Shopping Cart
Remove All
Your shopping cart is currently empty
Anti-Phospho-EGFR (Y1173) Antibody (4R680) is a Rabbit antibody targeting Phospho-EGFR (Y1173). Anti-Phospho-EGFR (Y1173) Antibody (4R680) can be used in ICC,IHC,IP,WB.
| Pack Size | Price | USA Warehouse | Global Warehouse | Quantity |
|---|---|---|---|---|
| 50 μL | $298 | 7-10 days | 7-10 days | |
| 100 μL | $496 | 7-10 days | 7-10 days |
| Description | Anti-Phospho-EGFR (Y1173) Antibody (4R680) is a Rabbit antibody targeting Phospho-EGFR (Y1173). Anti-Phospho-EGFR (Y1173) Antibody (4R680) can be used in ICC,IHC,IP,WB. |
| Synonyms | p-EGFR (Y1173), EGFR (p-Y1173) |
| Ig Type | IgG |
| Clone | 4R680 |
| Reactivity | Human |
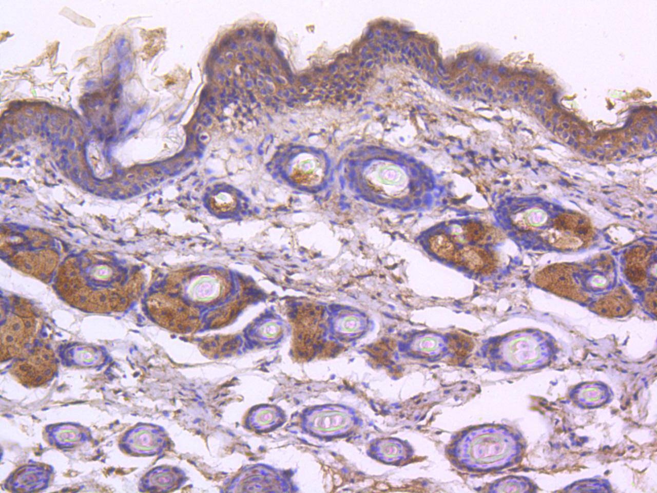
| Verified Activity | 1. Immunohistochemical analysis of paraffin-embedded mouse skin tissue using anti-Phospho-EGFR (pY1173) antibody. Counter stained with hematoxylin. 2. ICC staining (pY1173) in untreated A431 cells (green). The nuclear counter stain is DAPI (blue). Cells were fixed in paraformaldehyde, permeabilised with 0.25% Triton X100/PBS. 3. ICC staining Phospho-EGFR (pY1173) in untreated A549 cells (green). The nuclear counter stain is DAPI (blue). Cells were fixed in paraformaldehyde, permeabilised with 0.25% Triton X100/PBS. 4. ICC staining Phospho-EGFR (pY1173) in untreated B-6F1 cells (green). The nuclear counter stain is DAPI (blue). Cells were fixed in paraformaldehyde, permeabilised with 0.25% Triton X100/PBS. ![]() ![]() ![]() ![]() |
| Application | |
| Recommended Dose | WB: 1:1000; IHC: 1:50-200; ICC: 1:50-200 |
| Antibody Type | Monoclonal |
| Host Species | Rabbit |
| Construction | Hybridoma Monoclonal Antibody |
| Purification | ProA affinity purified |
| Appearance | Liquid |
| Formulation | 1*TBS (pH7.4), 1%BSA, 40%Glycerol. Preservative: 0.05% Sodium Azide. |
| Research Background | Epidermal growth factor mediates its effects on cell growth through its inter-action with a cell surface glycoprotein designated the EGF receptor. Binding of EGF or TGF alpha to the EGF receptor activates tyrosine-specific protein kinase activity intrinsic to the EGF receptor. The carboxy terminal tyrosine residues on EGFR, Tyr 1068 and Tyr 1173, are the major sites of autophosphorylation, which occurs as a result of EGF binding. Once activated, EGFR mediates the binding of the phosphotyrosine binding (PTB) domain of GRB2 through direct interactions with Tyr 1068 and Tyr 1086 and through indirect interactions with Tyr 1173 in the Ras signaling pathway. Tyr 1173 of EGFR also functions as a kinase substrate. Phosphorylation of Tyr 992, Tyr 1068 and Tyr 1086 is required for conformational change in the C-terminal tail of the EGF receptor. |
| Conjucates | Unconjugated |
| Others Formats | Phospho |
| Immunogen | A synthesized phosphopeptide: human EGFR around the phosphorylation site of Tyr1173 |
| Antigen Species | human |
| Uniprot ID |
| Molecular Weight | Theoretical: 175 kDa. |
| Stability & Storage | Store at -20°C or -80°C for 12 months. Avoid repeated freeze-thaw cycles. |
| Transport | Shipping with blue ice. |
| Size | Quantity | Unit Price | Amount | Operation |
|---|

Copyright © 2015-2026 TargetMol Chemicals Inc. All Rights Reserved.