Shopping Cart
Remove All
Your shopping cart is currently empty
Anti-Phospho-EIF2S1 (Ser 52) Polyclonal Antibody is a Rabbit antibody targeting Phospho-EIF2S1 (Ser 52). Anti-Phospho-EIF2S1 (Ser 52) Polyclonal Antibody can be used in IF,IHC-P,IP,WB.
| Pack Size | Price | USA Warehouse | Global Warehouse | Quantity |
|---|---|---|---|---|
| 50 μL | $297 | 7-10 days | 7-10 days | |
| 100 μL | $497 | 7-10 days | 7-10 days |
| Description | Anti-Phospho-EIF2S1 (Ser 52) Polyclonal Antibody is a Rabbit antibody targeting Phospho-EIF2S1 (Ser 52). Anti-Phospho-EIF2S1 (Ser 52) Polyclonal Antibody can be used in IF,IHC-P,IP,WB. |
| Synonyms | Phospho-EIF2S1 (S52), p-EIF2S1 (Ser52), p-EIF2S1 (S52), IF2A_HUMAN, Eukaryotic translation initiation factor 2 subunit 1 alpha 35kDa, EIF2S1 (p-Ser52), EIF2S1 (p-S52), EIF2A, EIF2 alpha, EIF2, EIF 2alpha, EIF 2A, EIF 2 alpha, EIF 2 |
| Reactivity | Human,Mouse,Rat |
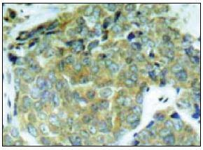
| Verified Activity | 1. Western blot analysis of eIF2α phosphorylation in untreated (A, C) and lambda protein phosphatase treated (B, D) HEK293 whole cell lysates. Antibodies tested include p-eIF2α (Ser 52)(A, B) and eIF2α(C, D). 2. Immunoperoxidase staining of formalin-fixed, paraffin-embedded human breast carcinoma tissue showing cytoplasmic staining. ![]() ![]() |
| Application | |
| Recommended Dose | WB: 1:100-1000; IHC-P: 1:50-500; IP: 1-2 μg per 100-500 μg of total protein (1 ml of cell lysate) |
| Antibody Type | Polyclonal |
| Host Species | Rabbit |
| Construction | Polyclonal Antibody |
| Purification | Immunogen affinity purified |
| Appearance | Liquid |
| Formulation | 1*TBS (pH7.4), 1%BSA, 40%Glycerol. Preservative: 0.05% Sodium Azide. |
| Research Background | The initiation of protein synthesis in eukaryotic cells is regulated by interactions between protein initiation factors and RNA molecules. The eukaryotic initiation complex is composed of three subunits, designated eIF2, eIF2 and eIF2 (eukaryotic translation initiation factor 2 , and , respectively), all of which work in concert to form a ternary complex with GTP and tRNA in the early stages of protein synthesis. eIF2, also known as EIF2S1 or EIF2, is a 315 amino acid subunit of the eukaryotic initiation complex that functions to bind tRNA to the 40S ribosomal subunit (in a GTP-dependent manner), thereby initiating translation. In addition, the phosphorylation state of eIF2 controls the rate of tRNA translation. When eIF2 is not phosphorylated, translation occurs at a normal rate. However, upon phosphorylation by one of several kinases, eIF2 is stabilized, thus preventing the GDP/GTP exchange reaction and slowing translation. |
| Conjucates | Unconjugated |
| Others Formats | Phospho |
| Immunogen | A short amino acid sequence containing phosphorylated Ser 52 of eIF2α of human origin |
| Antigen Species | human |
| Uniprot ID |
| Molecular Weight | Theoretical: 36 kDa. |
| Stability & Storage | Store at -20°C or -80°C for 12 months. Avoid repeated freeze-thaw cycles. |
| Transport | Shipping with blue ice. |
| Size | Quantity | Unit Price | Amount | Operation |
|---|

Copyright © 2015-2026 TargetMol Chemicals Inc. All Rights Reserved.