Shopping Cart
Remove All
Your shopping cart is currently empty
Anti-Phospho-EIF2S1 (Ser49) Polyclonal Antibody is a Rabbit antibody targeting Phospho-EIF2S1 (Ser49). Anti-Phospho-EIF2S1 (Ser49) Polyclonal Antibody can be used in IF,IHC,WB.
| Pack Size | Price | USA Warehouse | Global Warehouse | Quantity |
|---|---|---|---|---|
| 50 μL | $216 | 7-10 days | 7-10 days | |
| 100 μL | $316 | 7-10 days | 7-10 days |
| Description | Anti-Phospho-EIF2S1 (Ser49) Polyclonal Antibody is a Rabbit antibody targeting Phospho-EIF2S1 (Ser49). Anti-Phospho-EIF2S1 (Ser49) Polyclonal Antibody can be used in IF,IHC,WB. |
| Synonyms | Phospho-EIF2S1 (S49), p-EIF2S1 (Ser49), p-EIF2S1 (S49), IF2A_HUMAN, Eukaryotic translation initiation factor 2 subunit 1 alpha 35kDa, EIF2S1 (p-Ser49), EIF2S1 (p-S49), EIF2A, EIF2 alpha, EIF2, EIF 2alpha, EIF 2A, EIF 2 alpha, EIF 2 |
| Ig Type | IgG |
| Reactivity | Human,Mouse,Rat |
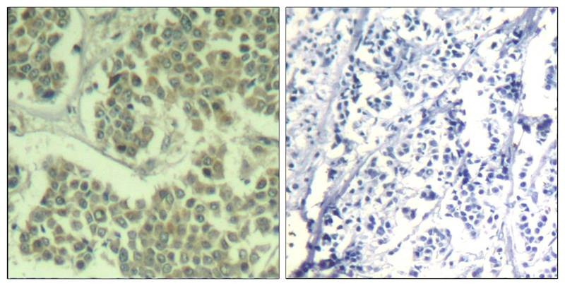
| Verified Activity | 1. Western blot analysis of extracts from Hela cells untreated or treated with starvation using eIF2a (phospho-Ser49) Antibody TMAC-01264. 2. Immunohistochemical analysis of paraffin-embedded human breast carcinoma tissue using eIF2α (Phospho-Ser49) Antibody TMAC-01264 (left) or the same antibody preincubated with blocking peptide #51511 (right). 3. Immunofluorescence staining of methanol-fixed Hela cells using eIF2a (phospho-Ser49) Antibody TMAC-01264. 4. Immunohistochemical analysis of paraffin-embedded human lung carcinoma tissue, using eIF2α (Phospho-Ser49) Antibody TMAC-01264. ![]() ![]() ![]() ![]() |
| Application | |
| Antibody Type | Polyclonal |
| Host Species | Rabbit |
| Construction | Polyclonal Antibody |
| Purification | Antibodies were produced by immunizing rabbits with synthetic phosphopeptide and KLH conjugates. Antibodies were purified by affinity-chromatography using epitope-specific phosphopeptide. Non-phospho specific antibodies were removed by chromatogramphy using non-phosphopeptide. |
| Appearance | Liquid |
| Formulation | Supplied at 1.0mg/mL in phosphate buffered saline (without Mg2+ and Ca2+), pH 7.4, 150mM NaCl, 0.02% sodium azide and 50% glycerol. |
| Research Background | Functions in the early steps of protein synthesis by forming a ternary complex with GTP and initiator tRNA. This complex binds to a 40S ribosomal subunit, followed by mRNA binding to form a 43S preinitiation complex. Junction of the 60S ribosomal subunit to form the 80S initiation complex is preceded by hydrolysis of the GTP bound to eIF-2 and release of an eIF-2-GDP binary complex. In order for eIF-2 to recycle and catalyze another round of initiation, the GDP bound to eIF-2 must exchange with GTP by way of a reaction catalyzed by eIF-2B. |
| Conjucates | Unconjugated |
| Others Formats | Phospho |
| Immunogen | Peptide sequence around phosphorylation site of Serine 49 (L-L-S(p)-E-L) derived from Human eIF2a |
| Antigen Species | human |
| Uniprot ID |
| Stability & Storage | Store at 2°C-8°C for 1 month. Store at -20°C or -80°C for 12 months. Avoid repeated freeze-thaw cycles. |
| Transport | Shipping with blue ice. |
| Size | Quantity | Unit Price | Amount | Operation |
|---|

Copyright © 2015-2026 TargetMol Chemicals Inc. All Rights Reserved.