Shopping Cart
Remove All
Your shopping cart is currently empty
Anti-Phospho-DDR1 (Tyr513) Polyclonal Antibody is a Rabbit antibody targeting Phospho-DDR1 (Tyr513). Anti-Phospho-DDR1 (Tyr513) Polyclonal Antibody can be used in IHC,WB.
| Pack Size | Price | USA Warehouse | Global Warehouse | Quantity |
|---|---|---|---|---|
| 50 μL | $298 | 7-10 days | 7-10 days | |
| 100 μL | $496 | 7-10 days | 7-10 days |
| Description | Anti-Phospho-DDR1 (Tyr513) Polyclonal Antibody is a Rabbit antibody targeting Phospho-DDR1 (Tyr513). Anti-Phospho-DDR1 (Tyr513) Polyclonal Antibody can be used in IHC,WB. |
| Synonyms | p-DDR1 (Y513), p-DDR1 (Tyr513), DDR1 (p-Y513), DDR1 (p-Tyr513) |
| Ig Type | IgG |
| Reactivity | Human |
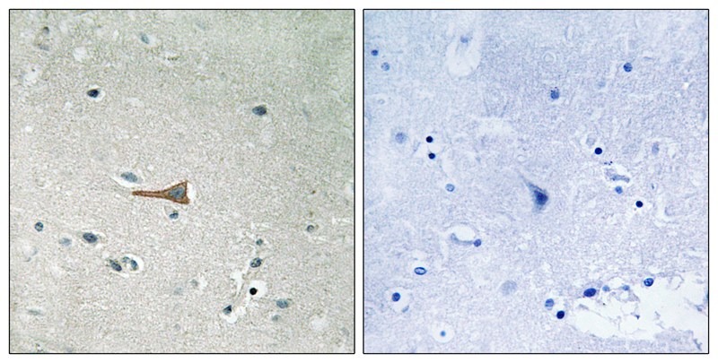
| Verified Activity | 1. Western blot analysis of extracts from JK cells (Lane 2), using DDR1 (Phospho-Tyr513) Antibody TMAC-01129. The lane on the left is treated with antigen-specific peptide. 2. Immunohistochemical analysis of paraffin-embedded human brain tissue using DDR1 (Phospho-Tyr513) antibody TMAC-01129 (left) or the same antibody preincubated with blocking peptide (right). ![]() ![]() |
| Application | |
| Recommended Dose | WB: 1:500-1000; IHC: 1:50-100 |
| Antibody Type | Polyclonal |
| Host Species | Rabbit |
| Construction | Polyclonal Antibody |
| Purification | Antibodies were produced by immunizing rabbits with synthetic phosphopeptide and KLH conjugates. Antibodies were purified by affinity-chromatography using epitope-specific phosphopeptide. Non-phospho specific antibodies were removed by chromatogramphy using non-phosphopeptide. |
| Appearance | Liquid |
| Formulation | Rabbit IgG in phosphate buffered saline (without Mg2+ and Ca2+), pH 7.4, 150mM NaCl, 0.02% sodium azide and 50% glycerol. |
| Research Background | Receptor tyrosine kinases (RTKs) play a key role in the communication of cells with their microenvironment. These molecules are involved in the regulation of cell growth, differentiation and metabolism. The protein encoded by this gene is a RTK that is widely expressed in normal and transformed epithelial cells and is activated by various types of collagen. This protein belongs to a subfamily of tyrosine kinase receptors with a homology region to the Dictyostelium discoideum protein discoidin I in their extracellular domain. Its autophosphorylation is achieved by all collagens so far tested (type I to type VI). |
| Conjucates | Unconjugated |
| Others Formats | Phospho |
| Immunogen | Peptide sequence around phosphorylation site of tyrosine 513 (K-K-Y(p)-V-R) derived from Human DDR1 |
| Antigen Species | human |
| Uniprot ID |
| Molecular Weight | Actual: 110 kDa. |
| Stability & Storage | Store at -20°C or -80°C for 12 months. Avoid repeated freeze-thaw cycles. |
| Transport | Shipping with blue ice. |
| Size | Quantity | Unit Price | Amount | Operation |
|---|

Copyright © 2015-2026 TargetMol Chemicals Inc. All Rights Reserved.