Shopping Cart
Remove All
Your shopping cart is currently empty
Anti-Phospho-ELK1 (Thr417) Polyclonal Antibody is a Rabbit antibody targeting Phospho-ELK1 (Thr417). Anti-Phospho-ELK1 (Thr417) Polyclonal Antibody can be used in IF,IHC.
| Pack Size | Price | USA Warehouse | Global Warehouse | Quantity |
|---|---|---|---|---|
| 50 μL | $216 | 7-10 days | 7-10 days | |
| 100 μL | $317 | 7-10 days | 7-10 days |
| Description | Anti-Phospho-ELK1 (Thr417) Polyclonal Antibody is a Rabbit antibody targeting Phospho-ELK1 (Thr417). Anti-Phospho-ELK1 (Thr417) Polyclonal Antibody can be used in IF,IHC. |
| Synonyms | p-ELK1 (Thr417), p-ELK1 (T417), ELK1 (p-Thr417), ELK1 (p-T417) |
| Ig Type | IgG |
| Reactivity | Human,Mouse,Rat |
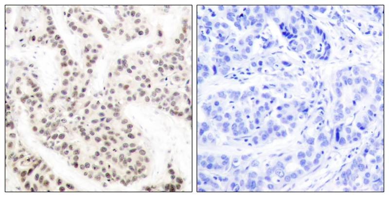
| Verified Activity | 1. Immunohistochemical analysis of paraffin-embedded human breast carcinoma tissue using Elk-1 (phospho-Thr417) antibody (TMAC-01286). 2. Immunofluorescence staining of methanol-fixed HeLa cells using Elk-1 (phospho-Thr417) antibody (TMAC-01286, Red). ![]() ![]() |
| Application | |
| Antibody Type | Polyclonal |
| Host Species | Rabbit |
| Construction | Polyclonal Antibody |
| Purification | Antibodies were produced by immunizing rabbits with synthetic phosphopeptide and KLH conjugates. Antibodies were purified by affinity-chromatography using epitope-specific phosphopeptide. Non-phospho specific antibodies were removed by chromatogramphy using non-phosphopeptide. |
| Appearance | Liquid |
| Formulation | Supplied at 1.0mg/mL in phosphate buffered saline (without Mg2+ and Ca2+), pH 7.4, 150mM NaCl, 0.02% sodium azide and 50% glycerol. |
| Research Background | Stimulates transcription. Binds to purine-rich DNA sequences. Can form a ternary complex with the serum response factor and the ETS and SRF motifs of the fos serum response element. Yang S.-H., Sharrocks A.D.EMBO J. 24:2161-2171(2005) Zhang L., Yang S.H., Sharrocks A.D.Mol. Cell. Biol. 27:2861-2869(2007) |
| Conjucates | Unconjugated |
| Others Formats | Phospho |
| Immunogen | Peptide sequence around phosphorylation site of threonine 417(L-S-T(p)-P-V) derived from Human Elk1 |
| Antigen Species | human |
| Uniprot ID |
| Stability & Storage | Store at -20°C or -80°C for 12 months. Avoid repeated freeze-thaw cycles. |
| Transport | Shipping with blue ice. |
| Size | Quantity | Unit Price | Amount | Operation |
|---|

Copyright © 2015-2026 TargetMol Chemicals Inc. All Rights Reserved.