Shopping Cart
- Remove All
 Your shopping cart is currently empty Your shopping cart is currently empty
Anti-Phospho-ERK1/2 (Thr185) Antibody (1B497) is a Rabbit antibody targeting Phospho-ERK1/2 (Thr185). Anti-Phospho-ERK1/2 (Thr185) Antibody (1B497) can be used in FCM,ICC,IHC,WB.
| Pack Size | Price | Availability | Quantity | 
|---|---|---|---|
| 50 μL | $298 | 7-10 days | |
| 100 μL | $498 | 7-10 days | 
| Description | Anti-Phospho-ERK1/2 (Thr185) Antibody (1B497) is a Rabbit antibody targeting Phospho-ERK1/2 (Thr185). Anti-Phospho-ERK1/2 (Thr185) Antibody (1B497) can be used in FCM,ICC,IHC,WB. | 
| Synonyms | PRKM3, Phospho-ERK1/2 (T185), p-ERK1/2 (Thr185), p-ERK1/2 (T185), p44-MAPK, P44MAPK, p44-ERK1, P44ERK1, HUMKER1A, HS44KDAP, ERT2, ERK-2, Erk2, ERK1/2 (p-Thr185), ERK1/2 (p-T185), ERK-1, ERK1 | 
| Ig Type | IgG | 
| Clone | 1B497 | 
| Reactivity | Human | 
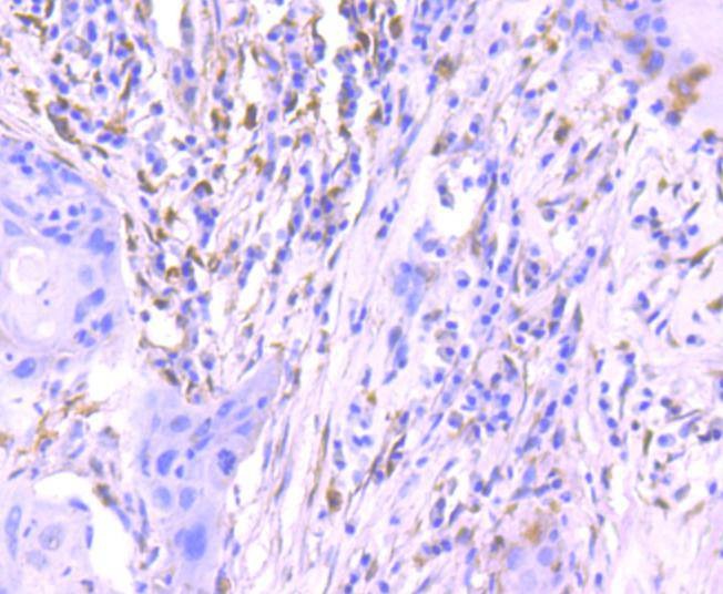
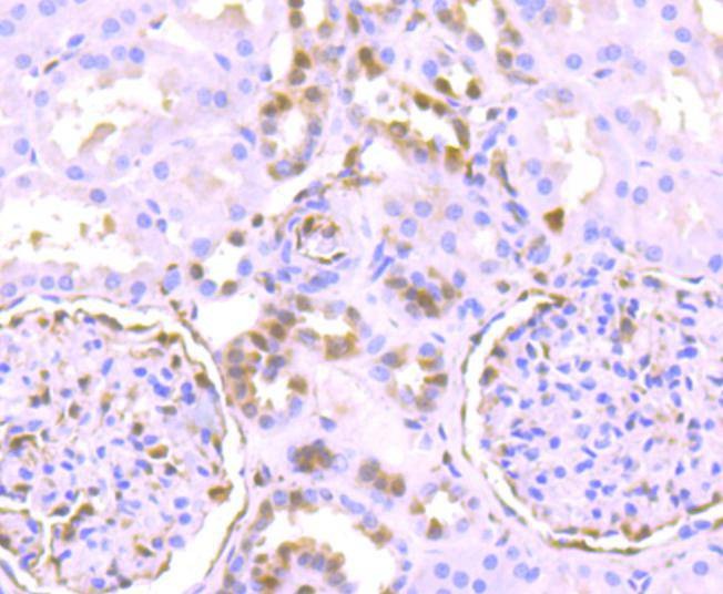
| Verified Activity | 1. Immunohistochemical analysis of paraffin-embedded human lung cancer tissue using anti-Phospho-Erk1 (T202)+Erk2 (T185) antibody. Counter stained with hematoxylin. 2. Immunohistochemical analysis of paraffin-embedded human kidney tissue using anti-Phospho-Erk1 (T202)+Erk2 (T185) antibody. Counter stained with hematoxylin. 3. ICC staining Phospho-Erk1 (T202)+Erk2 (T185) in A549 cells (green). The nuclear counter stain is DAPI (blue). Cells were fixed in paraformaldehyde, permeabilised with 0.25% Triton X100/PBS. 4. ICC staining Phospho-Erk1 (T202)+Erk2 (T185) in NIH/3T3 cells (green). The nuclear counter stain is DAPI (blue). Cells were fixed in paraformaldehyde, permeabilised with 0.25% Triton X100/PBS. 5. ICC staining Phospho-Erk1 (T202)+Erk2 (T185) in MCF-7 cells (green). The nuclear counter stain is DAPI (blue). Cells were fixed in paraformaldehyde, permeabilised with 0.25% Triton X100/PBS. 6. Flow cytometric analysis of MCF-7 cells with Phospho-Erk1 (T202)+Erk2 (T185) antibody at 1/50 dilution (red) compared with an unlabelled control (cells without incubation with primary antibody; black). Alexa Fluor 488-conjugated goat anti rabbit IgG was used as secondary antibody.       | 
| Application | |
| Recommended Dose | WB: 1:1000; IHC: 1:50-200; ICC: 1:100-500; FCM: 1:50-100 | 
| Antibody Type | Monoclonal | 
| Host Species | Rabbit | 
| Construction | Recombinant Antibody | 
| Purification | ProA affinity purified | 
| Appearance | Liquid | 
| Formulation | 1*TBS (pH7.4), 1%BSA, 40%Glycerol. Preservative: 0.05% Sodium Azide. | 
| Research Background | Mitogen-activated protein kinases (MAPKs) are a widely conserved family of serine/threonine protein kinases involved in many cellular programs, such as cell proliferation, differentiation, motility, and death. The p44/42 MAPK (Erk1/2) signaling pathway can be activated in response to a diverse range of extracellular stimuli including mitogens, growth factors, and cytokines, and research investigators consider it an important target in the diagnosis and treatment of cancer. Upon stimulation, a sequential three-part protein kinase cascade is initiated, consisting of a MAP kinase kinase kinase (MAPKKK or MAP3K), a MAP kinase kinase (MAPKK or MAP2K), and a MAP kinase (MAPK). Multiple p44/42 MAP3Ks have been identified, including members of the Raf family, as well as Mos and Tpl2/COT. MEK1 and MEK2 are the primary MAPKKs in this pathway. MEK1 and MEK2 activate p44 and p42 through phosphorylation of activation loop residues Thr202/Tyr204 and Thr185/Tyr187, respectively. Several downstream targets of p44/42 have been identified, including p90RSK and the transcription factor Elk-1. p44/42 are negatively regulated by a family of dual-specificity (Thr/Tyr) MAPK phosphatases, known as DUSPs or MKPs, along with MEK inhibitors, such as U0126 and PD98059. | 
| Conjucates | Unconjugated | 
| Others Formats | Phospho | 
| Immunogen | A synthesized phosphopeptide: human Erk2 around the phosphorylation site of Thr185 | 
| Antigen Species | human | 
| Uniprot ID | 
| Molecular Weight | Theoretical: 42/44 kDa. | 
| Stability & Storage | Store at -20°C or -80°C for 12 months. Avoid repeated freeze-thaw cycles. | 
| Transport | Shipping with blue ice. | 

Copyright © 2015-2025 TargetMol Chemicals Inc. All Rights Reserved.