Shopping Cart
Remove All
Your shopping cart is currently empty
Anti-Phospho-FKHR (Ser319) Polyclonal Antibody is a Rabbit antibody targeting Phospho-FKHR (Ser319). Anti-Phospho-FKHR (Ser319) Polyclonal Antibody can be used in IF,IHC,WB.
| Pack Size | Price | USA Warehouse | Global Warehouse | Quantity |
|---|---|---|---|---|
| 50 μL | $216 | 7-10 days | 7-10 days | |
| 100 μL | $318 | 7-10 days | 7-10 days |
| Description | Anti-Phospho-FKHR (Ser319) Polyclonal Antibody is a Rabbit antibody targeting Phospho-FKHR (Ser319). Anti-Phospho-FKHR (Ser319) Polyclonal Antibody can be used in IF,IHC,WB. |
| Synonyms | p-FKHR (Ser319), p-FKHR (S319), FKHR (p-Ser319), FKHR (p-S319) |
| Ig Type | IgG |
| Reactivity | Human,Mouse,Rat |
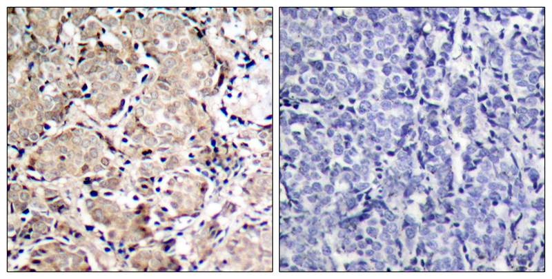
| Verified Activity | 1. Western blot analysis of extracts from 3T3 cells untreated or treated with serum starvation using FKHR (Phospho-Ser319) Antibody TMAC-01494. 2. Immunohistochemical analysis of paraffin-embedded human breast carcinoma tissue using FKHR (Phospho-Ser319) Antibody TMAC-01494 (left) or the same antibody preincubated with blocking peptide (right). 3. Immunofluorescence staining of methanol-fixed Hela cells using FKHR (Phospho-Ser319) Antibody TMAC-01494. ![]() ![]() ![]() |
| Application | |
| Recommended Dose | WB: 1:500-2000; IHC: 1:100-300; IF: 1:50-200 |
| Antibody Type | Polyclonal |
| Host Species | Rabbit |
| Construction | Polyclonal Antibody |
| Purification | The antibody was affinity-purified from rabbit antiserum by affinity-chromatography using epitope-specific immunogen. |
| Appearance | Liquid |
| Formulation | Liquid in PBS containing 50% glycerol, 0.5% BSA and 0.02% sodium azide. |
| Research Background | FKHR belongs to the forkhead family of transcription factors, which are characterized by a distinct forkhead domain. It may play a role in myogenic growth and differentiation. The mammalian DAF-16-like transcription factors, FKHR, FKHRL1, and AFX, function as key regulators of insulin signaling, cell cycle progression, and apoptosis downstream of phosphoinositide 3-kinase. Gene activation through binding to insulin response sequences has been essential for mediating these functions. D-type Cyclins (in Class III) is required for FKHR mediated inhibition of cell cycle progression and transformation. FKHR gene is mapped to chromosome 13q14 |
| Conjucates | Unconjugated |
| Others Formats | Phospho |
| Immunogen | A synthesized phosphopeptide: human FKHR around the phosphorylation site of Ser319 |
| Antigen Species | human |
| Uniprot ID |
| Stability & Storage | Store at 2°C-8°C for 1 month. Store at -20°C or -80°C for 12 months. Avoid repeated freeze-thaw cycles. |
| Transport | Shipping with blue ice. |
| Size | Quantity | Unit Price | Amount | Operation |
|---|

Copyright © 2015-2026 TargetMol Chemicals Inc. All Rights Reserved.