Shopping Cart
Remove All
Your shopping cart is currently empty
Anti-Phospho-CDC42 (Ser71) Antibody (7R21) is a Rabbit antibody targeting Phospho-CDC42 (Ser71). Anti-Phospho-CDC42 (Ser71) Antibody (7R21) can be used in ICC/IF,IHC,WB.
| Pack Size | Price | USA Warehouse | Global Warehouse | Quantity |
|---|---|---|---|---|
| 50 μL | $298 | 7-10 days | 7-10 days | |
| 100 μL | $497 | 7-10 days | 7-10 days |
| Description | Anti-Phospho-CDC42 (Ser71) Antibody (7R21) is a Rabbit antibody targeting Phospho-CDC42 (Ser71). Anti-Phospho-CDC42 (Ser71) Antibody (7R21) can be used in ICC/IF,IHC,WB. |
| Synonyms | p-CDC42 (Ser71), p-CDC42 (S71), CDC42 (p-Ser71), CDC42 (p-S71) |
| Ig Type | IgG |
| Clone | 7R21 |
| Reactivity | Human |
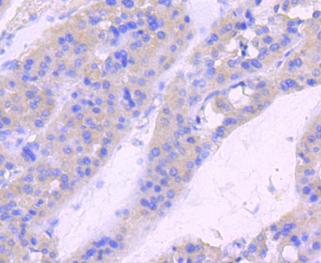
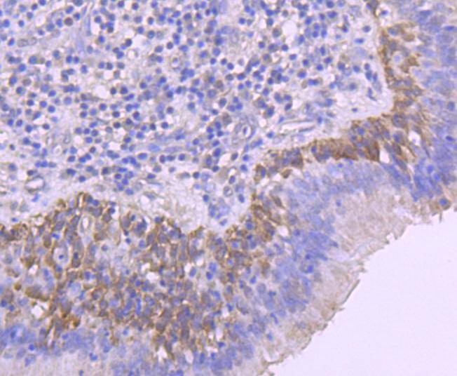
| Verified Activity | 1. Immunohistochemical analysis of paraffin-embedded human lung cancer tissue using anti-Phospho-Rac1+Cdc42 (Ser71) antibody. Counter stained with hematoxylin. 2. Immunohistochemical analysis of paraffin-embedded human liver cancer tissue using anti-Phospho-Rac1+Cdc42 (Ser71) antibody. Counter stained with hematoxylin. 3. ICC staining Phospho-Rac1+Cdc42 (Ser71) in A431 cells (green). The nuclear counter stain is DAPI (blue). Cells were fixed in paraformaldehyde, permeabilised with 0.25% Triton X100/PBS. 4. ICC staining Phospho-Rac1+Cdc42 (Ser71) in Hela cells (green). The nuclear counter stain is DAPI (blue). Cells were fixed in paraformaldehyde, permeabilised with 0.25% Triton X100/PBS. ![]() ![]() ![]() ![]() |
| Application | |
| Recommended Dose | WB: 1:500-1000; IHC: 1:50-200; ICC/IF: 1:50-200 |
| Antibody Type | Monoclonal |
| Host Species | Rabbit |
| Construction | Recombinant Antibody |
| Purification | ProA affinity purified |
| Appearance | Liquid |
| Formulation | 1*TBS (pH7.4), 1%BSA, 40%Glycerol. Preservative: 0.05% Sodium Azide. |
| Research Background | A large number of low molecular weight GTP-binding proteins of the Ras superfamily have been identified in eukaryotic cells; they regulate many fundamental processes such as cell growth, vesicle traffic and cytoskeletal organization. GTPase-activating proteins accelerate the intrinsic rate of GTP hydrolysis of Ras-related proteins, resulting in downregulation of their active form. Rac 1 is activated in a type I interferon (IFN) dependent manner; its function is required for downstream engagement of the p38 MAP kinase pathway. The p38 MAP kinase plays an essential role in IFN-dependent transcriptional regulation. The serine/threonine kinase Akt, of the phospho-inositide 3-kinase signal transduction pathway phosphorylates serine 71 of Rac 1. The superfamily of GTP-binding proteins, for which the Ras proteins are prototypes, has been implicated in regulation of diverse biological activities involving various aspects of cell growth and division.One mammalian member of the family, Cdc42, has an amino acid sequence that is similar to those of various members of the Ras superfamily proteins, including N-, K- and H-Ras, Rho proteins and the Rac proteins. On the basis of in vitro phosphorylation studies, it has been suggested that human Cdc42 may function in the signaling pathway of the EGF receptor or related growth factor receptor protein kinases. The Dbl oncogene has been shown to specifically catalyze dissociation of GDP from human Cdc42. |
| Conjucates | Unconjugated |
| Others Formats | Phospho |
| Immunogen | A synthesized phosphopeptide: human CDC42 around the phosphorylation site of Ser71 |
| Antigen Species | human |
| Uniprot ID |
| Molecular Weight | Theoretical: 23/21 kDa. |
| Stability & Storage | Store at -20°C or -80°C for 12 months. Avoid repeated freeze-thaw cycles. |
| Transport | Shipping with blue ice. |
| Size | Quantity | Unit Price | Amount | Operation |
|---|

Copyright © 2015-2026 TargetMol Chemicals Inc. All Rights Reserved.