Shopping Cart
Remove All
Your shopping cart is currently empty
Anti-Phospho-ETS1 (Thr38) Polyclonal Antibody is a Rabbit antibody targeting Phospho-ETS1 (Thr38). Anti-Phospho-ETS1 (Thr38) Polyclonal Antibody can be used in IF,IHC,WB.
| Pack Size | Price | USA Warehouse | Global Warehouse | Quantity |
|---|---|---|---|---|
| 50 μL | $216 | 7-10 days | 7-10 days | |
| 100 μL | $318 | 7-10 days | 7-10 days |
| Description | Anti-Phospho-ETS1 (Thr38) Polyclonal Antibody is a Rabbit antibody targeting Phospho-ETS1 (Thr38). Anti-Phospho-ETS1 (Thr38) Polyclonal Antibody can be used in IF,IHC,WB. |
| Synonyms | p-ETS1 (Thr38), p-ETS1 (T38), ETS1 (p-Thr38), ETS1 (p-T38) |
| Ig Type | IgG |
| Reactivity | Human,Mouse |
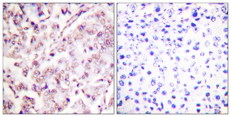
| Verified Activity | 1. Western blot analysis of extracts from HepG2 cells using ETS1 (Phospho-Thr38) Antibody TMAC-01400. The lane on the right is treated with the antigen-specific peptide. 2. Immunohistochemical analysis of paraffin-embedded human breast carcinoma tissue, using ETS1 (Phospho-Thr38) antibody TMAC-01400 (left) or the same antibody preincubated with blocking peptide (right). 3. Immunofluorescence staining of methanol-fixed HeLa cells using ETS1 (Phospho-Thr38) Antibody TMAC-01400. ![]() ![]() ![]() |
| Application | |
| Recommended Dose | WB: 1:500-1000; IHC: 1:50-100; IF: 1:100-200 |
| Antibody Type | Polyclonal |
| Host Species | Rabbit |
| Construction | Polyclonal Antibody |
| Purification | Antibodies were produced by immunizing rabbits with synthetic phosphopeptide and KLH conjugates. Antibodies were purified by affinity-chromatography using epitope-specific phosphopeptide. Non-phospho specific antibodies were removed by chromatogramphy using non-phosphopeptide. |
| Appearance | Liquid |
| Formulation | Rabbit IgG in phosphate buffered saline (without Mg2+ and Ca2+), pH 7.4, 150mM NaCl, 0.02% sodium azide and 50% glycerol. |
| Research Background | Transcription factor. Directly controls the expression of cytokine and chemokine genes in a wide variety of different cellular contexts. May control the differentiation, survival and proliferation of lymphoid cells. May also regulate angiogenesis through regulation of expression of genes controlling endothelial cell migration and invasion. |
| Conjucates | Unconjugated |
| Others Formats | Phospho |
| Immunogen | Peptide sequence around phosphorylation site of threonine 38(L-L-T(p)-P-S) derived from Human ETS1 |
| Antigen Species | human |
| Uniprot ID |
| Molecular Weight | Actual: 54 kDa. |
| Stability & Storage | Store at -20°C or -80°C for 12 months. Avoid repeated freeze-thaw cycles. |
| Transport | Shipping with blue ice. |
| Size | Quantity | Unit Price | Amount | Operation |
|---|

Copyright © 2015-2026 TargetMol Chemicals Inc. All Rights Reserved.