Shopping Cart
Remove All
Your shopping cart is currently empty
Anti-Phospho-Ephrin B1/2/3 (Tyr324) Polyclonal Antibody is a Rabbit antibody targeting Phospho-Ephrin B1/2/3 (Tyr324). Anti-Phospho-Ephrin B1/2/3 (Tyr324) Polyclonal Antibody can be used in IHC,WB.
| Pack Size | Price | USA Warehouse | Global Warehouse | Quantity |
|---|---|---|---|---|
| 50 μL | $218 | 7-10 days | 7-10 days | |
| 100 μL | $316 | 7-10 days | 7-10 days |
| Description | Anti-Phospho-Ephrin B1/2/3 (Tyr324) Polyclonal Antibody is a Rabbit antibody targeting Phospho-Ephrin B1/2/3 (Tyr324). Anti-Phospho-Ephrin B1/2/3 (Tyr324) Polyclonal Antibody can be used in IHC,WB. |
| Synonyms | p-Ephrin B1/2/3 (Y324), p-Ephrin B1/2/3 (Tyr324), Ephrin B1/2/3 (p-Y324), Ephrin B1/2/3 (p-Tyr324) |
| Ig Type | IgG |
| Reactivity | Human |
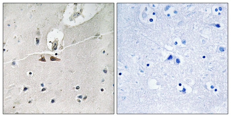
| Verified Activity | 1. Western blot analysis of extracts from K562 cells treated with serum using Ephrin B1/B2/B3 (Phospho-Tyr324) Antibody TMAC-01334. The lane on the right is treated with the antigen-specific peptide. 2. Immunohistochemical analysis of paraffin-embedded human brain tissue using Ephrin B1/B2/B3 (Phospho-Tyr324) antibody TMAC-01334 (left) or the same antibody preincubated with blocking peptide (right). ![]() ![]() |
| Application | |
| Recommended Dose | WB: 1:500-1000; IHC: 1:50-100 |
| Antibody Type | Polyclonal |
| Host Species | Rabbit |
| Construction | Polyclonal Antibody |
| Purification | Antibodies were produced by immunizing rabbits with synthetic phosphopeptide and KLH conjugates. Antibodies were purified by affinity-chromatography using epitope-specific phosphopeptide. Non-phospho specific antibodies were removed by chromatogramphy using non-phosphopeptide. |
| Appearance | Liquid |
| Formulation | Rabbit IgG in phosphate buffered saline (without Mg2+ and Ca2+), pH 7.4, 150mM NaCl, 0.02% sodium azide and 50% glycerol. |
| Research Background | This gene encodes a member of the ephrin family. The encoded protein is a type I membrane protein and a ligand of Eph-related receptor tyrosine kinases. It may play a role in cell adhesion and function in the development or maintenance of the nervous system. |
| Conjucates | Unconjugated |
| Others Formats | Phospho |
| Immunogen | Peptide sequence around phosphorylation site of tyrosine 324 (G-D-Y(p)-G-H) derived from Human Ephrin B1/B2/B3 |
| Antigen Species | human |
| Uniprot ID |
| Molecular Weight | Actual: 46 kDa. |
| Stability & Storage | Store at -20°C or -80°C for 12 months. Avoid repeated freeze-thaw cycles. |
| Transport | Shipping with blue ice. |
| Size | Quantity | Unit Price | Amount | Operation |
|---|

Copyright © 2015-2026 TargetMol Chemicals Inc. All Rights Reserved.