Shopping Cart
Remove All
Your shopping cart is currently empty
Anti-Phospho-FER (Tyr402) Polyclonal Antibody is a Rabbit antibody targeting Phospho-FER (Tyr402). Anti-Phospho-FER (Tyr402) Polyclonal Antibody can be used in IHC,WB.
| Pack Size | Price | USA Warehouse | Global Warehouse | Quantity |
|---|---|---|---|---|
| 50 μL | $216 | 7-10 days | 7-10 days | |
| 100 μL | $318 | 7-10 days | 7-10 days |
| Description | Anti-Phospho-FER (Tyr402) Polyclonal Antibody is a Rabbit antibody targeting Phospho-FER (Tyr402). Anti-Phospho-FER (Tyr402) Polyclonal Antibody can be used in IHC,WB. |
| Synonyms | p-FER (Y402), p-FER (Tyr402), FER (p-Y402), FER (p-Tyr402) |
| Ig Type | IgG |
| Reactivity | Human,Mouse |
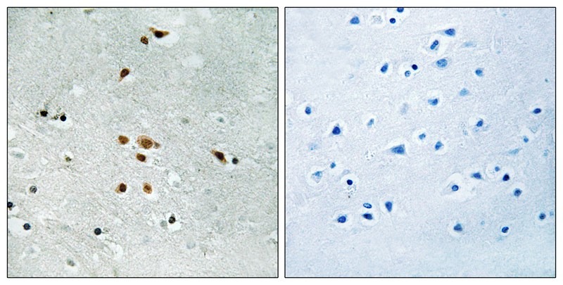
| Verified Activity | 1. Immunohistochemical analysis of paraffin-embedded human brain tissue using FER (Phospho-Tyr402) antibody TMAC-01454 (left)or the same antibody preincubated with blocking peptide (right). 2. Western blot analysis of extracts from JK cells (Lane 2) and COS7 cells (Lane 3), using FER (Phospho-Tyr402) Antibody TMAC-01454. The lane on the left is treated with antigen-specific peptide. ![]() ![]() |
| Application | |
| Recommended Dose | WB: 1:500-1000; IHC: 1:50-100 |
| Antibody Type | Polyclonal |
| Host Species | Rabbit |
| Construction | Polyclonal Antibody |
| Purification | Antibodies were produced by immunizing rabbits with synthetic phosphopeptide and KLH conjugates. Antibodies were purified by affinity-chromatography using epitope-specific phosphopeptide. Non-phospho specific antibodies were removed by chromatogramphy using non-phosphopeptide. |
| Appearance | Liquid |
| Formulation | Rabbit IgG in phosphate buffered saline (without Mg2+ and Ca2+), pH 7.4, 150mM NaCl, 0.02% sodium azide and 50% glycerol. |
| Research Background | Fer protein is a member of the FPS/FES family of nontransmembrane receptor tyrosine kinases. It regulates cell-cell adhesion and mediates signaling from the cell surface to the cytoskeleton via growth factor receptors. |
| Conjucates | Unconjugated |
| Others Formats | Phospho |
| Immunogen | Peptide sequence around phosphorylation site of tyrosine 402(V-N-Y(p)-E-E) derived from Human FER |
| Antigen Species | human |
| Uniprot ID |
| Molecular Weight | Actual: 85 kDa. |
| Stability & Storage | Store at -20°C or -80°C for 12 months. Avoid repeated freeze-thaw cycles. |
| Transport | Shipping with blue ice. |
| Size | Quantity | Unit Price | Amount | Operation |
|---|

Copyright © 2015-2026 TargetMol Chemicals Inc. All Rights Reserved.