Shopping Cart
Remove All
Your shopping cart is currently empty
Synonyms: Phospho-EIF4E (S209), p-EIF4E (Ser209), p-EIF4E (S209), mRNA cap binding protein, MGC111573, Messanger RNA Cap Binding Protein eIF 4E, IF4E_HUMAN, Eukaryotic translation initiation factor 4E like 1, Eukaryotic translation initiation factor 4E, Eukaryotic translation initiation factor 4 E, EIF4F, EIF4EL1, EIF4E1, EIF4E (p-Ser209), EIF4E (p-S209), eIF 4F 25 kDa subunit, EIF 4F, CBP, AUTS19
| Pack Size | Price | USA Stock | Global Stock | Quantity |
|---|---|---|---|---|
| 50 μL | $216 | 7-10 days | 7-10 days | |
| 100 μL | $316 | 7-10 days | 7-10 days |
| Description | Anti-Phospho-EIF4E (Ser209) Polyclonal Antibody is a Rabbit antibody targeting Phospho-EIF4E (Ser209). Anti-Phospho-EIF4E (Ser209) Polyclonal Antibody can be used in IF,IHC,WB. |
| Synonyms | Phospho-EIF4E (S209), p-EIF4E (Ser209), p-EIF4E (S209), mRNA cap binding protein, MGC111573, Messanger RNA Cap Binding Protein eIF 4E, IF4E_HUMAN, Eukaryotic translation initiation factor 4E like 1, Eukaryotic translation initiation factor 4E, Eukaryotic translation initiation factor 4 E, EIF4F, EIF4EL1, EIF4E1, EIF4E (p-Ser209), EIF4E (p-S209), eIF 4F 25 kDa subunit, EIF 4F, CBP, AUTS19 |
| Ig Type | IgG |
| Reactivity | Human |
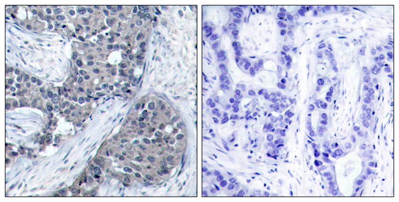
| Verified Activity | 1. Immunohistochemical analysis of paraffin-embedded human breast carcinoma tissue using eIF4E (Phospho-Ser209) Antibody TMAC-01275 (left) or the same antibody preincubated with blocking peptide (right). 2. Immunofluorescence staining of methanol-fixed MCF cells using eIF4E (Phospho-Ser209) Antibody TMAC-01275. 3. Western blot analysis of extracts from SK-BR-3 cells, untreated or insulin and EGF treated, and pretreated with U0126 cells, using eIF4E (Phospho-Ser209) Antibody TMAC-01275. |
| Application | |
| Antibody Type | Polyclonal |
| Host Species | Rabbit |
| Construction | Polyclonal Antibody |
| Purification | Antibodies were produced by immunizing rabbits with synthetic phosphopeptide and KLH conjugates. Antibodies were purified by affinity-chromatography using epitope-specific phosphopeptide. Non-phospho specific antibodies were removed by chromatogramphy using non-phosphopeptide. |
| Appearance | Liquid |
| Formulation | Supplied at 1.0mg/mL in phosphate buffered saline (without Mg2+ and Ca2+), pH 7.4, 150mM NaCl, 0.02% sodium azide and 50% glycerol. |
| Research Background | Recognizes and binds the 7-methylguanosine-containing mRNA cap during an early step in the initiation of protein synthesis and facilitates ribosome binding by inducing the unwinding of the mRNAs secondary structures. |
| Conjucates | Unconjugated |
| Others Formats | Phospho |
| Immunogen | Peptide sequence around phosphorylation site of serine 209 (S-G-S(p)-T-T) derived from Human eIF4E |
| Antigen Species | human |
| Uniprot ID |
| Stability & Storage | Store at 2°C-8°C for 1 month. Store at -20°C or -80°C for 12 months. Avoid repeated freeze-thaw cycles. |
| Transport | Shipping with blue ice. |
| Size | Quantity | Unit Price | Amount | Operation |
|---|

Copyright © 2015-2026 TargetMol Chemicals Inc. All Rights Reserved.