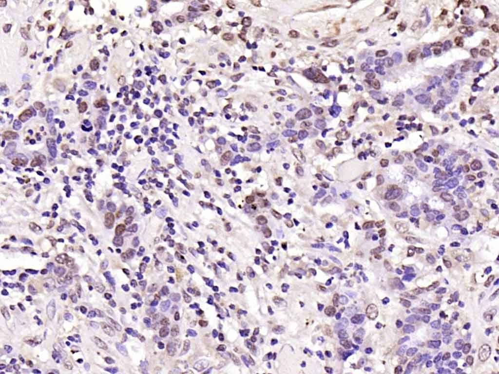
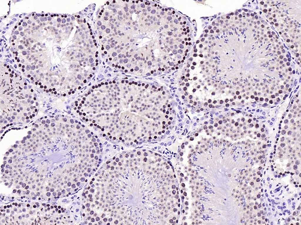
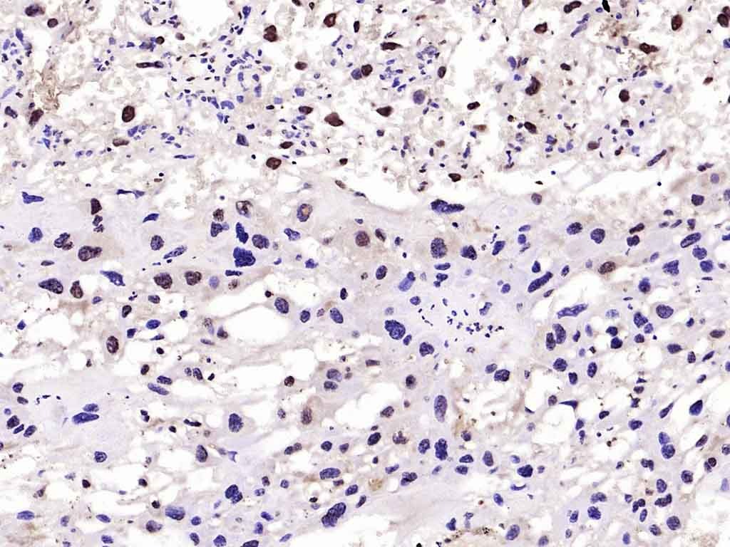
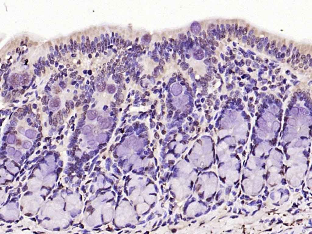
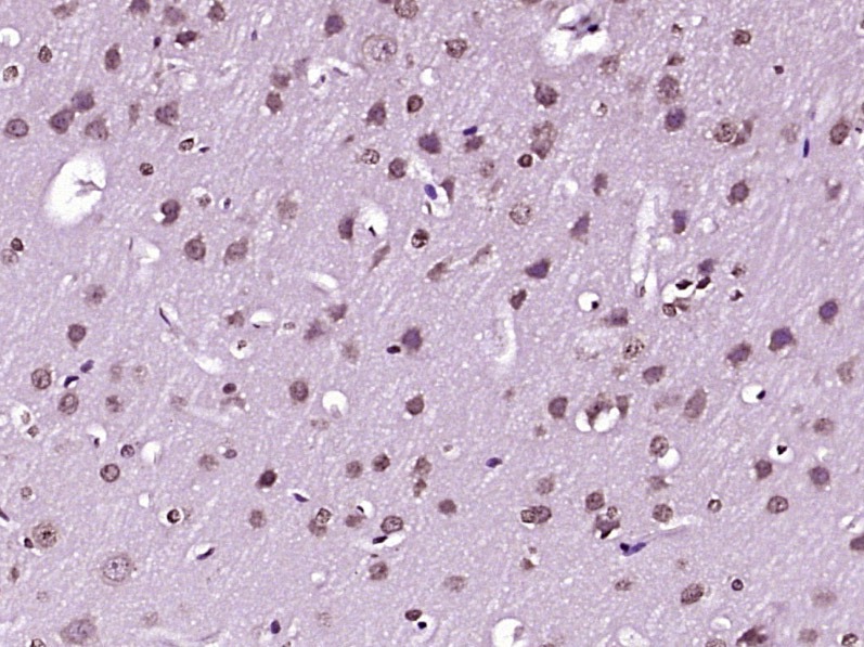
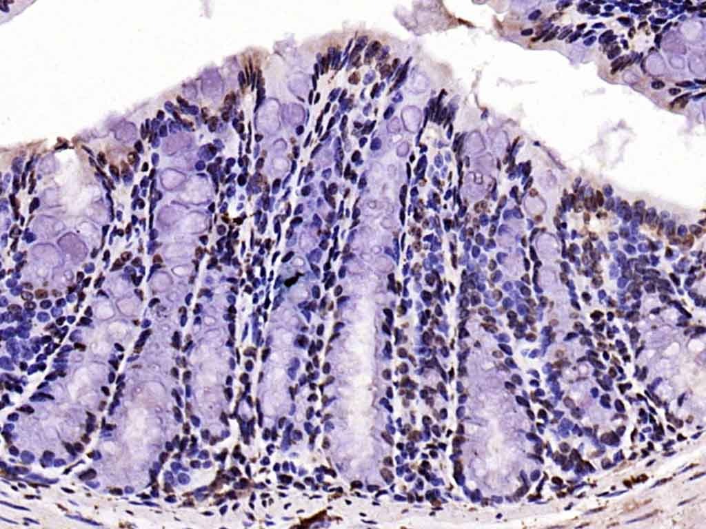
| Verified Activity | 1. phosphopeptide non phosphopeptide 2. Blank control (blue): Hela (fixed with 2% paraformaldehyde (10 min) and then permeabilized with ice-cold 90% methanol for 30 min on ice). Primary Antibody: Rabbit Anti-Phospho-FoxO1 (Ser256)/FITC antibody (TMAB-01412-FITC), Dilution: 1 μg in 100 μL 1X PBS containing 0.5% BSA; Isotype Control Antibody: Rabbit IgG/FITC (orange),used under the same conditions. 3. Black line: Positive blank control (Hela); Negative blank control (Molt4) Green line: Primary Antibody (Rabbit Anti-Phospho-FoxO1 (Ser256) antibody (TMAB-01412)) Orange line: Isotype Control Antibody (Rabbit IgG). Blue line: Secondary Antibody (Goat anti-rabbit IgG-AF488) Hela (Positive) and Molt4 (Negative control) cells (black) were fixed with 4% PFA for 10 min at room temperature, permeabilized with 90% ice-cold methanol for 20 min at-20°C, and incubated in 5% BSA blocking buffer for 30 min at room temperature. Cells were then stained with Phospho-FoxO1 (Ser256) Antibody (TMAB-01412) at 1:50 dilution in blocking buffer and incubated for 30 min at room temperature, washed twice with 2% BSA in PBS, followed by secondary antibody (blue) incubation for 40 min at room temperature. Acquisitions of 20,000 events were performed. Cells stained with primary antibody (green), and isotype control (orange). 4. Paraformaldehyde-fixed, paraffin embedded (rat lung); Antigen retrieval by boiling in sodium citrate buffer (pH6.0) for 15 min; Block endogenous peroxidase by 3% hydrogen peroxide for 20 min; Blocking buffer (normal goat serum) at 37°C for 30 min; Antibody incubation with (Phospho-FoxO1 (Ser256)) Polyclonal Antibody, Unconjugated (TMAB-01412) at 1:200 overnight at 4°C, followed by operating according to SP Kit (Rabbit) instructionsand DAB staining. 5. Paraformaldehyde-fixed, paraffin embedded (human gastric carcinoma); Antigen retrieval by boiling in sodium citrate buffer (pH6.0) for 15 min; Block endogenous peroxidase by 3% hydrogen peroxide for 20 min; Blocking buffer (normal goat serum) at 37°C for 30 min; Antibody incubation with (Phospho-FoxO1 (Ser256)) Polyclonal Antibody, Unconjugated (TMAB-01412) at 1:200 overnight at 4°C, followed by operating according to SP Kit (Rabbit) instructionsand DAB staining. 6. Paraformaldehyde-fixed, paraffin embedded (rat testis); Antigen retrieval by boiling in sodium citrate buffer (pH6.0) for 15 min; Block endogenous peroxidase by 3% hydrogen peroxide for 20 min; Blocking buffer (normal goat serum) at 37°C for 30 min; Antibody incubation with (Phospho-FoxO1 (Ser256)) Polyclonal Antibody, Unconjugated (TMAB-01412) at 1:200 overnight at 4°C, followed by operating according to SP Kit (Rabbit) instructionsand DAB staining. 7. Paraformaldehyde-fixed, paraffin embedded (mouse testis); Antigen retrieval by boiling in sodium citrate buffer (pH6.0) for 15 min; Block endogenous peroxidase by 3% hydrogen peroxide for 20 min; Blocking buffer (normal goat serum) at 37°C for 30 min; Antibody incubation with (Phospho-FoxO1 (Ser256)) Polyclonal Antibody, Unconjugated (TMAB-01412) at 1:200 overnight at 4°C, followed by operating according to SP Kit (Rabbit) instructionsand DAB staining. 8. Paraformaldehyde-fixed, paraffin embedded (mouse colon); Antigen retrieval by boiling in sodium citrate buffer (pH6.0) for 15 min; Block endogenous peroxidase by 3% hydrogen peroxide for 20 min; Blocking buffer (normal goat serum) at 37°C for 30 min; Antibody incubation with (Phospho-FoxO1 (Ser256)) Polyclonal Antibody, Unconjugated (TMAB-01412) at 1:200 overnight at 4°C, followed by operating according to SP Kit (Rabbit) instructionsand DAB staining. 9. Paraformaldehyde-fixed, paraffin embedded (rat colon); Antigen retrieval by boiling in sodium citrate buffer (pH6.0) for 15 min; Block endogenous peroxidase by 3% hydrogen peroxide for 20 min; Blocking buffer (normal goat serum) at 37°C for 30 min; Antibody incubation with (Phospho-FoxO1 (Ser256)) Polyclonal Antibody, Unconjugated (TMAB-01412) at 1:200 overnight at 4°C, followed by operating according to SP Kit (Rabbit) instructionsand DAB staining. 10. Paraformaldehyde-fixed, paraffin embedded (mouse liver); Antigen retrieval by boiling in sodium citrate buffer (pH6.0) for 15 min; Block endogenous peroxidase by 3% hydrogen peroxide for 20 min; Blocking buffer (normal goat serum) at 37°C for 30 min; Antibody incubation with (Phospho-FoxO1 (Ser256)) Polyclonal Antibody, Unconjugated (TMAB-01412) at 1:200 overnight at 4°C, followed by operating according to SP Kit (Rabbit) instructionsand DAB staining. 11. Paraformaldehyde-fixed, paraffin embedded (rat placenta); Antigen retrieval by boiling in sodium citrate buffer (pH6.0) for 15 min; Block endogenous peroxidase by 3% hydrogen peroxide for 20 min; Blocking buffer (normal goat serum) at 37°C for 30 min; Antibody incubation with (Phospho-FoxO1 (Ser256)) Polyclonal Antibody, Unconjugated (TMAB-01412) at 1:200 overnight at 4°C, followed by operating according to SP Kit (Rabbit) instructionsand DAB staining. 12. Paraformaldehyde-fixed, paraffin embedded (mouse brain); Antigen retrieval by boiling in sodium citrate buffer (pH6.0) for 15 min; Block endogenous peroxidase by 3% hydrogen peroxide for 20 min; Blocking buffer (normal goat serum) at 37°C for 30 min; Antibody incubation with (Phospho-FoxO1 (Ser256)) Polyclonal Antibody, Unconjugated (TMAB-01412) at 1:200 overnight at 4°C, followed by operating according to SP Kit (Rabbit) instructionsand DAB staining. 13. Blank control: HepG2. Primary Antibody (green line): Rabbit Anti-Phospho-FoxO1 (Ser256) antibody (TMAB-01412) Dilution: 1 μg/10^6 cells; Isotype Control Antibody (orange line): Rabbit IgG. Secondary Antibody: Goat anti-rabbit IgG-AF647 Dilution: 1 μg/test. Protocol The cells were fixed with 4% PFA (10 min at room temperature) and then permeabilized with 90% ice-cold methanol for 20 min at-20°C. The cells were then incubated in 5% BSA to block non-specific protein-protein interactions for 30 min at room temperature. Cells stained with Primary Antibody for 30 min at room temperature. The secondary antibody used for 40 min at room temperature. 14. Paraformaldehyde-fixed, paraffin embedded (Rat brain); Antigen retrieval by boiling in sodium citrate buffer (pH6.0) for 15 min; Block endogenous peroxidase by 3% hydrogen peroxide for 20 min; Blocking buffer (normal goat serum) at 37°C for 30 min; Antibody incubation with (Phospho-FoxO1 (Ser256)) Polyclonal Antibody, Unconjugated (TMAB-01412) at 1:400 overnight at 4°C, followed by operating according to SP Kit (Rabbit) instructions and DAB staining. ![]() ![]() ![]() ![]() ![]() ![]() ![]() ![]() ![]() ![]() ![]() ![]() ![]() ![]() |
| Application | |
| Recommended Dose | IHC-P: 1:100-500; IHC-Fr: 1:100-500; IF: 1:100-500; FCM: 1μg /Test; ELISA: 1:5000-10000 |
| Antibody Type | Polyclonal |
| Host Species | Rabbit |
| Subcellular Localization | Cytoplasm. Nucleus. Note=Shuttles between cytoplasm and nucleus. Translocates to the nucleus upon oxidative stress induced phosphorylation at Ser-212 by STK4/MST1. Translocates to the nucleus upon phosphorylation of Thr-24, Ser-256 and Ser-322 by SGK1. |
| Tissue Specificity | Ubiquitous. |
| Construction | Polyclonal Antibody |
| Purification | Protein A purified |
| Appearance | Liquid |
| Formulation | 0.01M TBS (pH7.4) with 1% BSA, 0.02% Proclin300 and 50% Glycerol. |
| Concentration | 1 mg/mL |
| Research Background | This gene belongs to the forkhead family of transcription factors which are characterized by a distinct forkhead domain. The specific function of this gene has not yet been determined; however, it may play a role in myogenic growth and differentiation. Translocation of this gene with PAX3 has been associated with alveolar rhabdomyosarcoma. [provided by RefSeq]. |
| Immunogen | KLH conjugated Synthesised phosphopeptide: human FOXO1 around the phosphorylation site of Ser256 |
| Antigen Species | Human |
| Gene Name | FOXO1 |
| Gene ID | |
| Protein Name | Forkhead box protein O1 |
| Uniprot ID | |
| Biology Area | Coactivators and repressors,Co-activators/co-repressors,FOXO,Obesity,Neurogenesis,Co-activators/co-repressors |
| Function | Transcription factor which acts as a regulator of cell responses to oxidative stress. In the presence of KIRT1, mediates down-regulation of cyclin D1 and up-regulation of CDKN1B levels which are required for cell transition from proliferative growth to quiescence. Triggers death of postmitotic neurons when phosphorylated by CDK1. Activates transcription of PMAIP1. |
| Molecular Weight | Theoretical: 72 kDa. |
| Stability & Storage | Store at -20°C or -80°C for 12 months. Avoid repeated freeze-thaw cycles. |
| Transport | Shipping with blue ice. |
| Size | Quantity | Unit Price | Amount | Operation |
|---|

Copyright © 2015-2026 TargetMol Chemicals Inc. All Rights Reserved.