Shopping Cart
Remove All
Your shopping cart is currently empty
Anti-Phospho-CAD (Thr456) Polyclonal Antibody is a Rabbit antibody targeting Phospho-CAD (Thr456). Anti-Phospho-CAD (Thr456) Polyclonal Antibody can be used in IHC.
| Pack Size | Price | USA Warehouse | Global Warehouse | Quantity |
|---|---|---|---|---|
| 50 μL | $216 | 7-10 days | 7-10 days | |
| 100 μL | $316 | 7-10 days | 7-10 days |
| Description | Anti-Phospho-CAD (Thr456) Polyclonal Antibody is a Rabbit antibody targeting Phospho-CAD (Thr456). Anti-Phospho-CAD (Thr456) Polyclonal Antibody can be used in IHC. |
| Synonyms | p-CAD (Thr456), p-CAD (T456), CAD (p-Thr456), CAD (p-T456) |
| Ig Type | IgG |
| Reactivity | Human |
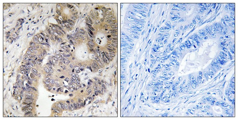
| Verified Activity | 1. Immunohistochemical analysis of paraffin-embedded human colon carcinoma tissue using CAD (Phospho-Thr456) antibody TMAC-00517 (left) or the same antibody preincubated with blocking peptide (right). ![]() |
| Application | |
| Recommended Dose | IHC: 1:50-100 |
| Antibody Type | Polyclonal |
| Host Species | Rabbit |
| Construction | Polyclonal Antibody |
| Purification | Antibodies were produced by immunizing rabbits with synthetic phosphopeptide and KLH conjugates. Antibodies were purified by affinity-chromatography using epitope-specific phosphopeptide. Non-phospho specific antibodies were removed by chromatogramphy using non-phosphopeptide. |
| Appearance | Liquid |
| Formulation | Rabbit IgG in phosphate buffered saline (without Mg2+ and Ca2+), pH 7.4, 150mM NaCl, 0.02% sodium azide and 50% glycerol. |
| Research Background | The de novo synthesis of pyrimidine nucleotides is required for mammalian cells to proliferate. This gene encodes a trifunctional protein which is associated with the enzymatic activities of the first 3 enzymes in the 6-step pathway of pyrimidine biosynthesis: carbamoylphosphate synthetase (CPS II), aspartate transcarbamoylase, and dihydroorotase. This protein is regulated by the mitogen-activated protein kinase (MAPK) cascade, which indicates a direct link between activation of the MAPK cascade and de novo biosynthesis of pyrimidine nucleotides. |
| Conjucates | Unconjugated |
| Others Formats | Phospho |
| Immunogen | Peptide sequence around phosphorylation site of threonine 456 (P-I-T(p)-P-H) derived from Human CAD |
| Antigen Species | human |
| Uniprot ID |
| Molecular Weight | Actual: 242 kDa. |
| Stability & Storage | Store at -20°C or -80°C for 12 months. Avoid repeated freeze-thaw cycles. |
| Transport | Shipping with blue ice. |
| Size | Quantity | Unit Price | Amount | Operation |
|---|

Copyright © 2015-2026 TargetMol Chemicals Inc. All Rights Reserved.