Shopping Cart
Remove All
Your shopping cart is currently empty
Anti-Phospho-CtBP1 (Ser422) Polyclonal Antibody is a Rabbit antibody targeting Phospho-CtBP1 (Ser422). Anti-Phospho-CtBP1 (Ser422) Polyclonal Antibody can be used in IHC,WB.
| Pack Size | Price | USA Warehouse | Global Warehouse | Quantity |
|---|---|---|---|---|
| 50 μL | $218 | 7-10 days | 7-10 days | |
| 100 μL | $316 | 7-10 days | 7-10 days |
| Description | Anti-Phospho-CtBP1 (Ser422) Polyclonal Antibody is a Rabbit antibody targeting Phospho-CtBP1 (Ser422). Anti-Phospho-CtBP1 (Ser422) Polyclonal Antibody can be used in IHC,WB. |
| Synonyms | p-CtBP1 (Ser422), p-CtBP1 (S422), CtBP1 (p-Ser422), CtBP1 (p-S422) |
| Ig Type | IgG |
| Reactivity | Human,Mouse,Rat |
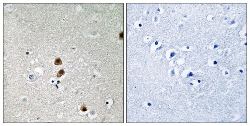
| Verified Activity | 1. Western blot analysis of extracts from Jurkat cells treated with TNF using CtBP1 (Phospho-Ser422) Antibody TMAC-01005. The lane on the right is treated with the antigen-specific peptide. 2. Immunohistochemical analysis of paraffin-embedded human brain tissue, using CtBP1 (Phospho-Ser422) antibody TMAC-01005 (left) or the same antibody preincubated with blocking peptide (right). ![]() ![]() |
| Application | |
| Recommended Dose | WB: 1:500-1000; IHC: 1:50-100 |
| Antibody Type | Polyclonal |
| Host Species | Rabbit |
| Construction | Polyclonal Antibody |
| Purification | Antibodies were produced by immunizing rabbits with synthetic phosphopeptide and KLH conjugates. Antibodies were purified by affinity-chromatography using epitope-specific phosphopeptide. Non-phospho specific antibodies were removed by chromatogramphy using non-phosphopeptide. |
| Appearance | Liquid |
| Formulation | Rabbit IgG in phosphate buffered saline (without Mg2+ and Ca2+), pH 7.4, 150mM NaCl, 0.02% sodium azide and 50% glycerol. |
| Research Background | This gene encodes a protein that binds to the C-terminus of adenovirus E1A proteins. This phosphoprotein is a transcriptional repressor and may play a role during cellular proliferation. This protein and the product of a second closely related gene, CTBP2, can dimerize. Both proteins can also interact with a polycomb group protein complex which participates in regulation of gene expression during development. Alternative splicing of transcripts from this gene results in multiple transcript variants. |
| Conjucates | Unconjugated |
| Others Formats | Phospho |
| Immunogen | Peptide sequence around phosphorylation site of Serine 422(A-P-S(p)-P-G) derived from Human CtBP1 |
| Antigen Species | human |
| Uniprot ID |
| Molecular Weight | Actual: 48 kDa. |
| Stability & Storage | Store at -20°C or -80°C for 12 months. Avoid repeated freeze-thaw cycles. |
| Transport | Shipping with blue ice. |
| Size | Quantity | Unit Price | Amount | Operation |
|---|

Copyright © 2015-2026 TargetMol Chemicals Inc. All Rights Reserved.