Shopping Cart
Remove All
Your shopping cart is currently empty
Anti-Phospho-BRCA1 (Ser1423) Polyclonal Antibody is a Rabbit antibody targeting Phospho-BRCA1 (Ser1423). Anti-Phospho-BRCA1 (Ser1423) Polyclonal Antibody can be used in IHC,WB.
| Pack Size | Price | USA Warehouse | Global Warehouse | Quantity |
|---|---|---|---|---|
| 50 μL | $216 | 7-10 days | 7-10 days | |
| 100 μL | $317 | 7-10 days | 7-10 days |
| Description | Anti-Phospho-BRCA1 (Ser1423) Polyclonal Antibody is a Rabbit antibody targeting Phospho-BRCA1 (Ser1423). Anti-Phospho-BRCA1 (Ser1423) Polyclonal Antibody can be used in IHC,WB. |
| Synonyms | p-BRCA1 (Ser1423), p-BRCA1 (S1423), BRCA1 (p-Ser1423), BRCA1 (p-S1423) |
| Ig Type | IgG |
| Reactivity | Human |
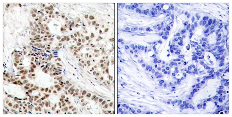
| Verified Activity | 1. Western blot analysis of extracts from HT29 cells untreated or treated with Anisomycin using BRCA1 (Phospho-Ser1423) Antibody TMAC-00469. 2. Immunohistochemical analysis of paraffin-embedded human breast carcinoma tissue using BRCA1 (Phospho-Ser1423) Antibody TMAC-00469 (left) or the same antibody preincubated with blocking peptide (right). ![]() ![]() |
| Application | |
| Antibody Type | Polyclonal |
| Host Species | Rabbit |
| Construction | Polyclonal Antibody |
| Purification | Antibodies were produced by immunizing rabbits with synthetic phosphopeptide and KLH conjugates. Antibodies were purified by affinity-chromatography using epitope-specific phosphopeptide. Non-phospho specific antibodies were removed by chromatogramphy using non-phosphopeptide. |
| Appearance | Liquid |
| Formulation | Supplied at 1.0mg/mL in phosphate buffered saline (without Mg2+ and Ca2+), pH 7.4, 150mM NaCl, 0.02% sodium azide and 50% glycerol. |
| Research Background | The BRCA1-BARD1 heterodimer coordinates a diverse range of cellular pathways such as DNA damage repair, ubiquitination and transcriptional regulation to maintain genomic stability. Acts by mediating ubiquitin E3 ligase activity that is required for its tumor suppressor function. Plays a central role in DNA repair by facilitating cellular response to DNA repair. Required for appropriate cell cycle arrests after ionizing irradiation in both the S-phase and the G2 phase of the cell cycle. Involved in transcriptional regulation of P21 in response to DNA damage. Required for FANCD2 targeting to sites of DNA damage. May function as a transcriptional regulator. Inhibits lipid synthesis by binding to inactive phosphorylated ACACA and preventing its dephosphorylation |
| Conjucates | Unconjugated |
| Others Formats | Phospho |
| Immunogen | Peptide sequence around phosphorylation site of serine 1423 (H-G-S(p)-Q-P) derived from Human BRCA1 |
| Antigen Species | human |
| Uniprot ID |
| Stability & Storage | Store at 2°C-8°C for 1 month. Store at -20°C or -80°C for 12 months. Avoid repeated freeze-thaw cycles. |
| Transport | Shipping with blue ice. |
| Size | Quantity | Unit Price | Amount | Operation |
|---|

Copyright © 2015-2026 TargetMol Chemicals Inc. All Rights Reserved.