Shopping Cart
Remove All
Your shopping cart is currently empty
Anti-Phospho-CREB1 (Ser133) Polyclonal Antibody is a Rabbit antibody targeting Phospho-CREB1 (Ser133). Anti-Phospho-CREB1 (Ser133) Polyclonal Antibody can be used in IHC,WB.
| Pack Size | Price | USA Warehouse | Global Warehouse | Quantity |
|---|---|---|---|---|
| 50 μL | $218 | 7-10 days | 7-10 days | |
| 100 μL | $317 | 7-10 days | 7-10 days |
| Description | Anti-Phospho-CREB1 (Ser133) Polyclonal Antibody is a Rabbit antibody targeting Phospho-CREB1 (Ser133). Anti-Phospho-CREB1 (Ser133) Polyclonal Antibody can be used in IHC,WB. |
| Synonyms | p-CREB1 (Ser133), p-CREB1 (S133), CREB1 (p-Ser133), CREB1 (p-S133) |
| Ig Type | IgG |
| Reactivity | Human,Mouse,Rat |
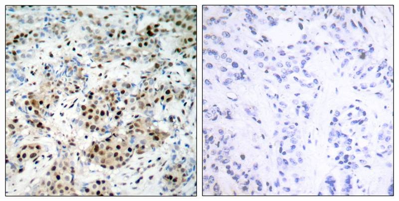
| Verified Activity | 1. Western blot analysis of extracts from Hela cells untreated or treated with UV using CREB (Phospho-Ser133) Antibody TMAC-00966. 2. Immunohistochemical analysis of paraffin-embedded human breast carcinoma tissue using CREB (Phospho-Ser133) Antibody TMAC-00966 (left) or the same antibody preincubated with blocking peptide (right). ![]() ![]() |
| Application | |
| Antibody Type | Polyclonal |
| Host Species | Rabbit |
| Construction | Polyclonal Antibody |
| Purification | Antibodies were produced by immunizing rabbits with synthetic phosphopeptide and KLH conjugates. Antibodies were purified by affinity-chromatography using epitope-specific phosphopeptide. Non-phospho specific antibodies were removed by chromatogramphy using non-phosphopeptide. |
| Appearance | Liquid |
| Formulation | Supplied at 1.0mg/mL in phosphate buffered saline (without Mg2+ and Ca2+), pH 7.4, 150mM NaCl, 0.02% sodium azide and 50% glycerol. |
| Research Background | CREB1 is a transcription factor that is a member of the bZIP family of DNA binding proteins. It binds as a homodimer to the CRE (cAMP-Responsive Element), an octameric palindrome containing a conserved core sequence, 5-prime-TGACG-3-prime. It consists of two transcript variants encoding respective isoforms produced by alternate splicing. It is mapped to 2q32.3-q34 . It is phosphorylated by several protein kinases and induces transcription of genes in response to hormonal stimulation of the cAMP pathway. CREB1 is crucial for the consolidation of long-term conditioned fear memories, but not for encoding, storage, or retrieval of these memories. It is required for the stability of reactivated or retrieved conditioned fear memories . |
| Conjucates | Unconjugated |
| Others Formats | Phospho |
| Immunogen | Peptide sequence around phosphorylation site of serine 133 (R-P-S(p)-Y-R) derived from Human CREB |
| Antigen Species | human |
| Uniprot ID |
| Stability & Storage | Store at 2°C-8°C for 1 month. Store at -20°C or -80°C for 12 months. Avoid repeated freeze-thaw cycles. |
| Transport | Shipping with blue ice. |
| Size | Quantity | Unit Price | Amount | Operation |
|---|

Copyright © 2015-2026 TargetMol Chemicals Inc. All Rights Reserved.