Shopping Cart
Remove All
Your shopping cart is currently empty
Anti-Phospho-C-ABL/ABL1 (Tyr412) Polyclonal Antibody is a Rabbit antibody targeting Phospho-C-ABL/ABL1 (Tyr412). Anti-Phospho-C-ABL/ABL1 (Tyr412) Polyclonal Antibody can be used in IF,IHC.
| Pack Size | Price | USA Warehouse | Global Warehouse | Quantity |
|---|---|---|---|---|
| 50 μL | $216 | 7-10 days | 7-10 days | |
| 100 μL | $318 | 7-10 days | 7-10 days |
| Description | Anti-Phospho-C-ABL/ABL1 (Tyr412) Polyclonal Antibody is a Rabbit antibody targeting Phospho-C-ABL/ABL1 (Tyr412). Anti-Phospho-C-ABL/ABL1 (Tyr412) Polyclonal Antibody can be used in IF,IHC. |
| Synonyms | p-C-ABL/ABL1 (Y412), p-C-ABL/ABL1 (Tyr412), C-ABL/ABL1 (p-Y412), C-ABL/ABL1 (p-Tyr412) |
| Ig Type | IgG |
| Reactivity | Human,Mouse,Rat |
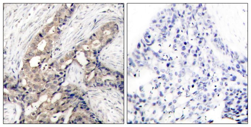
| Verified Activity | 1. Immunofluorescence staining of methanol-fixed HeLa cells using c-Abl (phospho-Tyr412) antibody (TMAC-00514, Red). 2. Immunohistochemical analysis of paraffin-embedded human breast carcinoma tissue using c-Abl (phospho-Tyr412) antibody (TMAC-00514). ![]() ![]() |
| Application | |
| Recommended Dose | IHC: 1:50-100; IF: 1:100-200 |
| Antibody Type | Polyclonal |
| Host Species | Rabbit |
| Construction | Polyclonal Antibody |
| Appearance | Liquid |
| Conjucates | Unconjugated |
| Others Formats | Phospho |
| Uniprot ID |
| Molecular Weight | Theoretical: 122 kDa. |
| Transport | Shipping with blue ice. |
| Size | Quantity | Unit Price | Amount | Operation |
|---|

Copyright © 2015-2026 TargetMol Chemicals Inc. All Rights Reserved.