Shopping Cart
Remove All
Your shopping cart is currently empty
Anti-Phospho-Cyclin C (Ser275) Polyclonal Antibody is a Rabbit antibody targeting Phospho-Cyclin C (Ser275). Anti-Phospho-Cyclin C (Ser275) Polyclonal Antibody can be used in IHC,WB.
| Pack Size | Price | USA Warehouse | Global Warehouse | Quantity |
|---|---|---|---|---|
| 50 μL | $217 | 7-10 days | 7-10 days | |
| 100 μL | $318 | 7-10 days | 7-10 days |
| Description | Anti-Phospho-Cyclin C (Ser275) Polyclonal Antibody is a Rabbit antibody targeting Phospho-Cyclin C (Ser275). Anti-Phospho-Cyclin C (Ser275) Polyclonal Antibody can be used in IHC,WB. |
| Synonyms | p-Cyclin C (Ser275), p-Cyclin C (S275), Cyclin C (p-Ser275), Cyclin C (p-S275) |
| Ig Type | IgG |
| Reactivity | Human,Mouse,Rat |
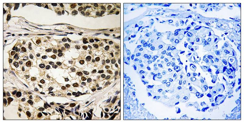
| Verified Activity | 1. Western blot analysis of extracts from 3T3 cells (Lane 2), A549 cells (Lane 3) and Hela cells (Lane 4), using Cyclin C (Phospho-Ser275) Antibody TMAC-01036. The lane on the left is treated with antigen-specific peptide. 2. Immunohistochemical analysis of paraffin-embedded human breast carcinoma tissue using Cyclin C (Phospho-Ser275) antibody TMAC-01036 (left) or the same antibody preincubated with blocking peptide (right). ![]() ![]() |
| Application | |
| Recommended Dose | WB: 1:500-1000; IHC: 1:50-100 |
| Antibody Type | Polyclonal |
| Host Species | Rabbit |
| Construction | Polyclonal Antibody |
| Purification | Antibodies were produced by immunizing rabbits with synthetic phosphopeptide and KLH conjugates. Antibodies were purified by affinity-chromatography using epitope-specific phosphopeptide. Non-phospho specific antibodies were removed by chromatogramphy using non-phosphopeptide. |
| Appearance | Liquid |
| Formulation | Rabbit IgG in phosphate buffered saline (without Mg2+ and Ca2+), pH 7.4, 150mM NaCl, 0.02% sodium azide and 50% glycerol. |
| Research Background | The protein encoded by this gene is a member of the cyclin family of proteins. The encoded protein interacts with cyclin-dependent kinase 8 and induces the phophorylation of the carboxy-terminal domain of the large subunit of RNA polymerase II. The level of mRNAs for this gene peaks in the G1 phase of the cell cycle. Two transcript variants encoding different isoforms have been found for this gene. |
| Conjucates | Unconjugated |
| Others Formats | Phospho |
| Immunogen | Peptide sequence around phosphorylation site of Serine 275(N-G-S(p)-A-N) derived from Human Cyclin C |
| Antigen Species | human |
| Uniprot ID |
| Molecular Weight | Actual: 37 kDa. |
| Stability & Storage | Store at -20°C or -80°C for 12 months. Avoid repeated freeze-thaw cycles. |
| Transport | Shipping with blue ice. |
| Size | Quantity | Unit Price | Amount | Operation |
|---|

Copyright © 2015-2026 TargetMol Chemicals Inc. All Rights Reserved.