Shopping Cart
Remove All
Your shopping cart is currently empty
Anti-Phospho-CDK6 (Tyr24) Polyclonal Antibody is a Rabbit antibody targeting Phospho-CDK6 (Tyr24). Anti-Phospho-CDK6 (Tyr24) Polyclonal Antibody can be used in IF,IHC,WB.
| Pack Size | Price | USA Warehouse | Global Warehouse | Quantity |
|---|---|---|---|---|
| 50 μL | $216 | 7-10 days | 7-10 days | |
| 100 μL | $317 | 7-10 days | 7-10 days |
| Description | Anti-Phospho-CDK6 (Tyr24) Polyclonal Antibody is a Rabbit antibody targeting Phospho-CDK6 (Tyr24). Anti-Phospho-CDK6 (Tyr24) Polyclonal Antibody can be used in IF,IHC,WB. |
| Synonyms | p-CDK6 (Y24), p-CDK6 (Tyr24), CDK6 (p-Y24), CDK6 (p-Tyr24) |
| Ig Type | IgG |
| Reactivity | Human,Mouse,Rat |
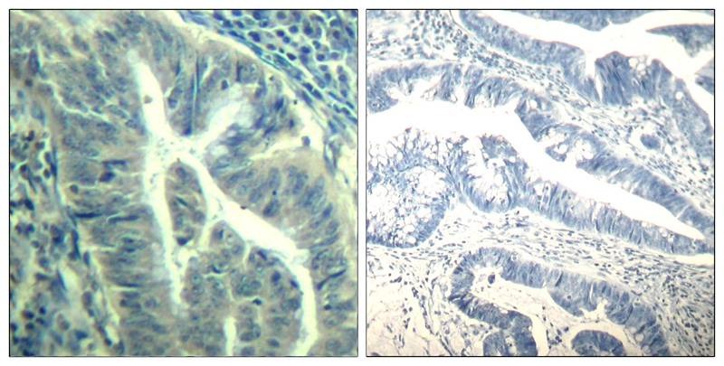
| Verified Activity | 1. Western blot analysis of extracts from 293 cells untreated (lane 1) or treated with starvation (lane 2) using CDK6 (phospho-Tyr24) Antibody TMAC-00799. 2. Immunohistochemical analysis of paraffin-embedded human colon carcinoma tissue using CDK6 (Phospho-Tyr24) Antibody TMAC-00799 (left) or the same antibody preincubated with blocking peptide (right). 3. Immunofluorescence staining of methanol-fixed Hela cells using CDK6 (phospho-Tyr24) Antibody TMAC-00799. ![]() ![]() ![]() |
| Application | |
| Antibody Type | Polyclonal |
| Host Species | Rabbit |
| Construction | Polyclonal Antibody |
| Purification | Antibodies were produced by immunizing rabbits with synthetic phosphopeptide and KLH conjugates. Antibodies were purified by affinity-chromatography using epitope-specific phosphopeptide. Non-phospho specific antibodies were removed by chromatogramphy using non-phosphopeptide. |
| Appearance | Liquid |
| Formulation | Supplied at 1.0mg/mL in phosphate buffered saline (without Mg2+ and Ca2+), pH 7.4, 150mM NaCl, 0.02% sodium azide and 50% glycerol. |
| Research Background | Probably involved in the control of the cell cycle. Interacts with D-type G1 cyclins. |
| Conjucates | Unconjugated |
| Others Formats | Phospho |
| Immunogen | Peptide sequence around phosphorylation site of tyrosine 24 (G-A-Y(p)-G-K) derived from Human CDK6 |
| Antigen Species | human |
| Uniprot ID |
| Stability & Storage | Store at 2°C-8°C for 1 month. Store at -20°C or -80°C for 12 months. Avoid repeated freeze-thaw cycles. |
| Transport | Shipping with blue ice. |
| Size | Quantity | Unit Price | Amount | Operation |
|---|

Copyright © 2015-2026 TargetMol Chemicals Inc. All Rights Reserved.