Shopping Cart
Remove All
Your shopping cart is currently empty
Anti-Phospho-EGFR (Tyr1092) Polyclonal Antibody is a Rabbit antibody targeting Phospho-EGFR (Tyr1092). Anti-Phospho-EGFR (Tyr1092) Polyclonal Antibody can be used in IHC,WB.
| Pack Size | Price | USA Warehouse | Global Warehouse | Quantity |
|---|---|---|---|---|
| 50 μL | $216 | 7-10 days | 7-10 days | |
| 100 μL | $317 | 7-10 days | 7-10 days |
| Description | Anti-Phospho-EGFR (Tyr1092) Polyclonal Antibody is a Rabbit antibody targeting Phospho-EGFR (Tyr1092). Anti-Phospho-EGFR (Tyr1092) Polyclonal Antibody can be used in IHC,WB. |
| Synonyms | p-EGFR (Y1092), p-EGFR (Tyr1092), EGFR (p-Y1092), EGFR (p-Tyr1092) |
| Ig Type | IgG |
| Reactivity | Human,Rat |
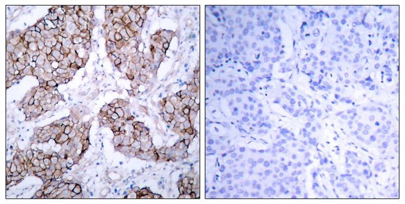
| Verified Activity | 1. Western blot analysis of extracts from A431 cells untreated or treated with EGF using EGFR (Phospho-Tyr1092) Antibody TMAC-01256. 2. Immunohistochemical analysis of paraffin-embedded human breast carcinoma tissue using EGFR (Phospho-Tyr1092) Antibody TMAC-01256 (left) or the same antibody preincubated with blocking peptide (right). ![]() ![]() |
| Application | |
| Antibody Type | Polyclonal |
| Host Species | Rabbit |
| Construction | Polyclonal Antibody |
| Purification | Antibodies were produced by immunizing rabbits with synthetic phosphopeptide and KLH conjugates. Antibodies were purified by affinity-chromatography using epitope-specific phosphopeptide. Non-phospho specific antibodies were removed by chromatogramphy using non-phosphopeptide. |
| Appearance | Liquid |
| Formulation | Supplied at 1.0mg/mL in phosphate buffered saline (without Mg2+ and Ca2+), pH 7.4, 150mM NaCl, 0.02% sodium azide and 50% glycerol. |
| Research Background | Receptor for EGF, but also for other members of the EGF family, as TGF-a, amphiregulin, betacellulin, heparin-binding EGF-like growth factor, GP30 and vaccinia virus growth factor. Is involved in the control of cell growth and differentiation. Phosphorylates MUC1 in breast cancer cells and increases the interaction of MUC1 with SRC and CTNNB1/beta-catenin. |
| Conjucates | Unconjugated |
| Others Formats | Phospho |
| Immunogen | Peptide sequence around phosphorylation site of tyrosine1092 (P-E-Y(p)-I-N) derived from Human EGFR |
| Antigen Species | human |
| Uniprot ID |
| Stability & Storage | Store at 2°C-8°C for 1 month. Store at -20°C or -80°C for 12 months. Avoid repeated freeze-thaw cycles. |
| Transport | Shipping with blue ice. |
| Size | Quantity | Unit Price | Amount | Operation |
|---|

Copyright © 2015-2026 TargetMol Chemicals Inc. All Rights Reserved.