Shopping Cart
Remove All
Your shopping cart is currently empty
Anti-Phospho-CHEK1 (Ser296) Antibody (1L434) is a Rabbit antibody targeting Phospho-CHEK1 (Ser296). Anti-Phospho-CHEK1 (Ser296) Antibody (1L434) can be used in IHC,WB.
| Pack Size | Price | USA Warehouse | Global Warehouse | Quantity |
|---|---|---|---|---|
| 50 μL | $298 | 7-10 days | 7-10 days | |
| 100 μL | $498 | 7-10 days | 7-10 days |
| Description | Anti-Phospho-CHEK1 (Ser296) Antibody (1L434) is a Rabbit antibody targeting Phospho-CHEK1 (Ser296). Anti-Phospho-CHEK1 (Ser296) Antibody (1L434) can be used in IHC,WB. |
| Synonyms | p-CHEK1 (Ser296), p-CHEK1 (S296), CHEK1 (p-Ser296), CHEK1 (p-S296) |
| Ig Type | IgG |
| Clone | 1L434 |
| Reactivity | Human |
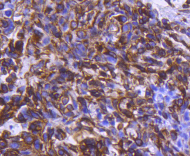
| Verified Activity | 1. Immunohistochemical analysis of paraffin-embedded human tonsil tissue using anti-phospho-Chk1 (S296) antibody. Counter stained with hematoxylin. 2. Immunohistochemical analysis of paraffin-embedded human breast carcinoma tissue using anti-phospho-Chk1 (S296) antibody. Counter stained with hematoxylin. ![]() ![]() |
| Application | |
| Recommended Dose | WB: 1:1000; IHC: 1:50-200 |
| Antibody Type | Monoclonal |
| Host Species | Rabbit |
| Construction | Recombinant Antibody |
| Purification | ProA affinity purified |
| Appearance | Liquid |
| Formulation | 1*TBS (pH7.4), 1%BSA, 40%Glycerol. Preservative: 0.05% Sodium Azide. |
| Research Background | Cell cycle events are regulated by the sequential activation and deactivation of cyclin dependent kinases (Cdks) and by proteolysis of cyclins. Chk1 and Chk2 are involved in these processes as regulators of Cdks. Chk1 and Chk2 both function as essential components in the G2 DNA damage checkpoint by phosphorylating Cdc25C in response to DNA damage. Phosphorylation inhibits Cdc25C activity, thereby blocking mitosis. Cdc25A, Cdc25B and Cdc25C protein tyrosine phosphatases function as mitotic activators by dephosphorylating Cdc2 p34 on regulatory tyrosine residues. It has also been shown that Chk1 can phosphorylate Wee1 in vitro, providing evidence that the hyperphosphorylated form of Wee1, seen in cells delayed by Chk1 overexpression, is due to phosphorylation by Chk1. |
| Conjucates | Unconjugated |
| Others Formats | Phospho |
| Immunogen | A synthesized phosphopeptide: human Chk1 around the phosphorylation site of Ser296 |
| Antigen Species | human |
| Uniprot ID |
| Molecular Weight | Theoretical: 54 kDa. |
| Stability & Storage | Store at -20°C or -80°C for 12 months. Avoid repeated freeze-thaw cycles. |
| Transport | Shipping with blue ice. |
| Size | Quantity | Unit Price | Amount | Operation |
|---|

Copyright © 2015-2026 TargetMol Chemicals Inc. All Rights Reserved.