Shopping Cart
Remove All
Your shopping cart is currently empty
Anti-Phospho-C-ABL1/2 (Tyr393/439) Polyclonal Antibody is a Rabbit antibody targeting Phospho-C-ABL1/2 (Tyr393/439). Anti-Phospho-C-ABL1/2 (Tyr393/439) Polyclonal Antibody can be used in IF,IHC,WB.
| Pack Size | Price | USA Warehouse | Global Warehouse | Quantity |
|---|---|---|---|---|
| 50 μL | $216 | 7-10 days | 7-10 days | |
| 100 μL | $318 | 7-10 days | 7-10 days |
| Description | Anti-Phospho-C-ABL1/2 (Tyr393/439) Polyclonal Antibody is a Rabbit antibody targeting Phospho-C-ABL1/2 (Tyr393/439). Anti-Phospho-C-ABL1/2 (Tyr393/439) Polyclonal Antibody can be used in IF,IHC,WB. |
| Synonyms | p-C-ABL1/2 (Y393/439), p-C-ABL1/2 (Tyr393/439), C-ABL1/2 (p-Y393/439), C-ABL1/2 (p-Tyr393/439) |
| Ig Type | IgG |
| Reactivity | Human,Mouse |
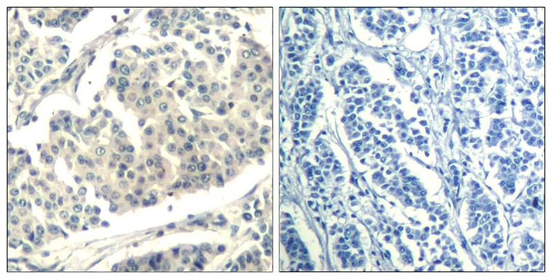
| Verified Activity | 1. Immunohistochemical analysis of paraffin-embedded human breast carcinoma tissue using ABL1/2(Phospho-Tyr393/439) Antibody TMAC-00049(left) or the same antibody preincubated with blocking peptide(right). 2. Immunofluorescence staining of methanol-fixed Hela cells using ABL1/2(phospho-Tyr393/439) Antibody TMAC-00049. 3. Western blot analysis of extracts from HL60 cells using ABL1/2(phospho-Tyr393/439) Antibody TMAC-00049 and the same antibody preincubated with blocking peptide. ![]() ![]() ![]() |
| Application | |
| Recommended Dose | WB: 1:500-1000; IHC: 1:50-100; IF: 1:100-200 |
| Antibody Type | Polyclonal |
| Host Species | Rabbit |
| Construction | Polyclonal Antibody |
| Purification | Antibodies were produced by immunizing rabbits with synthetic phosphopeptide and KLH conjugates. Antibodies were purified by affinity-chromatography using epitope-specific phosphopeptide. Non-phospho specific antibodies were removed by chromatogramphy using non-phosphopeptide. |
| Appearance | Liquid |
| Formulation | Supplied at 1.0mg/mL in phosphate buffered saline (without Mg2+ and Ca2+), pH 7.4, 150mM NaCl, 0.02% sodium azide and 50% glycerol. |
| Research Background | Regulates cytoskeleton remodeling during cell differentiation, cell division and cell adhesion. Localizes to dynamic actin structures, and phosphorylates CRK and CRKL, DOK1, and other proteins controlling cytoskeleton dynamics. Regulates DNA repair potentially by activating the proapoptotic pathway when the DNA damage is too severe to be repaired. Phosphorylates PSMA7 that leads to an inhibition of proteasomal activity and cell cycle transition blocks. |
| Conjucates | Unconjugated |
| Others Formats | Phospho |
| Immunogen | Peptide sequence around phosphorylation site of tyrosine 393/439 (D-T-Y(p)-T-A) derived from Human ABL1/2 |
| Antigen Species | human |
| Uniprot ID |
| Stability & Storage | Store at 2°C-8°C for 1 month. Store at -20°C or -80°C for 12 months. Avoid repeated freeze-thaw cycles. |
| Transport | Shipping with blue ice. |
| Size | Quantity | Unit Price | Amount | Operation |
|---|

Copyright © 2015-2026 TargetMol Chemicals Inc. All Rights Reserved.