Shopping Cart
Remove All
Your shopping cart is currently empty
Anti-Phospho-EIF2AK2 (Thr451) Polyclonal Antibody is a Rabbit antibody targeting Phospho-EIF2AK2 (Thr451). Anti-Phospho-EIF2AK2 (Thr451) Polyclonal Antibody can be used in IHC.
| Pack Size | Price | USA Warehouse | Global Warehouse | Quantity |
|---|---|---|---|---|
| 50 μL | $218 | 7-10 days | 7-10 days | |
| 100 μL | $317 | 7-10 days | 7-10 days |
| Description | Anti-Phospho-EIF2AK2 (Thr451) Polyclonal Antibody is a Rabbit antibody targeting Phospho-EIF2AK2 (Thr451). Anti-Phospho-EIF2AK2 (Thr451) Polyclonal Antibody can be used in IHC. |
| Synonyms | p68 kinase, EIF2AK2 (p-Thr451), EIF2AK2 (p-T451), EIF2AK2 (pT451), EIF2AK2 (phospho-Thr451), eIF2A protein kinase2 |
| Ig Type | IgG |
| Reactivity | Human |
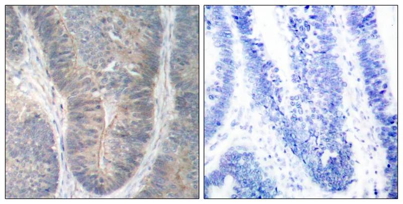
| Verified Activity | 1. Immunohistochemical analysis of paraffin-embedded human colon carcinoma tissue using PKR (Phospho-Thr451) Antibody TMAC-03359 (left) or the same antibody preincubated with blocking peptide (right). ![]() |
| Application | |
| Antibody Type | Polyclonal |
| Host Species | Rabbit |
| Construction | Polyclonal Antibody |
| Purification | Antibodies were produced by immunizing rabbits with synthetic phosphopeptide and KLH conjugates. Antibodies were purified by affinity-chromatography using epitope-specific phosphopeptide. Non-phospho specific antibodies were removed by chromatogramphy using non-phosphopeptide. |
| Appearance | Liquid |
| Formulation | Supplied at 1.0mg/mL in phosphate buffered saline (without Mg2+ and Ca2+), pH 7.4, 150mM NaCl, 0.02% sodium azide and 50% glycerol. |
| Research Background | Following activation by double-stranded RNA in the presence of ATP, the kinase becomes autophosphorylated and can catalyze the phosphorylation of the translation initiation factor EIF2S1, which leads to an inhibition of the initiation of protein synthesis. Double-stranded RNA is generated during the course of a viral infection. |
| Conjucates | Unconjugated |
| Others Formats | Phospho |
| Immunogen | Peptide sequence around phosphorylation site of threonine 451 (K-G-T(p)-L-R) derived from Human PKR |
| Antigen Species | human |
| Uniprot ID |
| Stability & Storage | Store at 2°C-8°C for 1 month. Store at -20°C or -80°C for 12 months. Avoid repeated freeze-thaw cycles. |
| Transport | Shipping with blue ice. |
| Size | Quantity | Unit Price | Amount | Operation |
|---|

Copyright © 2015-2026 TargetMol Chemicals Inc. All Rights Reserved.