Shopping Cart
Remove All
Your shopping cart is currently empty
Anti-Phospho-DAXX (Ser668) Polyclonal Antibody is a Rabbit antibody targeting Phospho-DAXX (Ser668). Anti-Phospho-DAXX (Ser668) Polyclonal Antibody can be used in ELISA,IHC,WB.
| Pack Size | Price | USA Warehouse | Global Warehouse | Quantity |
|---|---|---|---|---|
| 50 μL | $218 | 7-10 days | 7-10 days | |
| 100 μL | $317 | 7-10 days | 7-10 days |
| Description | Anti-Phospho-DAXX (Ser668) Polyclonal Antibody is a Rabbit antibody targeting Phospho-DAXX (Ser668). Anti-Phospho-DAXX (Ser668) Polyclonal Antibody can be used in ELISA,IHC,WB. |
| Synonyms | p-DAXX (Ser668), p-DAXX (S668), DAXX (p-Ser668), DAXX (p-S668) |
| Ig Type | IgG |
| Reactivity | Human |
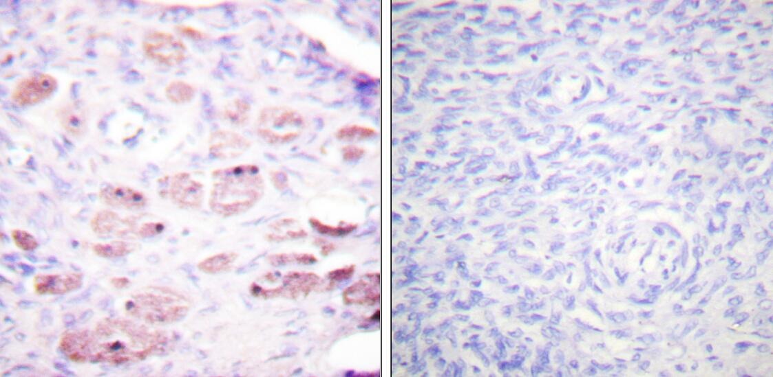
| Verified Activity | 1. Western Blot analysis of 293 cells using Phospho-Daxx (S668) Polyclonal Antibody. 2. Immunohistochemical analysis of paraffin-embedded human ovary using TMAC-01117 at dilution 1/100 at the left, antigen peptide blocked at the right. ![]() ![]() |
| Application | |
| Recommended Dose | WB: 1:500-2000; IHC: 1:100-300; ELISA: 1:10000 |
| Antibody Type | Polyclonal |
| Host Species | Rabbit |
| Construction | Polyclonal Antibody |
| Purification | The antibody was affinity-purified from rabbit antiserum by affinity-chromatography using epitope-specific immunogen. |
| Appearance | Liquid |
| Formulation | Liquid in PBS containing 50% glycerol, 0.5% BSA and 0.02% sodium azide. |
| Conjucates | Unconjugated |
| Others Formats | Phospho |
| Immunogen | A synthesized phosphopeptide: human Daxx around the phosphorylation site of S668 |
| Antigen Species | human |
| Uniprot ID |
| Molecular Weight | Actual: 81 kDa. |
| Stability & Storage | Store at -20°C or -80°C for 12 months. Avoid repeated freeze-thaw cycles. |
| Transport | Shipping with blue ice. |
| Size | Quantity | Unit Price | Amount | Operation |
|---|

Copyright © 2015-2026 TargetMol Chemicals Inc. All Rights Reserved.