Shopping Cart
Remove All
Your shopping cart is currently empty
Anti-Phospho-CBL (Tyr700) Polyclonal Antibody is a Rabbit antibody targeting Phospho-CBL (Tyr700). Anti-Phospho-CBL (Tyr700) Polyclonal Antibody can be used in IF,IHC,WB.
| Pack Size | Price | USA Warehouse | Global Warehouse | Quantity |
|---|---|---|---|---|
| 50 μL | $217 | 7-10 days | 7-10 days | |
| 100 μL | $318 | 7-10 days | 7-10 days |
| Description | Anti-Phospho-CBL (Tyr700) Polyclonal Antibody is a Rabbit antibody targeting Phospho-CBL (Tyr700). Anti-Phospho-CBL (Tyr700) Polyclonal Antibody can be used in IF,IHC,WB. |
| Synonyms | RNF55, Proto-oncogene c-Cbl, p-CBL (Y700), p-CBL (Tyr700), CBL2, CBL (p-Y700), CBL (p-Tyr700) |
| Ig Type | IgG |
| Reactivity | Human |
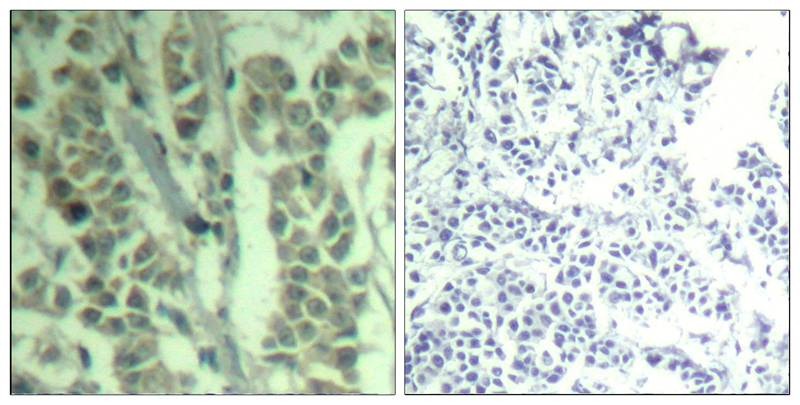
| Verified Activity | 1. Western blot analysis of extracts from HT29 cells untreated or treated with UV using c-Cbl (phospho-Tyr700) Antibody TMAC-00638. 2. Immunohistochemical analysis of paraffin-embedded human breast carcinoma tissue using c-Cbl (Phospho-Tyr700) Antibody TMAC-00638(left) or the same antibody preincubated with blocking peptide (right). 3. Immunofluorescence staining of methanol-fixed Hela cells using c-Cbl (phospho-Tyr700) Antibody TMAC-00638. ![]() ![]() ![]() |
| Application | |
| Antibody Type | Polyclonal |
| Host Species | Rabbit |
| Construction | Polyclonal Antibody |
| Purification | Antibodies were produced by immunizing rabbits with synthetic phosphopeptide and KLH conjugates. Antibodies were purified by affinity-chromatography using epitope-specific phosphopeptide. Non-phospho specific antibodies were removed by chromatogramphy using non-phosphopeptide. |
| Appearance | Liquid |
| Formulation | Supplied at 1.0mg/mL in phosphate buffered saline (without Mg2+ and Ca2+), pH 7.4, 150mM NaCl, 0.02% sodium azide and 50% glycerol. |
| Research Background | Participates in signal transduction in hematopoietic cells. Adapter protein that functions as a negative regulator of many signaling pathways that start from receptors at the cell surface. Acts as an E3 ubiquitin-protein ligase, which accepts ubiquitin from specific E2 ubiquitin-conjugating enzymes, and then transfers it to substrates promoting their degradation by the proteasome. Recognizes activated receptor tyrosine kinases, including PDGFA, EGF and CSF1, and terminates signaling. |
| Conjucates | Unconjugated |
| Others Formats | Phospho |
| Immunogen | Peptide sequence around phosphorylation site of tyrosine 770 (T-E-Y(p)-M-T) derived from Human c-Cbl |
| Antigen Species | human |
| Uniprot ID |
| Stability & Storage | Store at 2°C-8°C for 1 month. Store at -20°C or -80°C for 12 months. Avoid repeated freeze-thaw cycles. |
| Transport | Shipping with blue ice. |
| Size | Quantity | Unit Price | Amount | Operation |
|---|

Copyright © 2015-2026 TargetMol Chemicals Inc. All Rights Reserved.