Shopping Cart
Remove All
Your shopping cart is currently empty
Anti-Phospho-CNOT2 (Ser101) Polyclonal Antibody is a Rabbit antibody targeting Phospho-CNOT2 (Ser101). Anti-Phospho-CNOT2 (Ser101) Polyclonal Antibody can be used in IHC.
| Pack Size | Price | USA Warehouse | Global Warehouse | Quantity |
|---|---|---|---|---|
| 50 μL | $217 | 7-10 days | 7-10 days | |
| 100 μL | $316 | 7-10 days | 7-10 days |
| Description | Anti-Phospho-CNOT2 (Ser101) Polyclonal Antibody is a Rabbit antibody targeting Phospho-CNOT2 (Ser101). Anti-Phospho-CNOT2 (Ser101) Polyclonal Antibody can be used in IHC. |
| Synonyms | p-CNOT2 (Ser101), p-CNOT2 (S101), CNOT2 (p-Ser101), CNOT2 (p-S101) |
| Ig Type | IgG |
| Reactivity | Human,Mouse,Rat |
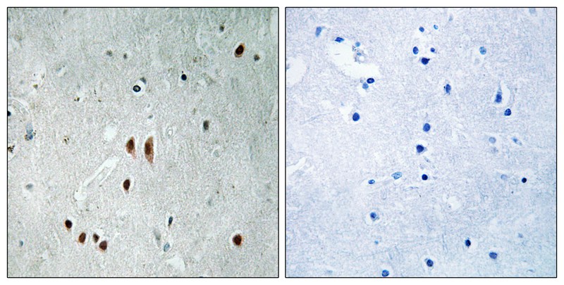
| Verified Activity | 1. Immunohistochemical analysis of paraffin-embedded human brain tissue using CNOT2 (Phospho-Ser101) antibody TMAC-00906 (left) or the same antibody preincubated with blocking peptide (right). ![]() |
| Application | |
| Recommended Dose | IHC: 1:5-100 |
| Antibody Type | Polyclonal |
| Host Species | Rabbit |
| Construction | Polyclonal Antibody |
| Purification | Antibodies were produced by immunizing rabbits with synthetic phosphopeptide and KLH conjugates. Antibodies were purified by affinity-chromatography using epitope-specific phosphopeptide. Non-phospho specific antibodies were removed by chromatogramphy using non-phosphopeptide. |
| Appearance | Liquid |
| Formulation | Rabbit IgG in phosphate buffered saline (without Mg2+ and Ca2+), pH 7.4, 150mM NaCl, 0.02% sodium azide and 50% glycerol. |
| Research Background | The CCR4-NOT complex functions as general transcription regulation complex. Subunit of the CCR4-NOT core complex that contains CHAF1A, CHAF1B, CNOT1, CNOT2, CNOT3, CNOT4, CNOT6 and CNOT8. 5 isoforms of the human protein are produced by alternative splicing. |
| Conjucates | Unconjugated |
| Others Formats | Phospho |
| Immunogen | Peptide sequence around phosphorylation site of Serine101(S-L-S(p)-Q-G) derived from Human CNOT2 |
| Antigen Species | human |
| Uniprot ID |
| Molecular Weight | Actual: 59 kDa. |
| Stability & Storage | Store at -20°C or -80°C for 12 months. Avoid repeated freeze-thaw cycles. |
| Transport | Shipping with blue ice. |
| Size | Quantity | Unit Price | Amount | Operation |
|---|

Copyright © 2015-2026 TargetMol Chemicals Inc. All Rights Reserved.